연세정원치과
앞니가 안 물려요! 개방교합(openbite) 치아교정 전후 및 후기
안녕하세요. 대치동 교정치과 연세정원치과 윤정원 대표원장입니다. 앞니 사이가 벌어져서 앞니끼리 안 물리고 위아래 사이에 공간이 있는 경우, 비심미적인 면도 있지만 앞니로 면을 끊어먹지 못하는 등 저작시 불편함도 있습니다. 개방교합(openbite)의 원인 개방교합이란, 위아래 앞니 사이에 공간이 벌어져 있어서 앞니끼리...
아카이브 요약
이 페이지의 역할
연세정원치과 Yonsei JW Dental Clinic at Gangnam의 네이버 블로그 원문을 보존한 아카이브 페이지입니다. 치아교정 카테고리의 앞니가 안 물려요! 개방교합(openbite) 치아교정 전후 및 후기 글을 통해 병원의 한국어 정보 제공 방식과 진료 관련 안내 톤을 확인할 수 있습니다.

안녕하세요. 대치동 교정치과 연세정원치과 윤정원 대표원장입니다.
앞니 사이가 벌어져서 앞니끼리 안 물리고 위아래 사이에 공간이 있는 경우, 비심미적인 면도 있지만 앞니로 면을 끊어먹지 못하는 등 저작시 불편함도 있습니다.
개방교합(openbite)의 원인
개방교합이란, 위아래 앞니 사이에 공간이 벌어져 있어서 앞니끼리 서로 안 물리는 교합 상태를 말합니다.
개방교합의 원인으로는,
-
혀내밀기, 손가락 빨기, 손톱 물어뜯기 등의 악습관
-
구호흡
-
위아래 턱뼈 성장의 이상
-
퇴행성 관절염으로 인한 턱의 회전에 의해 어금니가 먼저 닫고 앞니가 뜨는 개방교합이 발생할 수 있습니다.



2018.9
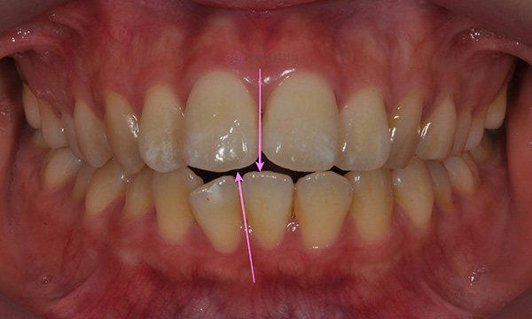
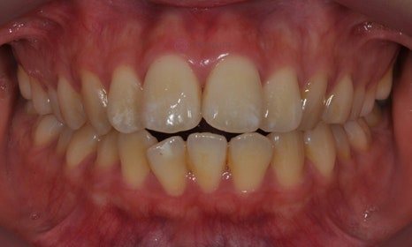
본 환자는 앞니 사이가 벌어져서 서로 안 물리고 입이 나왔다는 주소로 병원에 내원하셨습니다. 또한 위 사진에서 확인할 수 있듯이 아래 치아가 오른쪽(사진상 왼쪽)으로 돌아가서 위아래 치아의 중심선도 차이가 많이 있었습니다. 중심선 차이로 인하여 좌우 어금니 교합 양상도 차이가 있었습니다.


2018.9
돌출로 인하여 입술을 다물때 힘을 주어 다물다보니 턱 부분에 호두주름이 생겼으며, 완전히 입술을 다물기가 힘든 상태였습니다. 또한 아래턱이 오른쪽으로 살짝 틀어진 비대칭 및 양측 입꼬리 근육 활성의 차이로 인하여 왼쪽 입꼬리가 아래로 내려와 있었습니다.
개방교합 및 치아 중심선의 차이를 개선하기 위하여 오른쪽 아래를 제외한 나머지 부위의 작은 어금니 3개를 발치하여 교정 치료를 진행하였습니다.








