연세정원치과
왜소치 치료 - 라미네이트 vs 레진비니어 vs 치아교정
왜소치 치료, 연세정원치과 안녕하세요. 대치동 치과 연세정원치과 대표원장 윤정원 입니다. 치과에서 상담을 하다보면 종종 환자분들께서 "제 앞니가 왜 이렇게 작을까요?" 라고 물어보시는 경우가 있습니다. 이는 바로 왜소치 때문인데요. 오늘은 왜소치가 무엇인지, 그리고 어떠한 치료 방법들이 있는지 이야기 해보려고 합니...
아카이브 요약
이 페이지의 역할
연세정원치과 Yonsei JW Dental Clinic at Gangnam의 네이버 블로그 원문을 보존한 아카이브 페이지입니다. 미백/라미네이트 심미치료 카테고리의 왜소치 치료 - 라미네이트 vs 레진비니어 vs 치아교정 글을 통해 병원의 한국어 정보 제공 방식과 진료 관련 안내 톤을 확인할 수 있습니다.

왜소치 치료, 연세정원치과
안녕하세요. 대치동 치과 연세정원치과 대표원장 윤정원 입니다.
치과에서 상담을 하다보면 종종 환자분들께서 "제 앞니가 왜 이렇게 작을까요?" 라고 물어보시는 경우가 있습니다. 이는 바로 왜소치 때문인데요. 오늘은 왜소치가 무엇인지, 그리고 어떠한 치료 방법들이 있는지 이야기 해보려고 합니다.
왜소치란 무엇일까요?
왜소치란 정상 치아보다 크기가 작게 발육한 치아를 말합니다. 특히 윗니 가운데 앞니 바로 옆에 위치하는 측절치에서 가장 흔하게 나타나는데요. 보통 모양이 뾰족하고 원뿔 처럼 생겨서 'peg lateralis'라고 부르기도 합니다. 겉보기엔 단순히 치아가 작아 보이는 것 같지만 대부분 유전적인 요인과 관련이 있고, 발육 과정에서의 차이로 생기는 경우가 많습니다. 가족 중에 비슷한 치아 형태를 가진 경우도 흔하게 나타납니다.

왜소치 (peg lateralis)


왜소치 (peg lateralis)
왜소치가 있으면 어떤 문제가 생길까요?
-
심미적인 문제
-
앞니 옆에 작은 치아가 있으면 스마일 라인 전체가 불균형해보이게 됩니다. 보통 환자분들께서 "치아가 작아서 사진 찍을 때나 웃을 때 신경 쓰인다"는 말씀을 많이 하십니다. 치아가 작기 때문에 생긴 빈 공간 때문에 더 눈에 띄게 됩니다.
- 위생 관리 문제
- 왜소치 주변에 보통 여분의 공간이 생기는데, 이 틈으로 음식물이 잘 낄 수 있습니다. 치실이나 칫솔질로 관리가 잘 안될 경우 충치나 잇몸 질환 발생 가능성이 높아질 수 있습니다.
- 교정 치료 시 어려움
-
왜소치가 있는 환자가 치아 교정을 하게 될 경우 치아를 배열할 때 남아 있는 공간을 어떻게 다룰지 고민을 해야 합니다. 간혹가다 왜소치가 있어도 전혀 신경을 쓰지 않는 분들도 계시기 때문에, 환자분들과의 충분한 상담을 통해 치료 방법을 결정해야 합니다. 왜소치 치료를 원치 않는 경우 남아 있는 공간을 닫아서 없앨 수 있는데, 이 경우 치아 크기가 작기 때문에 발생할 수 있는 교합 관계 역시 고려해야 합니다.
-
왜소치 치료도 함께 원하는 경우 공간을 남기거나 혹은 좌우에 비대칭적으로 남아 있는 공간을 교정치료를 통해 치아를 이동시켜서 어느 정도 대칭적으로 공간을 만들어서 왜소치 치료를 해주어야 합니다. 왜소치 주변에 공간이 아예 없는 경우에는 치아 사이를 벌려서 공간을 만들어 줄 수 있습니다.
왜소치의 치료 방법
왜소치 치료는 환자의 나이, 치아 배열 상태, 전체적인 교합을 종합적으로 고려하여 선택하게 됩니다.
-
레진 수복 (레진 비니어)
-
라미네이트/크라운
-
교정 치료와 병행
- 레진 수복 (레진 비니어)
왜소치 레진 치료는 크기가 작은 치아를 거의 깎지 않고 심미 수복 재료인 레진을 붙여서 치아 모양과 크기를 자연스럽게 만들어주는 방법입니다. 레진은 치아색과 비슷한 재료이기 때문에, 주변 치아와 자연스럽게 어우러질 수 있습니다. 라미네이트나 크라운 치료에 비하여 비교적 치료 비용이 경제적이고 빠르고 간단하여 당일 치료가 가능하다는 장점이 있습니다.


