연세정원치과
무삭제 라미네이트 vs 인비절라인 익스프레스
안녕하세요. 대치동 연세정원치과 대표원장 윤정원 입니다. 얼마 전 아르헨티나 여성분께서 본인의 웃을 때 치아 모양을 좀 더 예쁘게 다듬고 싶으시다며 smile design에 관한 상담을 요청하셨습니다. 웃을 때 위 앞니의 아래 부분을 연결한 곡선이 아래 입술 라인을 따라 자연스럽게 위치하는 예쁜 smile ar...
아카이브 요약
이 페이지의 역할
연세정원치과 Yonsei JW Dental Clinic at Gangnam의 네이버 블로그 원문을 보존한 아카이브 페이지입니다. 미백/라미네이트 심미치료 카테고리의 무삭제 라미네이트 vs 인비절라인 익스프레스 글을 통해 병원의 한국어 정보 제공 방식과 진료 관련 안내 톤을 확인할 수 있습니다.

안녕하세요. 대치동 연세정원치과 대표원장 윤정원 입니다.
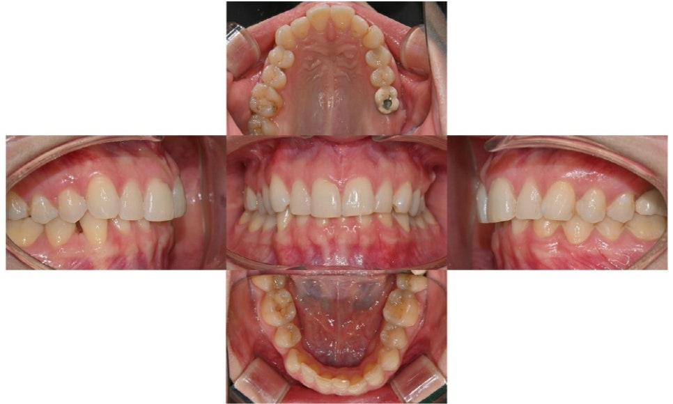
얼마 전 아르헨티나 여성분께서 본인의 웃을 때 치아 모양을 좀 더 예쁘게 다듬고 싶으시다며 smile design에 관한 상담을 요청하셨습니다.
웃을 때 위 앞니의 아래 부분을 연결한 곡선이 아래 입술 라인을 따라 자연스럽게 위치하는 예쁜 smile arc를 가지고 있었습니다. 본인의 미소에 만족하기 때문에 큰 변화를 주고 싶지는 않지만, 앞니 두 개의 사이즈가 약간 다르고 배열이 틀어져 있어서 이를 가지런해보이게 고치고 싶다고 하셨습니다. 어렸을 때 교정치료를 하다가 중단했다고 하셨으며, 현재 영상 촬영을 많이 하는 본인의 직업상 기간이 오래 걸리거나 티가 많이 나는 치료는 원치 않는다고 하셨습니다.

미소시 사진

-
-
- 구강내 사진
-
위 앞니 두 개의 중 왼쪽 앞니의 사이즈가 오른쪽보다 살짝 커서 이 부분이 가장 불만이라고 하셨으며, 위아래 앞니에 약간의 치아 배열이 틀어져 있었습니다. 과거 하악 발치 교정으로 인해 하악 제1소구치가 발치되어 있었고 우측에는 공간이 약간 남아있었습니다. 또한 과개교합으로 인하여 아래 앞니는 거의 보이지 않는 상태였습니다. 왼쪽 제1대구치에는 임플란트가 식립된 상태였고, 제2대구치는 상실된 상태였습니다.

-
-
- 파노라마 엑스레이
-

iTero 구강스캔
이러한 부분들을 모두 개선하기 위해서는 전체 재교정이 필요한 상태였습니다. 그러나 환자분께서 직업 특성상 빠른 시간 안에 최소한으로 치료를 원하셨기 때문에 환자분께서 가장 고치고 싶어하는 부위인 위 앞니 치열만을 개선하기 위해 라미네이트 치료를 하는 방법과 인비절라인으로 치료하는 방법의 두 가지를 설명드렸습니다.


라미네이트 vs. 인비절라인 익스프레스
치아 사이즈 및 형태를 개선시키기 위하여 최소삭제(무삭제) 라미네이트와 2~3개월 안에 마무리 가능한 인비절라인 익스프레스 장치를 추천드렸습니다. 환자분께서는 짧은 기간 안에 본인의 치아에 크게 손을 대지 않고 치료가 가능한 인비절라인 익스프레스 장치를 선택하셨습니다.
아무래도 어렸을 때 치아교정을 하다가 힘들어서 본인이 중단한 적이 있기 때문에 오랜 기간이 걸리는 교정치료라면 선택을 하지 않으셨을텐데, 2~3개월이라는 비교적 짧은 기간 안에 티가 나지 않는 장치료 개선이 가능하다면 인비절라인으로 진행해보기를 원하셨습니다. 원래는 라미네이트 시술을 염두에 두고 내원하셨었는데, 처음 상담시 아무리 무삭제, 최소삭제라고 하더라도 라미네이트 치료에 약간의 부담감을 가지고 계셨었습니다. 그러나 짧은 기간 안에 본인이 원하는 부분만 간단하게도 치아 교정이 가능하다는 것을 이번 기회에 알게 되어서 너무 좋다고 하셨습니다.
이와 같이 하나의 케이스라 하더라도 환자의 니즈와 환경에 따라 다양한 방법으로 치료가 가능하기 때문에, 병원에 내원하셔서 간단한 상담으로 본인의 상황에 적절한 치료가 어떤 것인지 문의해보시는 것도 좋을 것 같습니다.

연세정원치과 안내
대치동 우성아파트 사거리 BMW 옆 건물
(스타벅스/삼성스토어 건너편)
대치동 교정치과 연세정원치과는
주차가 편리하며 무료입니다.
상담 및 문의 : 02-501-2879
더 보기
이 병원의 공개 콘텐츠를 계속 살펴보세요
출처 아카이브로 돌아가 더 많은 글을 보거나, 병원 프로필로 이동해 다른 공개 채널도 함께 비교해보세요.