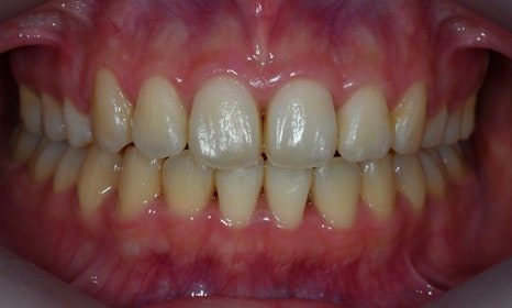
교정 치료 후 치아의 중심선은 일치하였으며, 위 아래 벌어져 있던 앞니 개방교합도 개선되었습니다. 돌출 정도도 많이 개선되어 코 끝과 턱을 연결한 E-line(esthetic line) 밖으로 돌출되어 있던 입술이 선 상에 위치하게 되었습니다. 아래로 쳐져 있던 왼쪽 입꼬리도 교정 전보다 많이 개선되었습니다(환자분께서 의식적으로 왼쪽 입꼬리를 올리며 웃으려는 연습도 많이 하셨습니다).
돌출입과 개방교합이 개선되어 코로 숨을 쉬지 않고 입으로 숨을 쉬던 구호흡도 개선되었으며, 무엇보다 교정치료 마무리 후 앞니로 면을 끊어먹을 수 있어서 환자분께서 매우 만족하셨습니다.
비슷한 고민을 하시는 분들께 오늘의 포스팅이 도움이 되셨길 바랍니다.

연세정원치과의 치아교정은 정밀진단비, 월비 등의 비용이 포함(단, 유지장치 비용 제외)되어 추가적인 비용 발생에 대한 걱정도 하실 필요가 없습니다. 또한, 일반진료과가 함께 있어 발치나 충치치료 등의 교정에 필요한 모든 치료가 한곳에서 가능하며 목돈이 한번에 나가는 부담을 줄이기 위해 분납제도를 실시하고 있으니 더욱 매력적이라고 할 수 있습니다.
교정과를 책임지고 계시는 윤정원 대표원장은 16년 임상기간 동안 교정만을 전문으로하여 고난이도의 수많은 케이스 경험을 가지고 계십니다. 따라서 부정교합, 돌출입, 주걱턱 등 다양한 치아교정 케이스에 대해 효과적으로 치료가 가능합니다.

대치동 교정전문치과 연세정원치과에 방문하시면 별도의 비용없이 간단한 구강검진을 통해 현재 상태를 정확히 파악하실 수 있고, 교정진료 시 다양한 교정장치에 대한 설명도 들으실 수 있으니 편하게 상담문의해 주시기 바랍니다.
연세정원치과의원에서는 치아교정을 위해 3D 구강스캐너인 iTero Lumina, 성장판 검사, 모르페우스 안면스캐너를 통한 치료 전후 시뮬레이션 등 필요한 최신의 장비를 모두 보유하고 있어 더욱 정밀하고 체계적으로 치아교정을 진행하실 수 있는 장점이 있습니다.

아마도 돌출입, 덧니, 부정교합, 주걱턱 등으로 인해 교정을 고려하고 계시는 분들께서는 검색을 통해 많은 정보를 이미 습득하고 계실텐데요. 그렇더라도 실제로 장치별로 비교를 해보고 자세한 설명을 듣는다면 결정하시는데 큰 도움이 되실 것입니다.
상담시에는 클라리티, 클리피씨, 인비절라인 등 다양한 장치를 직접 눈으로 비교해 보시면서 장단점에 대해서 자세한 설명을 들으실 수 있으니 부담없이 전화 문의 또는 방문하여 상담 받아보시기를 권유해 드립니다.
연세정원치과는 주차가 편리할 뿐만 아니라 삼성역, 학여울역, 대치역, 한티역에서 모두 가까워 삼성동, 대치동, 개포동, 일원동, 도곡동, 역삼동, 잠실에서도 내원하시기에 매우 편리합니다.
대치동 우성아파트 사거리 BMW 옆 건물
(스타벅스/삼성스토어 건너편)
대치동 교정치과 연세정원치과는
주차가 편리하며 무료입니다
상담 및 문의 : 02-501-2879
더 보기
이 병원의 공개 콘텐츠를 계속 살펴보세요
출처 아카이브로 돌아가 더 많은 글을 보거나, 병원 프로필로 이동해 다른 공개 채널도 함께 비교해보세요.