연세정원치과
인비절라인 익스프레스 부분교정 <앞니 재교정>
인비절라인 앞니 부분 재교정, 대치동 교정치과 안녕하세요. 대치동 교정치과 연세정원치과의 윤정원 대표원장입니다. 예전에 교정치료를 했는데 유지장치가 떨어져서 치아가 조금 틀어졌어요. 다시 장치를 붙이기는 부담스러운데 부분교정으로 가능한가요? 몇달 후에 웨딩촬영을 하는데 최대한 티안나게 살짝 틀어진 치아를 교정하고 싶어...
아카이브 요약
이 페이지의 역할
연세정원치과 Yonsei JW Dental Clinic at Gangnam의 네이버 블로그 원문을 보존한 아카이브 페이지입니다. 인비절라인 카테고리의 인비절라인 익스프레스 부분교정 <앞니 재교정> 글을 통해 병원의 한국어 정보 제공 방식과 진료 관련 안내 톤을 확인할 수 있습니다.

인비절라인 앞니 부분 재교정, 대치동 교정치과
안녕하세요.
대치동 교정치과 연세정원치과의 윤정원 대표원장입니다.
예전에 교정치료를 했는데 유지장치가 떨어져서
치아가 조금 틀어졌어요.
다시 장치를 붙이기는 부담스러운데
부분교정으로 가능한가요?
몇달 후에 웨딩촬영을 하는데 최대한 티안나게
살짝 틀어진 치아를 교정하고 싶어요.
결혼, 유학, 취업, 이민 등을 앞두고 치아 교정을 고민하시는 분들 중에 빠른 시간 안에 교정이 가능한지 고민하시는 분들이 많이 계십니다. 제대로 치아를 교정하려면 전체교정을 하는 것이 물론 좋겠지만, 아무래도 전체교정은 기간도 오래 걸리고 비용적인 부담도 큰 것은 사실입니다.
위와 같이 곧 결혼을 준비하시는 분이나 면접 등을 준비하는 경우 최대한 빠른 시간 안에 심미성을 극대화 할 수 있는 치료 방법으로 부분교정이 있습니다.
부분교정은 전체 치열, 교합의 개선이 목적이 아니라 본인이 고치고 싶은 부분만 교정을 하는 방법으로, 심미적인 개선을 목적으로 앞니만 교정을 하거나, 어금니 보철치료를 하기 위해 어금니 부위만 교정을 하는 경우 등이 있습니다.
또한 예전에 교정치료를 이미 했으나, 유지장치 관리가 잘 안되어 치열이 살짝 틀어진 경우 재교정이 필요한 경우에도 부분교정으로 치열을 개선할 수 있습니다.
부분교정을 할 수 있는 방법은 일반 장치로 하는 부분교정, MTA 부분교정, 인비절라인 교정 등이 있습니다. 그 중 인비절라인으로 부분교정을 할 수 있는 인비절라인 익스프레스, 인비절라인 라이트 등의 방법이 있습니다.


앞니 부분교정 (클리피씨2G 부분교정 vs MTA 부분교정)
인비절라인 익스프레스(Invisalign Express)는 평균 2~3개월 이내 빠르게 교정을 마무리할 수 있는 장치로, 총 7개 이내의 장치로 교정하는 방법입니다. 앞니 사이가 살짝 벌어졌거나 튀어나온 경우 등 경미한 부정교합에서 사용할 수 있습니다.
반면, 인비절라인 라이트(Invisalign Lite)는 6개월~1년 이내의 기간 안에 최대 14개의 장치를 사용하여 치료하며, 원하는 부위만 선택적으로 치료할 수 있다는 장점이 있습니다.

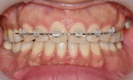
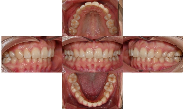
2025.3.5 초진


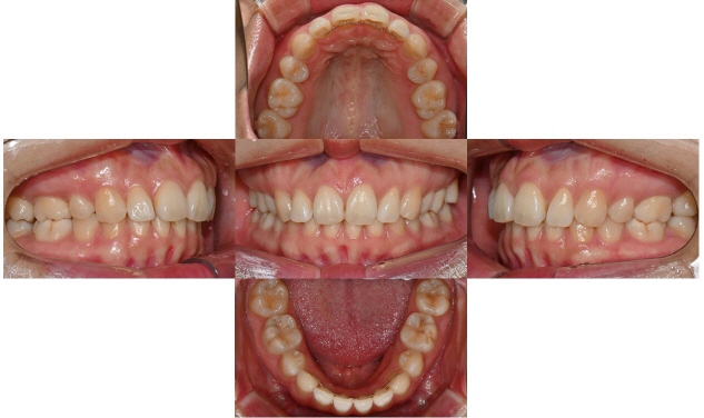
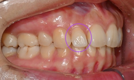
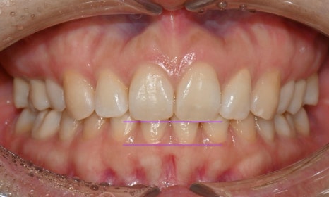
본 환자는 예전에 발치교정을 했는데 과개교합 때문에 위 치아 유지장치 관리가 잘 되지 않아 앞니가 살짝 벌어지고 치아 하나가 튀어나온 것이 신경이 쓰인다는 주소로 병원에 내원하셨습니다. 과개교합 때문에 위아래 앞니가 서로 부딪혀서 유지장치가 떨어졌고, 유지장치 관리가 잘 안되니 앞니 사이가 점점 벌어지고 오른쪽 앞니가 튀어나온다고 하셨습니다.
장치 교정을 할 경우 사회생활을 하는데 비심미적이고, 기간이 오래 걸려서 빠른 시일 안에 교정 치료를 원하셔서 위 앞니만 인비절라인 익스프레스로 진행하길 원하셨습니다.

