아카이브 요약
이 페이지의 역할
연세정원치과의원의 네이버 블로그 원문을 보존한 아카이브 페이지입니다. 치아교정 카테고리의 비수술 주걱턱 교정, 대치동 교정치과 연세정원치과 글을 통해 병원의 한국어 정보 제공 방식과 진료 관련 안내 톤을 확인할 수 있습니다.
원문 검증
필요하면 원문 블로그와 병원 프로필로 바로 이동해 문맥을 다시 확인할 수 있습니다.
출처 아카이브 열기아카이브된 블로그 글
연세정원치과의원 · Naver Blog
주걱턱 치아교정 연세정원치과 안녕하세요. 대치동 교정치과 연세정원치과의원 윤정원 대표원장 입니다. 주걱턱(3급 부정교합)은 위턱보다 아래턱이 더 발달하여 앞으로 돌출된 골격적인 형태로, 치아가 반대로 물려서 저작 기능에 문제가 있거나 발음을 정확하게 하기 힘들기도 합니다. 무엇보다 아래턱의 돌출로 인하여 강해보이는...
게시일
2025년 1월 27일
원문 기준으로 확인된 발행일입니다.
카테고리
치아교정
원문 블로그 카테고리를 정리해 함께 표시합니다.
이미지 수
16
현재 아카이브에 연결된 이미지 수입니다.
아카이브 요약
연세정원치과의원의 네이버 블로그 원문을 보존한 아카이브 페이지입니다. 치아교정 카테고리의 비수술 주걱턱 교정, 대치동 교정치과 연세정원치과 글을 통해 병원의 한국어 정보 제공 방식과 진료 관련 안내 톤을 확인할 수 있습니다.
원문 검증
필요하면 원문 블로그와 병원 프로필로 바로 이동해 문맥을 다시 확인할 수 있습니다.
출처 아카이브 열기
주걱턱 치아교정 연세정원치과
안녕하세요. 대치동 교정치과 연세정원치과의원 윤정원 대표원장 입니다.
주걱턱(3급 부정교합)은 위턱보다 아래턱이 더 발달하여 앞으로 돌출된 골격적인 형태로, 치아가 반대로 물려서 저작 기능에 문제가 있거나 발음을 정확하게 하기 힘들기도 합니다. 무엇보다 아래턱의 돌출로 인하여 강해보이는 인상을 주거나 대인관계에서 스트레스를 받을 수 있습니다. 반대교합이 심할수록 하악 앞니 치아들이 위로 솟구쳐 올라오고, 위 앞니가 잘 보이지 않아 웃을 때에도 아래 치아가 더 많이 보이기도 하며, 이로 인하여 합죽이와 같은 입매가 심해보일 수 있습니다.
주걱턱은 외과적 수술을 통하여 근본적으로 개선이 가능하지만, 치아 배열 상태나 맹출 위치 등을 평가하여 치아 교정만을 통하여 비수술적으로도 개선이 가능할 수 있습니다.
치아 교정을 통한 주걱턱 교정은 먼저 정밀검사를 통하여 골격성 반대교합인지 치성 반대교합인지 파악을 해야 하며, 교정치료로 가능한지를 확인하여 적절한 치료 계획을 세워야 합니다. 주걱턱의 경우 안면비대칭이 동반된 경우도 많으므로, 치아 교정만으로 개선할 경우 개선 가능한 범위를 정확히 결정 후 치료를 시작해야 합니다.
오늘은 주걱턱과 함께 덧니를 주소로 내원한 환자의 케이스를 살펴보도록 하겠습니다.

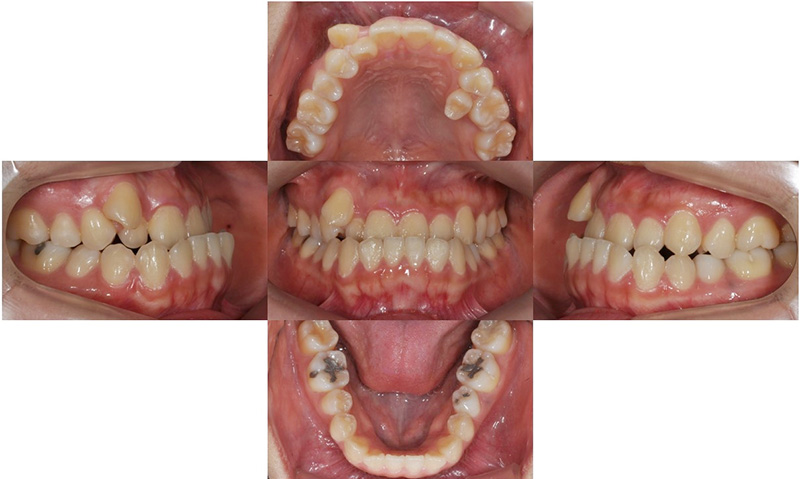
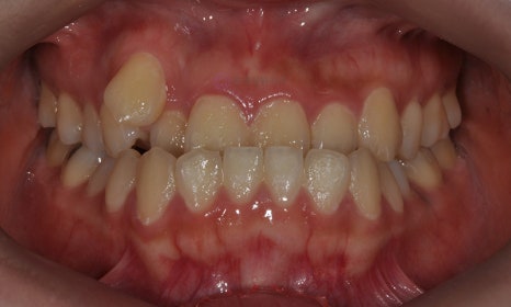
2017.12


