아카이브 요약
이 페이지의 역할
연세정원치과의원의 네이버 블로그 원문을 보존한 아카이브 페이지입니다. 치아교정 카테고리의 비대칭 및 돌출입 치아교정, 대치동 교정치과 연세정원치과 글을 통해 병원의 한국어 정보 제공 방식과 진료 관련 안내 톤을 확인할 수 있습니다.
원문 검증
필요하면 원문 블로그와 병원 프로필로 바로 이동해 문맥을 다시 확인할 수 있습니다.
출처 아카이브 열기아카이브된 블로그 글
연세정원치과의원 · Naver Blog
돌출입 치아교정 연세정원치과 안녕하세요. 대치동 교정치과 연세정원치과의원 윤정원 대표원장입니다. 지난번 포스팅을 통해서 치아 중심선이 틀어져 있는 경우에 발치를 하지 않거나, 틀어진 부위 작은 어금니 하나를 발치하여 비발치 또는 최소한의 발치로 교정한 케이스들에 대하여 말씀드렸습니다. 이번에 공유드리고자 하는 내용...
게시일
2025년 1월 27일
원문 기준으로 확인된 발행일입니다.
카테고리
치아교정
원문 블로그 카테고리를 정리해 함께 표시합니다.
이미지 수
21
현재 아카이브에 연결된 이미지 수입니다.
아카이브 요약
연세정원치과의원의 네이버 블로그 원문을 보존한 아카이브 페이지입니다. 치아교정 카테고리의 비대칭 및 돌출입 치아교정, 대치동 교정치과 연세정원치과 글을 통해 병원의 한국어 정보 제공 방식과 진료 관련 안내 톤을 확인할 수 있습니다.
원문 검증
필요하면 원문 블로그와 병원 프로필로 바로 이동해 문맥을 다시 확인할 수 있습니다.
출처 아카이브 열기
돌출입 치아교정 연세정원치과
안녕하세요. 대치동 교정치과 연세정원치과의원 윤정원 대표원장입니다.
지난번 포스팅을 통해서 치아 중심선이 틀어져 있는 경우에 발치를 하지 않거나, 틀어진 부위 작은 어금니 하나를 발치하여 비발치 또는 최소한의 발치로 교정한 케이스들에 대하여 말씀드렸습니다.
이번에 공유드리고자 하는 내용은 치아 중심선의 비대칭과 함께 돌출이 있어서 치아 발치를 통해서 교정한 케이스들입니다. 관심있으신 분들은 재미있게 읽어주시면 감사하겠습니다.



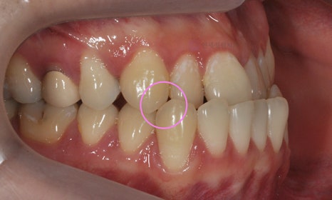
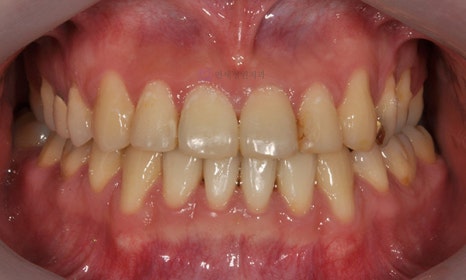
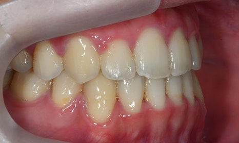
본 환자분께서는 아래턱이 나와서 앞니가 반대로 물리고, 치아의 중심선과 아래턱뼈도 함께 우측으로 틀어져있다는 주소로 교정치료를 시작하셨습니다.
아래턱이 우측(사진의 왼쪽)으로 틀어져있다보니 좌우 송곳니의 교합도 상당량 차이가 있었습니다. 치아 중심의 비대칭과 돌출감을 개선하기 위하여, 위 왼쪽 작은 어금니와 아래 양쪽 작은 어금니, 총 3개의 작은 어금니를 발치하였습니다.



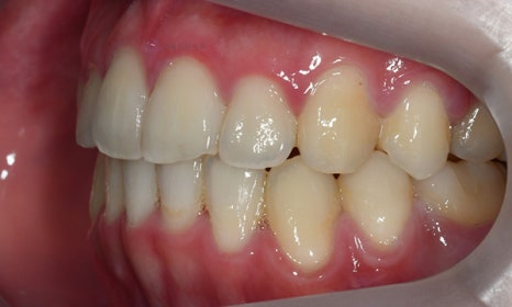
2019.8
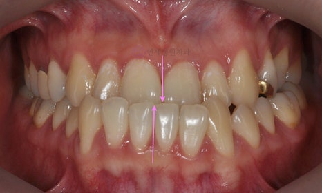
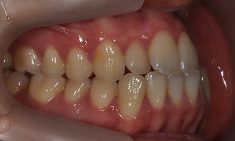
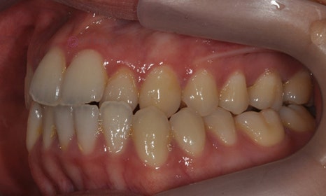
교정 치료 마무리 후 치아 중심선은 일치하였으며, 좌우 차이가 있던 송곳니 교합도 개선이 되었습니다.