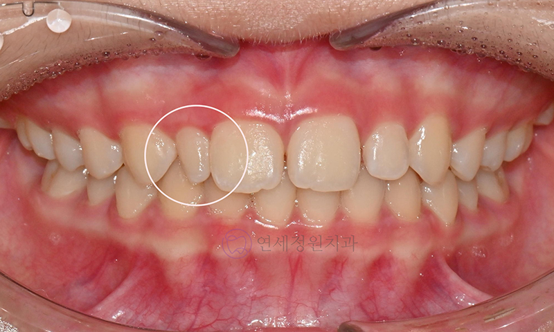
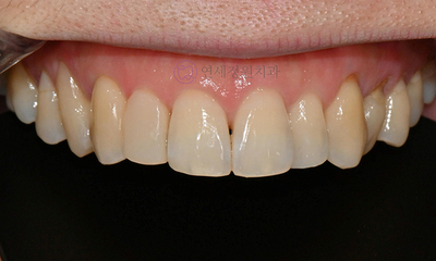
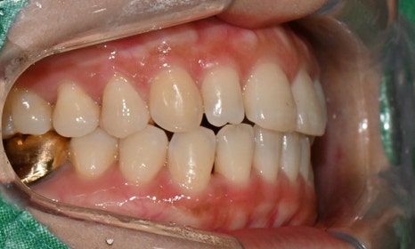
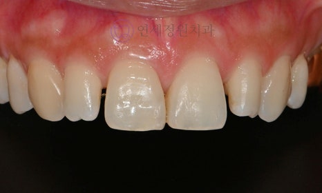
왜소치의 레진 비니어 치료
본 환자는 오른쪽 앞니가 사이즈가 작고 안으로 들어가 있어서 공간이 비어보인다는 주소로 내원하였습니다. 왼쪽 앞니도 안으로 틀어져 있긴 했지만 왜소치는 아니어서 오른쪽 앞니만 치료를 원하셨습니다. 치아가 반대로 물리고 있어서 라미네이트를 하기에 적합한 치아 위치는 아니었고, 최대한 치아를 깎지 않고 진행을 원하셔서 크라운 치료 대신 레진 비니어로 왜소치 크기와 모양을 개선하기로 하였습니다.

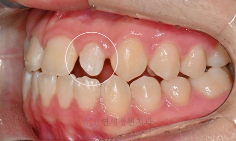
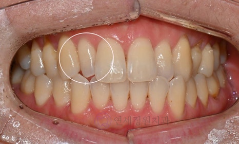
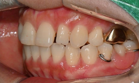
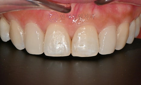
왜소치의 레진 비니어 치료 결과
레진 비니어 치료 이후 비교 사진입니다. 치아 무삭제 치료로 진행하였으며, 치아색과 비슷한 레진 쉐이드로 수복을 하였습니다. 주변 치아와 자연스럽게 어우러진 것을 확인할 수 있습니다.


왜소치의 레진 비니어 치료 전후 비교
- 라미네이트/크라운
두번째 왜소치 치료방법은 라미네이트나 크라운 치료 입니다.
라미네이트의 경우는 치아 삭제량이 거의 없거나 크라운에 비해 삭제량이 적어서 자연치를 보존하며 치료가 가능하다는 장점이 있습니다. 그러나 라미네이트는 치아 축이 맞지 않거나 돌출되어 있는 경우에는 적용이 힘들며, 교합력을 많이 받는 부위에는 파절의 위험이 있기 때문에 이러한 경우 최소한의 두께 확보를 위해 치아 삭제가 필요할 수 있습니다.
왜소치의 크라운 치료의 경우 왜소치가 너무 작거나, 형태나 치아 축이 심하게 부조화가 있는 경우, 또는 충치나 파절로 남아있는 치아가 부족한 경우 적용 가능합니다. 치아의 형태, 크기, 색상이나 치아축까지 모두 개선이 가능하여 심미적/기능적 개선 폭이 넓으며, 강도가 우수하기 때문에 교합력에도 잘 버틸 수 있습니다. 그러나 치아 삭제량이 많다는 단점이 있습니다.
보통 심미성이 가장 중요하고 치아 삭제를 최소화하고 싶을 경우 라미네이트를 적용할 수 있으며, 치아가 작아도 튼튼하게 오래 사용하고 싶거나 이미 충치나 파절이 있는 경우에는 크라운 치료가 더 적합합니다.




