연세정원치과
임플란트 1차 수술 vs 2차 수술
1차수술 2차수술 임플란트 안녕하세요! 대치동 치과 연세정원치과 입니다. 요즘에는 원데이 임플란트도 많이 하기 때문에 임플란트를 심기 위해 병원에 내원해야 하는 횟수도 줄고, 수술에 필요한 시간이 많이 줄어들었습니다. 원데이 임플란트는 환자가 병원에 방문한 당일 발치를 하고 임플란트를 식립하는 방법으로, (최종 보...
아카이브 요약
이 페이지의 역할
연세정원치과 Yonsei JW Dental Clinic at Gangnam의 네이버 블로그 원문을 보존한 아카이브 페이지입니다. 충치 및 임플란트 카테고리의 임플란트 1차 수술 vs 2차 수술 글을 통해 병원의 한국어 정보 제공 방식과 진료 관련 안내 톤을 확인할 수 있습니다.

1차수술 2차수술 임플란트
안녕하세요! 대치동 치과 연세정원치과 입니다.
요즘에는 원데이 임플란트도 많이 하기 때문에 임플란트를 심기 위해 병원에 내원해야 하는 횟수도 줄고, 수술에 필요한 시간이 많이 줄어들었습니다. 원데이 임플란트는 환자가 병원에 방문한 당일 발치를 하고 임플란트를 식립하는 방법으로, (최종 보철물이 아닌) 임시 보철물을 장착하는 것까지 완료할 수 있습니다.
원데이 임플란트는 누구나 가능한가요?
하지만, 모든 경우에 가능한 것이 아닙니다. 임플란트를 식립하기 위해서는 충분한 양의 잇몸뼈가 있어야 하며, 잇몸에 염증이 있거나 잇몸뼈의 상태가 양호하지 못한 경우에는 불가능합니다. 발치할 치아의 주변에 염증이 있거나 고름이 생긴 상태에서는 임플란트를 바로 식립할 수 없으며, 임플란트 인공치근(픽스쳐)가 고정될 수 있는 충분한 양의 뼈가 없는 경우에도 불가능합니다. 또한 발치 과정에서 잇몸뼈의 손실이 많은 경우 역시 발치 당일에 임플란트를 식립할 수 없습니다.
따라서 발치 치아 주변에 감염이 없고 치조골 손상이 적으며 인공치근이 고정될 수 있는 충분한 양의 뼈가 있는 경우 등 잇몸뼈의 조건이 양호한 경우에만 원데이 임플란트가 적용 가능합니다. 또한, 원데이 임플란트라고 해도 최종 보철물을 올릴 때까지는 충분한 골유착 기간이 필요합니다.
잇몸질환, 충치, 외상 등으로 인하여 치아가 빠진 경우, 임플란트를 심어서 빠진 치아를 대신하여 사용할 수 있다는 것은 많이들 알고 계십니다. 그러나 임플란트 수술 과정을 살펴보면 1차 수술, 2차 수술, 상악동 거상술, 뼈이식 등 처음 들어보는 복잡한 술식을 접하게 됩니다. 임플란트 수술이라는 것이 한번 임플란트를 심으면 모든 치료가 완료된다고 생각하실 수 있으나, 사실 임플란트 수술은 여러 단계의 과정을 거쳐서 이루어지게 됩니다.
임플란트 뼈이식이나 상악동 거상술은 지난 포스팅에서 설명을 드린 적이 있습니다. 오늘 포스팅은 임플란트 1차 수술과 2차 수술의 차이점에 대하여 알아보도록 하겠습니다.
임플란트란 일반적으로 자연 치아를 대신하기 위하여 잇몸뼈에 심는 금속으로 된 나사라는 것은 잘 알고 계시는 사실입니다. 그러나 가끔 임플란트 1차 수술 혹은 2차 수술 등의 용어를 듣고 수술을 2번에 걸쳐 해야하는 것인지 오해하시는 경우가 있습니다. 그렇다면 임플란트 1차 수술과 2차 수술이란 무엇을 말하는 것일까요?
임플란트 1차 수술이란?

