연세정원치과
인비절라인 앞니 사이 공간 및 덧니 교정
인비절라인 앞니 교정, 대치동 교정치과 안녕하세요. 대치동 교정치과 윤정원 대표원장 입니다. 오늘은 인비절라인으로 앞니 사이 벌어진 공간과 덧니를 교정한 사례를 소개해드리려고 합니다. 인비절라인의 경우 병원에 자주 내원하기 힘들 경우 장치를 여러 세트 받아 가서 주의사항에 따라 장치 착용을 잘 해줄 경우 최소한...
아카이브 요약
이 페이지의 역할
연세정원치과 Yonsei JW Dental Clinic at Gangnam의 네이버 블로그 원문을 보존한 아카이브 페이지입니다. 인비절라인 카테고리의 인비절라인 앞니 사이 공간 및 덧니 교정 글을 통해 병원의 한국어 정보 제공 방식과 진료 관련 안내 톤을 확인할 수 있습니다.

인비절라인 앞니 교정, 대치동 교정치과
안녕하세요.
대치동 교정치과 윤정원 대표원장 입니다.
오늘은 인비절라인으로 앞니 사이 벌어진 공간과 덧니를 교정한 사례를 소개해드리려고 합니다.
인비절라인의 경우 병원에 자주 내원하기 힘들 경우 장치를 여러 세트 받아 가서 주의사항에 따라 장치 착용을 잘 해줄 경우 최소한의 내원으로도 만족스러운 교정 치료 효과를 얻을 수 있다는 장점이 있습니다. 특히 군인이나 유학생들의 경우 병원에 자주 내원이 힘들기 때문에 인비절라인을 선택하는 경우가 많습니다.
본 환자는 20대 초반 주한미군으로 6개월 후 다른 나라로 근무지를 옮기게 되는 상황이었으며, 그 곳에서 치료를 이어서 받을 수도 있지만 출국 전에 가능한 범위 안에서 한국에서 치료를 마무리하고 가기를 원하셨습니다.
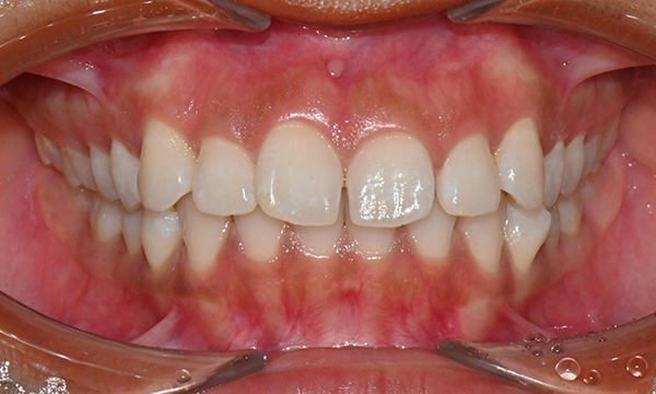
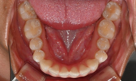
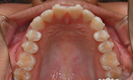
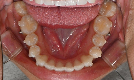
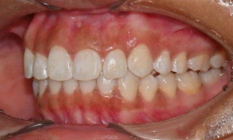
위아래 앞니 사이가 벌어져서 공간이 있었고, 앞니에 약간씩 배열이 틀어진 덧니가 있었습니다. 정면에서 보았을 때 윗니와 아래 앞니가 깊게 물려서 아래 앞니가 잘 보이지 않는 과개교합 양상을 보이고 있었습니다. 또한 왼쪽 아래 작은 어금니가 90도 앞으로 돌아가서 좌측 치아 배열 및 교합이 좋지 않은 상태였습니다.





초진시 구내사진 (2025. 3.31)
6개월이란 짧은 기간 안에 왼쪽 아래 틀어진 어금니 배열까지 맞추기엔 시간이 부족하였고, 환자분의 주된 고민은 앞니 사이 벌어진 공간이었으므로, 이번 교정 치료시에는 치아사이 공간과 치아배열 및 과개교합을 개선하기로 하였습니다.
장치는 총 19개였으며, 아래 치아 배열은 12단계 안에 마무리 되었습니다. 아래 장치의 남는 7단계 동안 작은 어금니 배열을 조금이라도 맞추고 싶었으나, 시간적 제약 상 한 장치를 5일씩 착용하기로 하여서 짧은 기간 안에 치아 이동이 충분히 따라오기 힘들다고 판단하여 작은어금니 배열은 하지 않기로 하였습니다.