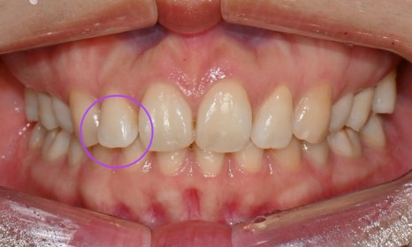
첫번째 세트 마무리 후
총 7개의 인비절라인 장치로 튀어나온 오른쪽 두번째 앞니를 배열하고 벌어진 앞니 사이 공간을 타이트하게 닫아주었습니다. 7개 장치가 마무리된 이후 아직 살짝 두번째 앞니가 아래 앞니와 닿는 느낌이 든다고 하여 추가교정장치(additional agligners)를 제작하기로 하였습니다.
총 7개 장치의 치료과정이 마무리 된 후 새로운 클린체크 치료계획을 세워서 마무리가 덜 된 부분을 조금 더 치료하는 과정으로, 본 환자의 경우 앞니 각도를 조금 더 조절해주며 전체적으로 위 앞니를 위로 올려주어 과개교합을 개선하여 앞니끼리 닿지 않도록 하였습니다.
"추가교정장치가 무엇인가요?"
인비절라인의 경우 추가교정장치라는 것이 있는데, 이는 전체 치료 과정을 마무리한 이후 조금 더 수정이 필요한 부분을 개선하기 위한 치료 마무리 과정이라고 생각하시면 됩니다. 인비절라인 장치 종류에 따라 가능한 추가교정장치 세트 차이가 있는데, 인비절라인 익스프레스의 경우 치료시작 6개월 이내에 추가교정장치 1세트를 제작할 수 있습니다.

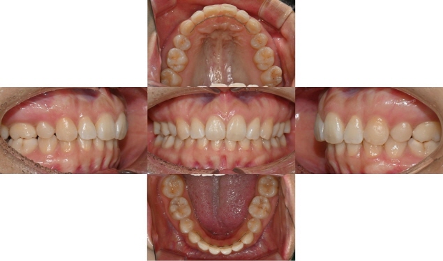
2025.5.20 교정치료 완료


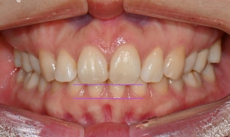
과개교합 치료 전후 사진 비교
총 3달 정도의 치료기간 동안 오른쪽 틀어진 앞니가 가지런하게 배열되었고 치아사이 공간도 타이트하게 닫을 수 있었습니다. 또한 위아래 앞니가 서로 세게 닿지 않도록 위 앞니를 위로 살짝 올려주어 과개교합을 개선하였습니다.
과개교합의 경우 일반 교정장치로 부분교정하기에는 쉽지 않은 치료과정이나, 인비절라인의 경우 부분교정으로도 어느 정도의 과개교합의 개선은 충분히 가능합니다. 치료 마무리 후 송곳니까지 고정식 유지장치를 붙이고 가철식 유지장치를 제작하여 다시 틀어지거나 벌어지지 않도록 하였습니다.

대치동 치과
연세정원치과에서는 인비절라인 치아교정을 위해 3D 구강스캐너인 iTero Lumina, 성장판 검사, 모르페우스 안면스캐너를 통한 치료 전후 시뮬레이션 등 필요한 최신의 장비를 모두 보유하고 있어 더욱 정밀하고 체계적으로 치아교정을 진행하실 수 있는 장점이 있습니다.
또한, 치아교정시 정밀진단비, 월비 등의 비용이 포함(단, 유지장치 비용 제외)되어 추가적인 비용 발생에 대한 걱정도 하실 필요가 없습니다. 또한, 일반진료과가 함께 있어 발치나 충치치료 등의 교정에 필요한 모든 치료가 한곳에서 가능하며 목돈이 한번에 나가는 부담을 줄이기 위해 분납제도를 실시하고 있으니 더욱 매력적이라고 할 수 있습니다.
대표원장 윤정원 원장은 교정과를 책임지고 있으며, 16년 임상기간 동안 교정만을 전문으로하여 고난이도의 수많은 케이스 경험을 가지고 계십니다. 따라서 부정교합, 돌출입, 주걱턱 등 다양한 치아교정에 대해 효과적으로 치료가 가능합니다.

연세정원치과 윤정원 대표원장
아마도 돌출입, 덧니, 부정교합, 주걱턱 등으로 인해 교정을 고려하고 계시는 분들께서는 검색을 통해 많은 정보를 이미 습득하고 계실텐데요. 그렇더라도 실제로 장치별로 비교를 해보고 자세한 설명을 듣는다면 결정하시는데 큰 도움이 되실 것입니다.
상담시에는 클라리티, 클리피씨, 인비절라인 등 다양한 장치를 직접 눈으로 비교해 보시면서 장단점에 대해서 자세한 설명을 들으실 수 있으니 부담없이 전화 문의 또는 방문하여 상담 받아보시기를 권유해 드립니다.

대치동 치과
연세정원치과는 삼성역, 학여울역, 대치역, 한티역에서 모두 가까워 삼성동, 대치동, 개포동, 도곡동, 일원동, 역삼동, 잠실에서 내원하시기에 매우 편리합니다.
대치동 우성아파트 사거리 BMW 옆 건물
(스타벅스/삼성스토어 건너편)
대치동 교정치과 연세정원치과는
주차가 편리하며 무료입니다
상담 및 문의 : 02-501-2879
더 보기
이 병원의 공개 콘텐츠를 계속 살펴보세요
출처 아카이브로 돌아가 더 많은 글을 보거나, 병원 프로필로 이동해 다른 공개 채널도 함께 비교해보세요.