연세정원치과
유학생 치아교정, 인비절라인 연세정원치과
유학생 치아교정 인비절라인, 연세정원치과 안녕하세요. 대치동 연세정원치과 입니다. 얼마 전 반가운 환자가 연세정원치과에 내원해주었습니다. 이 환자와의 인연은 9년 전 2015년 10월에 시작되었습니다. 만 7세 여자아이로 앞니가 반대로 물리는 반대교합을 주소로 처음 내원한 환자였습니다. 전치부 반대교합 전치부...
아카이브 요약
이 페이지의 역할
연세정원치과 Yonsei JW Dental Clinic at Gangnam의 네이버 블로그 원문을 보존한 아카이브 페이지입니다. 인비절라인 카테고리의 유학생 치아교정, 인비절라인 연세정원치과 글을 통해 병원의 한국어 정보 제공 방식과 진료 관련 안내 톤을 확인할 수 있습니다.

유학생 치아교정 인비절라인, 연세정원치과
안녕하세요. 대치동 연세정원치과 입니다.
얼마 전 반가운 환자가 연세정원치과에 내원해주었습니다. 이 환자와의 인연은 9년 전 2015년 10월에 시작되었습니다. 만 7세 여자아이로 앞니가 반대로 물리는 반대교합을 주소로 처음 내원한 환자였습니다.

전치부 반대교합
전치부 반대교합은 발견되는 즉시 개선해주는 것이 가장 좋습니다. 앞니가 반대로 물리는 반대교합의 개선을 위하여 페이스마스크 치료를 시작하였습니다. 보호자분과 환자의 협조도가 좋아 짧은 기간 내에 전치부 반대교합이 개선되었습니다. 반대교합이 개선된 이후 FRIII (프랑켈 장치) 로 유지를 해주었습니다.


페이스마스크 (facemask)

프랑켈 장치 (FR III appliance)
1년 후 재내원하였을 때 약간의 재발이 나타나며 앞니가 살짝 끝끼리 물리는 절단교합 직전으로 물리고 있어서 장치 착용을 조금 더 격려해주었습니다.


2016년 10월
2019년 내원하였을 때 이미 유치는 다 빠지고 영구치가 다 올라온 상태였으며, 측면 엑스레이 상에서 전치부 교합은 좀더 안정적으로 잘 유지되고 있었습니다. 이제 영구치가 다 올라와서 2차교정을 시작해도 되는 시기였으나, 환자가 6개월 뒤 캐나다로 유학을 갈 예정이어서 교정 시작 시기는 환자분 스케줄에 맞춰서 시작하셔도 된다고 설명을 드렸습니다.


2019년 7월
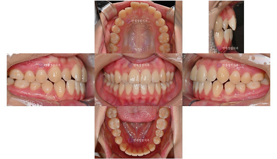
그리고 얼마 전 오랫만에 저희 연세정원치과로 환자분께서 찾아왔을 때는 이미 키가 거의 170cm가 다 된 숙녀가 되어있었습니다 :) (원래 악세서리는 다 제거하고 찍어야 하지만... 엑스레이 상에서도 여기저기 피어싱이 보이네요 ㅎㅎ) 방학이라 한국에 잠시 들른 동안 정기 검진을 받으러 왔는데, 위 앞니 하나가 틀어져 있고 입이 살짝 돌출이라 2차 교정 상담을 하셨으나, 한달 뒤 출국 일정 때문에 부분교정을 하기에도 시간은 부족한 상태였습니다.