임플란트 픽스처 식립
임플란트 1차 수술이란 잇몸뼈 안에 인공치근(fixture)을 식립하는 단계로, 전체 임플란트 치료 과정 중 가장 핵심적인 수술입니다. 우리가 흔히 알고 있는 임플란트 수술이란 바로 이 1차 수술 과정을 의미합니다. 1차 수술은 보통 국소마취 하에 시행되며, 잇몸을 절개한 후 잇몸뼈를 노출시킨 후 잇몸뼈에 구멍을 내어 픽스쳐를 식립하는 과정으로 이어집니다. 잇몸뼈가 부족한 경우 뼈이식이 동반될 수 있으며, 위턱뼈의 경우 상악동 거상술을 시행할 수도 있습니다. 요즘에는 잇몸을 절개하지 않고 바로 픽스쳐를 식립하기도 합니다. 이 모든 과정을 임플란트 1차 수술이라고 합니다.
이렇게 심어둔 인공치근은 시간이 지나며 잇몸뼈와 결합하는 골유착 과정을 거쳐 단단한 지지가 가능해지며, 이 과정은 최소 3~6개월 정도 소요됩니다. 이 시기에는 출혈이나 감염이 발생하지 않도록 각별한 신경을 쓰는 것이 중요합니다.



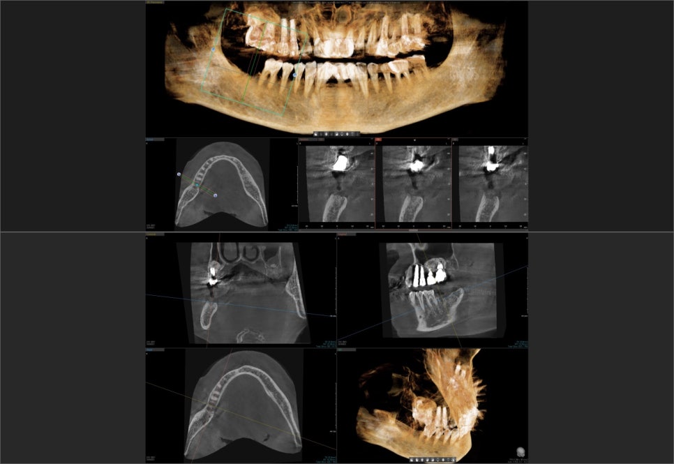
대치동 임플란트
위 엑스레이 사진과 같이 오른쪽 아래 어금니를 발치한 후 인공치근을 식립한 과정을 1차 수술이라고 합니다. 다른 부위에 식립한 임플란트와는 달리 치아의 뿌리에 해당하는 픽스쳐만 식립되어 있는 것을 확인할 수 있습니다. 이 인공치근이 잇몸뼈와 충분히 유착될 때까지 잇몸 아래 묻어두어서 안정적인 골유착을 유도합니다.
이 때 환자분의 잇몸뼈 상태나 식립한 임플란트 픽스쳐의 초기 고정 상태 등을 고려합니다. 환자의 잇몸뼈의 상태가 좋지 않거나 감염이 우려되는 경우, 또는 픽스쳐의 초기 고정력이 약한 경우, 어떠한 외부의 자극이 가해지지 않도록 커버 스크류라고 하는 작은 나사 뚜껑을 덮어서 잇몸 안에 픽스쳐를 묻어두어 골유착이 일어날 때까지 충분히 기다립니다. 추후 보철물을 연결하기 위해 잇몸 안에 묻어둔 임플란트 픽스쳐를 외부로 노출시키는 과정이 필요한데 이 과정이 바로 2차 수술에 해당합니다.
반면 초기 고정력이 좋은 경우 잇몸의 형태를 잡아주며 치유되도록 도와 주는 힐링 어버트먼트라고 하는 큰 뚜껑을 연결하여 치유 기간 후 2차 수술 없이 바로 보철물이 들어가게 됩니다.
임플란트 2차 수술

임플란트 2차 수술
임플란트 2차 수술은 1차 수술 후 3~6개월의 골유착 과정을 거친 후 시행하며, 잇몸뼈와 인공치근(픽스쳐)이 잘 결합하였는지 확인하고 보철물이 올라가기 전에 잇몸의 모양을 잡아주기 위한 과정으로 생각하시면 됩니다. 약간의 잇몸 절개 후 잇몸으로 덮여 있던 임플란트를 노출시키며, 잇몸 회복을 위해 힐링 어버트먼트를 연결하여 치유 기간 동안 잇몸의 모양이 잘 잡히도록 도와주게 됩니다. 1차 수술 시 잇몸뼈의 상태가 좋고 임플란트 픽스쳐의 초기 고정이 잘 나올 경우에는 바로 힐링 어버트먼트를 연결하여 2차 수술이 생략되기도 합니다.

