연세정원치과
앞니 치아 하얀 점, 충치인가요? (화이트 스팟, 반점치) 아이콘 레진 치료의 순서
연세정원치과 반점치 아이콘 치료 안녕하세요. 대치동 연세정원치과 입니다. 치아 표면에 불규칙하게 얼룩덜룩 하얗게 변한 부분이 있어서 신경 쓰이시는 분들 많이 계시지요? 주로 앞니에 생기는 하얀 점은 화이트 스팟(white spot, 반점치)이라고 하며 여러 가지 다양한 원인으로 생길 수 있습니다. 이러한 화이트 스팟은...
아카이브 요약
이 페이지의 역할
연세정원치과 Yonsei JW Dental Clinic at Gangnam의 네이버 블로그 원문을 보존한 아카이브 페이지입니다. 충치 및 임플란트 카테고리의 앞니 치아 하얀 점, 충치인가요? (화이트 스팟, 반점치) 아이콘 레진 치료의 순서 글을 통해 병원의 한국어 정보 제공 방식과 진료 관련 안내 톤을 확인할 수 있습니다.

연세정원치과 반점치 아이콘 치료
안녕하세요. 대치동 연세정원치과 입니다.
치아 표면에 불규칙하게 얼룩덜룩 하얗게 변한 부분이 있어서 신경 쓰이시는 분들 많이 계시지요?
주로 앞니에 생기는 하얀 점은 화이트 스팟(white spot, 반점치)이라고 하며 여러 가지 다양한 원인으로 생길 수 있습니다. 이러한 화이트 스팟은 미백치료를 하면 더 두드러지게 나타나는 경향이 있습니다. 그렇다면 이 화이트 스팟은 왜 생기며, 어떻게 치료를 해야 할까요?

White Spot
White Spot은 왜 생길까요?
White spot은 치아의 가장 겉에 있는 법랑질층에 치아가 발생하는 시기에 선천적으로 구조적인 결함이 생겨 석회화가 부족하여 생긴 결과입니다. 치아가 만들어질 때 석회화가 덜 된 법랑질층에 빛이 반사하며 하얗게 보이는 것입니다.
또는 후천적으로 생길 수도 있는데 이는 영구치가 잇몸 안에서 발생하는 시기인 만 6세 미만의 아이가 불소를 과량 섭취할 경우 영구치에서 불소증이 나타나며 생길 수 있습니다. 심미적으로 가장 중요한 앞니 영구치는 만 4세에 형성되는데 이 시기에 불소 치약을 삼키면 체내에 불소가 축적되고 축적된 과량의 불소에 의해서 화이트 스팟이 생길 수 있습니다. 또는 유치가 외상을 입거나 충치가 생겼을 경우 잇몸 안에 있는 영구치의 치배(치아싹)가 손상을 입었을 경우에도 생길 수 있습니다.
그리고 교정치료 후에 브라켓 주변에 양치질을 제대로 안할 경우 치아에 치태가 쌓이게 되고, 치태가 지속적으로 제거되지 않으면 충치가 생기게 되는데, 충치 전단계에 치아의 표면이 부식되는 탈회로 인해서 화이트 스팟이 생길 수 있습니다. 치아에서 칼슘과 인산 이온이 빠져나오며 탈회되며 다공성으로 구멍이 생기게 되고, 그 부분이 주변과 굴절률이 달라서 불투명하게 하얗게 보이게 됩니다.
White spot은 충치와 어떻게 구별하나요?
충치는 시간이 지날수록 충치가 깊어지기 때문에 그 범위가 커지거나 색이 진해지는 경우가 많습니다. 반면 화이트 스팟은 일반적으로 크기의 변화가 없기 때문에 충치와는 구별됩니다. 치과 기구로 치아 표면을 긁어서 확인할 수도 있는데, 충치의 경우 날카로운 치과기구에 의해 쉽게 긁히고 파이게 되는 반면, 화이트 스팟은 주변 치아와 비슷하게 매끈하기 때문에 충치와 같이 긁히는 느낌이 없습니다.
연세정원치과에서는 큐레이를 이용하여 치아에 가시광선을 비추어서 화이트 스팟의 탈회 정도를 체크하여 건강한 치아의 수치와 비교분석합니다.
White Spot은 어떻게 치료하나요?
사실 화이트 스팟은 치료를 하지 않아도 큰 문제가 되진 않습니다. 그러나 앞니에 하얀색의 얼룩덜룩한 반점이 있는 경우 심미적으로 보기에 예쁘지 않은 것이 문제입니다.
화이트 스팟을 치료하는 방법은 다음과 같습니다.
-
레진: 하얀 반점이 있는 부분을 갈아내고 레진으로 채워서 치료하는 방법이 있습니다. 그러나 레진으로 치료하는 경우 반점이 있는 부위를 깎아야하는 침습적인 치료이며, 레진으로 치료한 부위가 변색이 되거나 떨어질 수 있습니다.
-
라미네이트: 라미네이트로 화이트 스팟을 개선할 수도 있습니다. 심미적 개선 효과는 레진에 비해 우수하지만 역시 치아를 깎아야한다는 단점이 있으며, 치료 비용적인 면에서도 레진보다 부담 이 될 수 있습니다.
-
아이콘 레진 침투: 세번째 방법은 치아를 깎지 않고 마취 없이 특수한 레진을 탈회된 치아의 다공성 구조 안으로 침투시키는 레진 인필트레이션 (resin infiltration, 레진 침투) 치료 입니다. 레진 침투 치료는 ICON (Infiltration CONcept)이라는 레진으로 재료가 가능합니다. 화이트 스팟 말고 brown spot도 있는데 이는 화이트 스팟의 다공성 구조에 착색을 일으키는 유기물 단백질이 들어간 경우로, brown spot이 심한 경우에는 미백을 통해 brown spot의 어두운 부분을 먼저 해소한 후 2주 후에 ICON 치료를 진행하면 효과가 더 좋습니다.