교정 전의 정면 얼굴 사진을 보면 윗입술보다 아래입술의 돌출감이 느껴지며, 미소시 아래 치아가 더 나와있는 것이 확연하게 보였으나, 교정 후 윗입술의 풍융감이 나타났으며 자연스러운 미소를 짓게 되었습니다. 아래 치아 발치 공간이 닫히면서 옆모습에서도 아래 입술의 돌출감이 상당량 개선되었습니다.
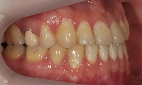
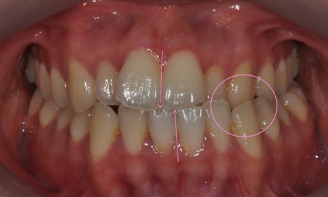
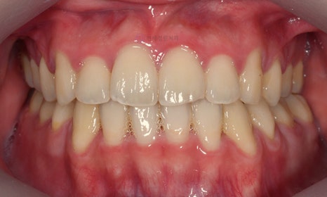
아래의 환자분께서는 턱이 틀어졌고 입이 나왔다는 주소로 치과에 내원하셨습니다. 위 치아의 중심과 얼굴의 중심은 일치하였으나, 아래 치아의 중심선이 좌측(사진상 오른쪽)으로 틀어져있었으며 왼쪽 앞니와 송곳니 부위는 반대로 치아가 물리고 있었습니다.



돌출감 해소와 함께 치아 중심선을 개선하기 위하여 작은 어금니 4개를 발치하고 그 공간으로 중심선을 맞추고 돌출입 개선을 하였습니다.
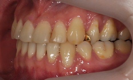
교정 마무리 이후 치아 중심선은 일치하였으며, 반대로 물리던 어금니 교합도 개선되었습니다.



위턱, 아래턱의 골격적 비대칭은 악교정 수술을 동반하여야 치료가 가능하지만, 위 아래 치아 중심선의 차이에 의한 비대칭은 치아 교정만으로도 훌륭한 개선 효과가 있으므로, 비대칭의 경우 본인이 어떤 원인에 의해 비대칭이 나타나는지 정밀 진단을 먼저 받아보실 것을 추천드립니다 :)

연세정원치과의 치아교정은 정밀진단비, 월비 등의 비용이 포함(단, 유지장치 비용 제외)되어 추가적인 비용 발생을 걱정하실 필요가 없습니다. 또한, 일반진료과가 함께 있어 발치나 충치치료 등의 교정에 필요한 모든 치료가 한곳에서 가능하며 목돈이 한번에 나가는 부담을 줄이기 위해 분납제도를 실시하고 있으니 더욱 매력적이라고 할 수 있습니다.
교정과를 책임지고 계시는 윤정원 대표원장은 16년 임상기간 동안 교정만을 전문으로하여 고난이도의 수많은 케이스 경험을 가지고 계십니다. 따라서 부정교합, 돌출입, 주걱턱 등 다양한 치아교정 케이스에 대해 효과적으로 치료가 가능합니다.

대치동 교정전문치과 연세정원치과에 방문하시면 별도의 비용없이 간단한 구강검진을 통해 현재 상태를 정확히 파악하실 수 있고, 상담시에는 클라리티, 클리피씨, 인비절라인 등 다양한 장치를 직접 눈으로 비교해 보시면서 장단점에 대해서 자세한 설명을 들으실 수 있으니 부담없이 전화 문의 또는 방문하여 상담 받아보시기를 권유해 드립니다.
연세정원치과는 주차가 편리할 뿐만 아니라 삼성역, 학여울역, 대치역, 한티역에서 모두 가까워 삼성동, 대치동, 개포동, 일원동, 도곡동, 역삼동, 잠실에서도 내원하시기에 매우 편리합니다.
대치동 우성아파트 사거리 BMW 옆 건물
(스타벅스/삼성스토어 건너편)
대치동 교정치과 연세정원치과는
주차가 편리하며 무료입니다
상담 및 문의 : 02-501-2879