2017.12
본 환자는 오른쪽 송곳니가 나올 공간이 부족하여 드라큘라 이빨처럼 높게 맹출하였고(high canine), 왼쪽 두번째 작은 어금니는 아예 맹출할 공간이 부족하여 입천장으로 맹출해 있는 것을 볼 수 있습니다. 삐뚤빼뚤한 위턱 치아들에 비하여 아래 치아는 가지런한 편이었고, 어금니의 교합관계는 양호한 편이었습니다.
위는 덧니를 배열하기 위하여, 아래는 주걱턱 개선을 위하여 위아래 작은 어금니를 총 4개 발치하여 교정치료를 하였습니다.

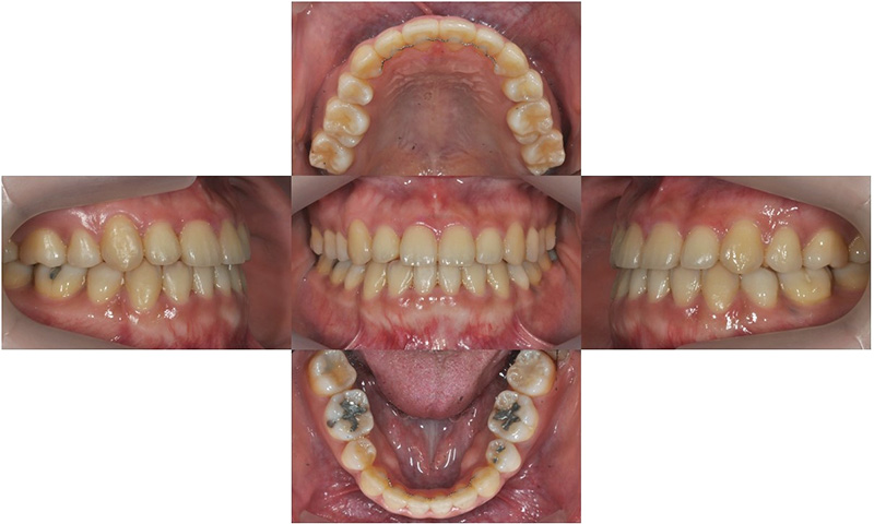
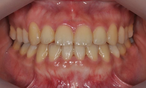
2019.5


2019.5
약 17개월 동안의 교정 치료 마무리 후 사진으로, 치아 배열과 교합은 양호하게 개선되었으며, 정면 사진에서 부각되어 보이던 아래 입술 돌출도 개선되어 어려보이는 인상을 가지게 되었습니다.






주걱턱은 심미적 및 기능적으로 문제를 유발하지만, 수술적인 치료는 비용 뿐만 아니라 전신마취 및 수술의 위험성에 대한 부담이 클 수 있습니다. 심하지 않은 골격적 부조화의 경우 치아 교정을 통한 비수술적 치료도 가능하므로, 수술이 부담되어 주걱턱 치료를 고민하고 계시다면 교정 치과에 내원하셔서 치아 교정만으로도 가능한 케이스인지 먼저 정밀 검사를 받아보실 것을 추천드립니다.

연세정원치과의원에서는 치아교정을 위해 3D 구강스캐너인 iTero Lumina, 성장판 검사, 모르페우스 안면스캐너를 통한 치료 전후 시뮬레이션 등 필요한 최신의 장비를 모두 보유하고 있어 더욱 정밀하고 체계적으로 치아교정을 진행하실 수 있는 장점이 있습니다.
아마도 돌출입, 덧니, 부정교합, 주걱턱 등으로 인해 교정을 고려하고 계시는 분들께서는 검색을 통해 많은 정보를 이미 습득하고 계실텐데요. 그렇더라도 실제로 장치별로 비교를 해보고 자세한 설명을 듣는다면 결정하시는데 큰 도움이 되실 것입니다.

상담시에는 클라리티, 클리피씨, 인비절라인 등 다양한 장치를 직접 눈으로 비교해 보시면서 장단점에 대해서 자세한 설명을 들으실 수 있으니 부담없이 전화 문의 또는 방문하여 상담 받아보시기를 권유해 드립니다. 대치동 교정전문치과 연세정원치과에 방문하시면 별도의 비용없이 간단한 구강검진을 통해 현재 상태를 정확히 파악하실 수 있고, 교정진료 시 다양한 교정장치에 대한 설명도 들으실 수 있으니 편하게 상담문의해 주시기 바랍니다.

연세정원치과는 주차가 편리할 뿐만 아니라 삼성역, 학여울역, 대치역, 한티역에서 모두 가까워 삼성동, 대치동, 개포동, 일원동, 도곡동, 역삼동, 잠실에서도 내원하시기에 매우 편리합니다.
대치동 우성아파트 사거리 BMW 옆 건물
(스타벅스/삼성스토어 건너편)
대치동 교정치과 연세정원치과는
주차가 편리하며 무료입니다.
상담 및 문의 : 02-501-2879