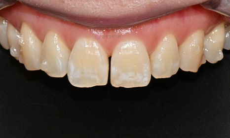
- 8
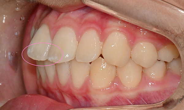
본 환자분은 인비절라인으로 교정을 하기 위해 내원하신 환자분인데, 앞니의 화이트 스팟이 심해서 고민이라고 하셨습니다. 왼쪽 앞니(사진상 오른쪽)는 화이트 스팟과 함께 구멍이 뚫려있는 다공성 구조를 보이고 있었습니다. 인비절라인 치료를 들어가면 치아 표면에 어태치먼트(attachment)라고 하는 작은 레진 구조물을 붙이기 때문에 교정 치료가 마무리된 후 아이콘 치료를 하는 것이 좋으나, 화이트 스팟이 심한 가운데 앞니 2개에는 어태치먼트를 부착하지 않았기 때문에 아이콘 치료를 진행하기로 하였습니다.
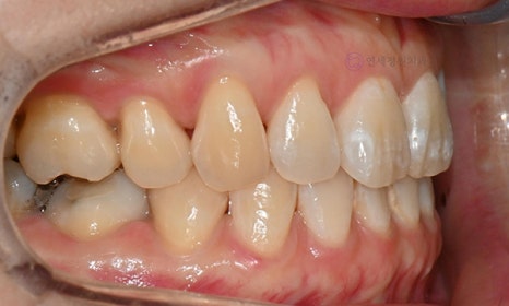
ICON resin infiltration 치료과정


- 치면 연마 및 에칭
먼저 치아 표면을 불소가 들어가지 않은 연마제로 깨끗하게 닦아줍니다. 15% 염산으로 치아 표면을 에칭하기 때문에 잇몸을 보호하기 위하여 먼저 러버댐으로 치아를 격리시킨 후 염산으로 치아 표면을 여러 번 충분히 에칭하여 다공성 구조를 만들어줍니다.


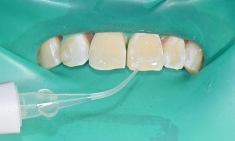
- ICON dry
왼쪽 사진은 에칭 후 충분히 건조시킨 후에 ICON dry 를 흡수시키고 있는 사진인데, 처음에 비해 화이트 스팟이 많이 없어진 것을 볼 수 있습니다. 드라이 과정에서 화이트 스팟이 남아있다면 에칭 과정을 반복합니다.
- ICON resin infiltration
아이콘 레진을 도포하고 중합시켜서 치아 표면을 매끈하게 polishing 해줍니다. 치료 시간은 대략 20~30분 정도로 간단하게 마무리될 수 있습니다.
ICON resin infiltration 치료 효과


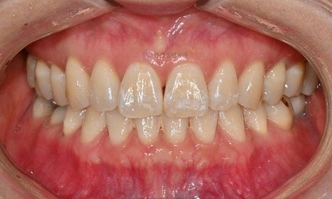
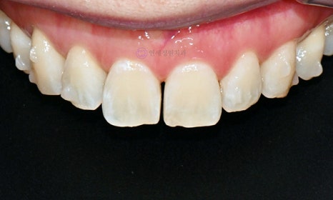
- 9 아이콘 치료 전후 사진
아이콘 치료 전후 사진입니다(인비절라인 치료를 위해 주변 치아에는 어태치먼트가 부착되어 있으며, 앞니 사이는 공간 마련을 위해 치간삭제가 진행되어 있는 상태입니다). 아이콘 치료 후 앞니의 화이트 스팟이 개선되었으며, 왼쪽 앞니(사진상 오른쪽)의 다공성 구조도 많이 개선되었습니다. 말하거나 웃을 때 앞니의 화이트 스팟이 보이는 것이 고민이라고 하셨던 환자분께서 치료 후 모습에 매우 만족하셨습니다. 사진은 치아를 건조시킨 상태로 찍었기 때문에 화이트 스팟이 조금 더 심했던 치아의 옆면 부분은 아직 화이트 스팟이 남아 있는 것처럼 보이나, 실제로 침이 있는 자연스러운 구강 내 상태로 보면 사진보다 훨씬 더 심미적으로 자연스럽게 보입니다.
아이콘 치료는 교정 치료 마무리 이후에 생긴 치아 표면의 얼룩덜룩한 화이트 스팟에 특히 더 효과가 좋기 때문에, 저희 치과 교정환자분들께 (물론 화이트 스팟이 안 생기면 더욱 좋지만요!!) 교정 치료 마무리 후 추천드리려고 합니다 :)
치아 표면의 얼룩덜룩한 하얀 점, 화이트 스팟을 치아 삭제 없이 치료하고 싶으시다면 연세정원치과로 내원하셔서 상담받아보시기 바랍니다 :) 연세정원치과는 삼성역, 학여울역, 대치역, 한티역에서 모두 가까워 삼성동, 대치동, 개포동, 도곡동, 일원동, 역삼동, 잠실 등에서 내원하시기에 매우 편리합니다.

대치동 우성아파트 사거리 BMW 옆 건물
(스타벅스/삼성스토어 건너편)
대치동 교정치과 연세정원치과는
주차가 편리하며 무료입니다.
상담 및 문의 : 02-501-2879
더 보기
이 병원의 공개 콘텐츠를 계속 살펴보세요
출처 아카이브로 돌아가 더 많은 글을 보거나, 병원 프로필로 이동해 다른 공개 채널도 함께 비교해보세요.