힐링 어버트먼트
수술이라는 단어 때문에 환자분들께서 부담을 느끼실 수 있지만, 2차 수술은 잇몸 절개와 임플란트 구조물 교체라는 비교적 간단한 시술이므로 진료시간도 짧고 별도의 약 처방 없이도 회복이 가능합니다.
간단한 수술이라고 해도 잇몸을 절개했기 때문에 감염의 위험이 있으므로 처방받은 약이 있다면 모두 복용하는 것이 좋으며, 수술 후 2주 정도는 흡연과 음주는 피하는 것이 좋습니다. 2차 수술은 임플란트 보철물을 장착하기 위해 매우 중요한 과정이므로, 적절한 관리를 통해 잇몸을 회복시키는 것이 필요합니다.

보철물 장착
수면(의식하 진정) 임플란트
임플란트를 심어야 하는데 만약 치과 공포증이 있다면 수술 시 통증과 출혈에 대한 걱정으로 치과에 내원하는 것부터 힘든 경우가 있습니다. 이러한 경우 수면 치료를 하게 됩니다. 수면 치료는 임플란트 수술뿐만 아니라 매복 사랑니 발치, 충치치료, 신경치료 등 다양한 치과 치료에 적용이 됩니다.
수면(의식하 진정) 임플란트가 필요한 경우
-
치과 치료에 대한 트라우마가 심하신 분
-
치과가 무서워서 치료를 못 받고 미뤄오신 분
-
공황 장애로 인해 치과 치료 진행이 어려우신 분
수면 치료는 치과치료에 대한 공포와 긴장, 통증에 대한 두려움으로 내원을 망설이시는 분들을 위해 사용하는 치료입니다. 이는 전신 마취가 아니라 내시경 등에 사용하는 ‘의식하 진정요법’으로, 치료 전 약을 복용하는 방식으로 환자를 가수면 상태로 유도한 후 수면을 취하는 듯 편안한 상태에서 치료가 이루어집니다. 따라서 치료 동안의 통증과 불안감을 최소화하고 효율적인 치료가 가능합니다.
환자가 가수면 상태에 들어가면 꿈을 꾸듯 편안한 상태를 유지하게 되며, 통증도 거의 느끼지 못합니다. 또한 전신마취가 아니기 때문에 환자는 얕은 의식을 유지하고 있으며, 스스로 자발적인 호흡이 가능하고, 의료진과 간단한 의사소통이 가능하기 때문에 보다 안정적이라는 특징을 지니고 있습니다. 또한 단기 기억 상실 작용으로 인하여 치료 중 발생할 수 있는 통증, 소리, 냄새 등이 치료가 끝난 이후 기억에 거의 남지 않기 때문에 치과 치료에 대한 공포감과 부담감을 덜어낼 수 있습니다.
| 의식하 진정요법 (수면 치료) | | 전신마취 |
|---|---|---|
| 약물 주사 또는 복용 | 마취방법 | 마취 가스 |
| 자발적 호흡 | 호흡상태 | 인위적 호흡 |
| 빠름 | 회복력 | 느림 |
| 비교적 적음 | 신체부담 | 많음 |
연세정원치과는 수면 치료 시 환자의 전신 상태를 지속적으로 모니터링하고,
심장박동수, 산소포화도 등 환자의 상태를 필수적으로 체크하여 안전을 최우선으로 합니다.

강남치과 연세정원치과 임플란트 가격
강남치과 연세정원치과의 임플란트는 서울대 출신의 치과보철과 전문의 안지호 원장님께서 (현 서울대 외래교수) 다양한 임상경력을 바탕으로 고난이도의 수많은 케이스 경험을 가지고 계십니다. 따라서, 완성도 높은 임플란트 결과를 제공해 드리고 있으며, 필요하지 않은 상악동 거상술은 권유하지 않는 등 철저하게 근거기반의 진료만을 진행합니다.

상담시에는 단일 임플란트, 브리지, 전체임플란트 등 임플란트 종류와 적합한 브랜드, 등급에 대해서 자세히 설명해 드리고 있으며, 디지털 검사를 통해 체계적인 치료 계획을 세워 드립니다. 여느 강남치과처럼 의사와의 상담이 채 몇 분 되지않아 알고 싶은 부분을 물어보지도 못하고, 실장과 진료를 상담하는 일은 없으시기 때문에 안심하고 편하게 방문해 주시기 바랍니다.
아마도 임플란트를 고려하고 계시는 분들께서는 강남임플란트 근처치과 검색을 통해 많은 정보를 이미 습득하고 계실텐데요. 그렇더라도 실제로 전문의를 통해 자세한 설명을 듣는다면 결정하시는데 큰 도움이 되실 것입니다.
더 보기
이 병원의 공개 콘텐츠를 계속 살펴보세요
출처 아카이브로 돌아가 더 많은 글을 보거나, 병원 프로필로 이동해 다른 공개 채널도 함께 비교해보세요.