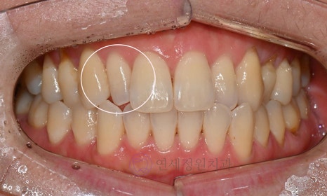
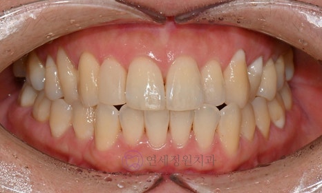
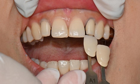
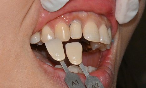
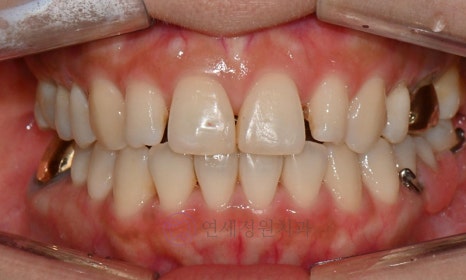
왜소치의 라미네이트 치료

미소 시 사진
본 환자는 최근에 다른 곳에서 교정을 마무리 했는데 옆 앞니가 작고 튀어나와 있어서 웃을 때 예쁘지 않다는 주소로 병원에 내원하셨습니다. 앞니가 약간 튀어나온 상태여서 치아를 깎지 않을 경우 앞니가 너무 돌출된 상태로 마무리가 되어 최소 삭제 후 라미네이트를 진행하기로 하셨습니다.


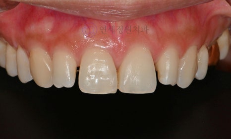
라미네이트 쉐이드 선택
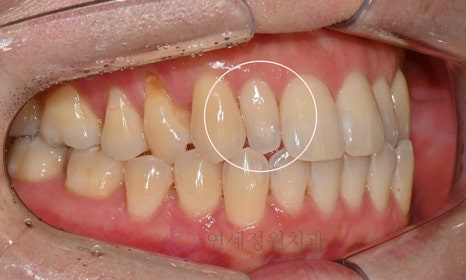
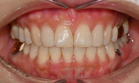
라미네이트 치료 결과입니다.




왜소치의 라미네이트 치료 결과
- 교정치료와 병행
왜소치 치료시 공간이 너무 좁거나 혹은 공간이 너무 넓을 경우, 원래 치아 사이즈에 맞게 공간을 재분배해주는 과정이 필요하므로, 왜소치 치료와 교정 치료는 병행될 가능성이 높습니다.




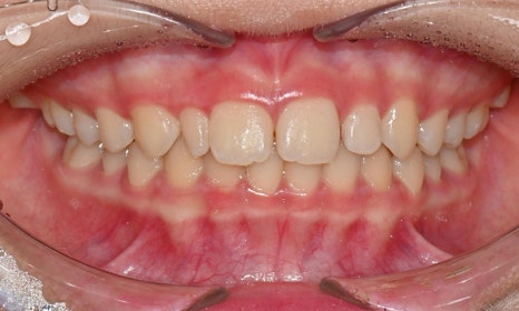
왜소치, 교정의 병행
본 환자의 경우 좌우 왜소치 치료를 위한 공간이 한쪽은 부족하고 한쪽은 공간이 남으며, 위아래 치아 중심선도 일치하지 않아 왜소치 치료를 원할 경우 간단한 교정을 통해 왜소치 주변의 공간을 재분배해야 하는 과정이 필요합니다.

왜소치는 생각보다 흔한 치아 형태 이상이지만, 적절한 치료 계획을 세우면 심미적으로도, 기능적으로도 만족스러운 결과를 얻을 수 있습니다. 단순히 치아 크기만 키우는 게 아니라, 교정과 보철을 함께 고려한 치료를 통해 얼굴 전체의 조화와 교합 상태까지 고려해야 자연스럽고 만족스러운 결과가 나올 수 있습니다. “내 치아가 왜 이렇게 작지?” 하고 고민해보신 적이 있으시다면, 전문적인 상담을 받아보시는 것을 추천드립니다.
연세정원치과는 삼성역, 학여울역, 대치역, 한티역에서 모두 가까워 삼성동, 대치동, 개포동, 도곡동, 일원동, 역삼동, 잠실에서 내원하시기에 매우 편리합니다.
대치동 우성아파트 사거리 BMW 옆 건물
(스타벅스/삼성스토어 건너편)
대치동 치과 연세정원치과는
주차가 편리하며 무료입니다.
상담 및 문의 : 02-501-2879
더 보기
이 병원의 공개 콘텐츠를 계속 살펴보세요
출처 아카이브로 돌아가 더 많은 글을 보거나, 병원 프로필로 이동해 다른 공개 채널도 함께 비교해보세요.