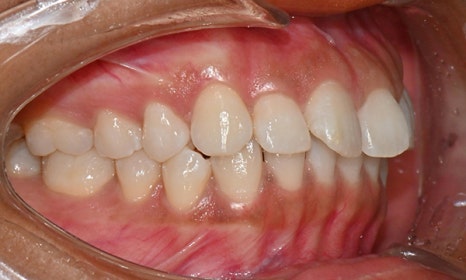
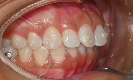
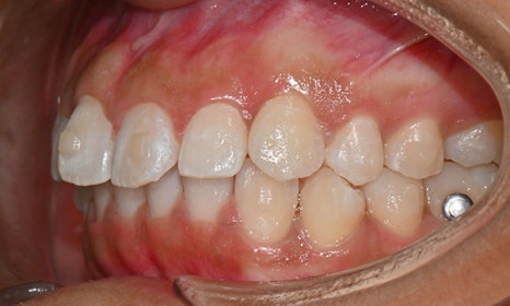
장치 착용 2달 후 사진 (2025.6)
장치 착용 2달 후 8번 장치를 착용하고 있을 때 사진입니다. 치아 배열도 많이 개선되었으며 치아사이 공간도 많이 닫혔습니다.





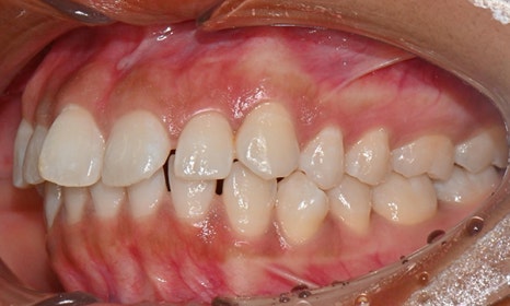
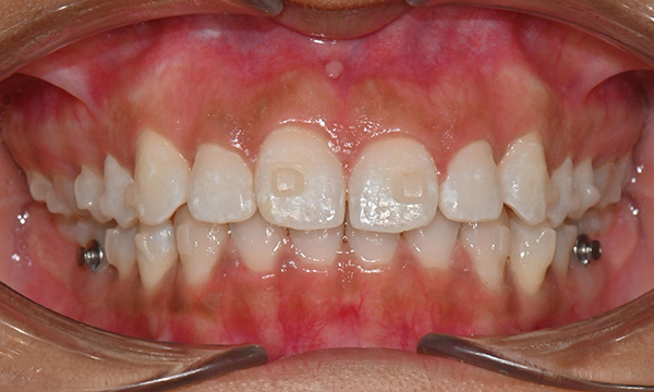
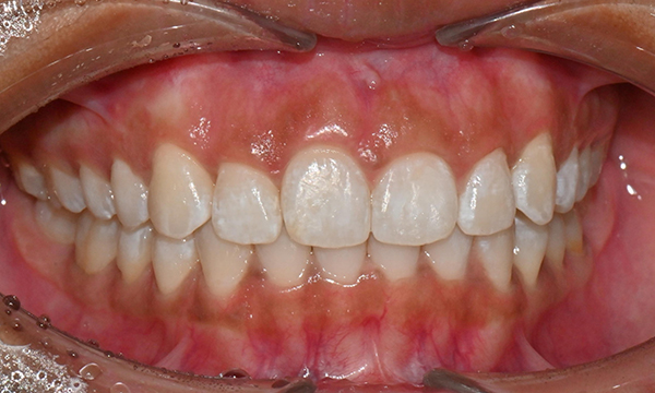
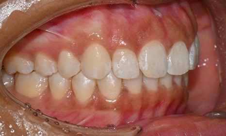
교정 마무리 후 사진 (2025.8)
교정 마무리 후 사진으로 위아래 치아 배열이 개선되었고 공간이 모두 닫혔습니다. 위아래 앞니가 깊게 물리는 과개교합도 처음에 비하여 많이 개선되었습니다. 다만 아래 작은 어금니 배열로 인하여 왼쪽 어금니 교합은 아직 완벽하지 않은 상태로, 추후 본국으로 돌아가서 자료를 transfer 해드려서 이어서 치료를 받기로 하셨습니다.
위 오른쪽 앞니의 경우 초진시에도 틀어져있던 부위의 잇몸이 내려가 있었으므로, 치아가 배열되면 좌우 잇몸 높이가 맞지 않을 것임을 미리 고지시켜드렸었고, 추후 치은성형술로 잇몸 높이를 맞추는 것이 심미적으로 더 보기 좋을 것임을 추천드렸습니다.


약 4개월의 기간 동안 처음부터 마무리까지 총 5번의 내원으로 교정치료가 마무리 되었으며, 위아래 앞니 고정식 유지장치 및 Vivera 유지장치를 착용 후 출국하셨습니다.

연세정원치과는 주차가 편리할 뿐만 아니라 삼성역, 학여울역, 대치역, 한티역에서 모두 가까워 삼성동, 대치동, 개포동, 일원동, 도곡동, 역삼동, 잠실에서도 내원하시기에 매우 편리합니다.
대치동 우성아파트 사거리 BMW 옆 건물
(스타벅스/삼성스토어 건너편)
대치동 교정치과 연세정원치과는
주차가 편리하며 무료입니다
상담 및 문의 : 02-501-2879
더 보기
이 병원의 공개 콘텐츠를 계속 살펴보세요
출처 아카이브로 돌아가 더 많은 글을 보거나, 병원 프로필로 이동해 다른 공개 채널도 함께 비교해보세요.