2024년 7월
군입대를 하는 분들이나 외국 유학을 가는 환자들의 경우 종종 인비절라인을 추천드리고 있습니다. 인비절라인 투명교정의 경우 구강스캔한 자료를 바탕으로 클린체크라고 하는 치료 계획에 맞추어 단계별로 전체 장치가 제작되어 나오기 때문에 유학생의 경우에도 교정을 할 수 있다는 장점이 있습니다. 물론 정기적으로 내원하여 체크 받는 것이 가장 좋긴 하지만, 처음에 치료 계획을 잘 세우고 환자분도 장치를 열심히 잘 착용해준다면 내원하지 않고도 충분히 교정이 가능합니다.
이 환자분께서는 인비절라인으로 틀어진 앞니와 약간의 돌출감을 개선하기로 하였고, 한달 뒤 장치가 나오면 내원하여 어태치먼트도 붙이고 장치를 착용할 준비를 한 후 장치를 받아 출국하기로 하였습니다. 대략 1~1년 반 뒤에 귀국 예정이라 중간중간 사진을 찍어 보내주시면 중간 진행 상황을 확인을 해드리기로 했습니다. 인비절라인의 경우 교정이 잘 마무리되게 되면 외국에 계속 거주하시더라도 인비절라인의 비베라 유지장치를 캐나다로 배송해드릴 수 있다는 장점도 있습니다.

이렇게 어릴 때부터 지켜봐오던 환자들을 보면 왠지 모를 뿌듯함이 생기지요! 인비절라인 착용 후 나중에 귀국하였을 때 예쁘게 교정되어 있을 모습이 기대되네요 :)
연세정원치과의 치아교정은 정밀진단비, 월비 등의 비용이 포함(단, 유지장치 비용 제외)되어 추가적인 비용 발생에 대한 걱정도 하실 필요가 없습니다. 또한, 일반진료과가 함께 있어 발치나 충치치료 등의 교정에 필요한 모든 치료가 한곳에서 가능하며 목돈이 한번에 나가는 부담을 줄이기 위해 분납제도를 실시하고 있으니 더욱 매력적이라고 할 수 있습니다.
교정과를 책임지고 계시는 윤정원 대표원장은 16년 임상기간 동안 교정만을 전문으로하여 고난이도의 수많은 케이스 경험을 가지고 계십니다. 따라서 부정교합, 돌출입, 주걱턱 등 다양한 치아교정 케이스에 대해 효과적으로 치료가 가능합니다.

대치동 교정전문치과 연세정원치과에 방문하시면 별도의 비용없이 간단한 구강검진을 통해 현재 상태를 정확히 파악하실 수 있고, 교정진료 시 다양한 교정장치에 대한 설명도 들으실 수 있으니 편하게 상담문의해 주시기 바랍니다.
연세정원치과의원에서는 치아교정을 위해 3D 구강스캐너인 iTero Lumina, 성장판 검사, 모르페우스 안면스캐너를 통한 치료 전후 시뮬레이션 등 필요한 최신의 장비를 모두 보유하고 있어 더욱 정밀하고 체계적으로 치아교정을 진행하실 수 있는 장점이 있습니다.
아마도 돌출입, 덧니, 부정교합, 주걱턱 등으로 인해 교정을 고려하고 계시는 분들께서는 검색을 통해 많은 정보를 이미 습득하고 계실텐데요. 그렇더라도 실제로 장치별로 비교를 해보고 자세한 설명을 듣는다면 결정하시는데 큰 도움이 되실 것입니다.
상담시에는 클라리티, 클리피씨, 인비절라인 등 다양한 장치를 직접 눈으로 비교해 보시면서 장단점에 대해서 자세한 설명을 들으실 수 있으니 부담없이 전화 문의 또는 방문하여 상담 받아보시기를 권유해 드립니다.
연세정원치과는 삼성역, 학여울역, 대치역, 한티역에서 모두 가까워 삼성동, 대치동, 개포동, 도곡동, 일원동, 역삼동, 잠실에서 내원하시기에 매우 편리합니다.
대치동 우성아파트 사거리 BMW 옆 건물
(스타벅스/삼성스토어 건너편)
대치동 교정치과 연세정원치과는
주차가 편리하며 무료입니다
상담 및 문의 : 02-501-2879
더 보기
이 병원의 공개 콘텐츠를 계속 살펴보세요
출처 아카이브로 돌아가 더 많은 글을 보거나, 병원 프로필로 이동해 다른 공개 채널도 함께 비교해보세요.