연세정원치과
개포동 앞니 사이 공간 및 덧니 교정을 원한다면
개포동 앞니 치아교정을 인비절라인으로 하는 곳 알아본다면 개포동 교정치과 안녕하세요. 교정치과 연세정원치과의 윤정원 대표원장입니다. 오늘은 저희 치과에서 인비절라인으로 앞니 사이 벌어진 공간과 덧니를 교정한 케이스를 소개해 드리려고 해요. 혹시 병원에 자주 오기 힘든 분이 계시다면 이 글이 도움이 되실 수도 있을...
아카이브 요약
이 페이지의 역할
연세정원치과 Yonsei JW Dental Clinic at Gangnam의 네이버 블로그 원문을 보존한 아카이브 페이지입니다. 치과선택 카테고리의 개포동 앞니 사이 공간 및 덧니 교정을 원한다면 글을 통해 병원의 한국어 정보 제공 방식과 진료 관련 안내 톤을 확인할 수 있습니다.
개포동 앞니 치아교정을 인비절라인으로 하는 곳 알아본다면

개포동 교정치과
안녕하세요. 교정치과 연세정원치과의 윤정원 대표원장입니다.
오늘은 저희 치과에서 인비절라인으로
앞니 사이 벌어진 공간과 덧니를
교정한 케이스를 소개해 드리려고 해요.
혹시 병원에 자주 오기 힘든 분이 계시다면
이 글이 도움이 되실 수도 있을 것 같네요.
인비절라인, 이런 분께 추천해요!
개포동 교정 인비절라인의 가장 큰 장점은
내원 횟수를 확 줄일 수 있다는 점이에요.
여러 세트의 장치를 한 번에 받아가서
주의사항만 잘 지켜 착용하면,
앞니 사이 공간 및 덧니 교정을 위해서
최소한의 방문만으로도
만족스러운 교정 효과를 얻을 수 있거든요.
그래서 군인이나 유학생처럼
병원에 자주 오기 힘든 분들이 많이 선택하곤 해요.
짧은 기간 안에 끝낸 주한미군 환자분의 교정 이야기
이번에 교정을 받으신 분은
20대 초반의 주한미군 환자분이었어요.
6개월 후에 다른 나라로 근무지를 옮기게 되셨는데,
출국 전에 가능한 만큼 한국에서 치료를 끝내고 싶어 하셨죠.
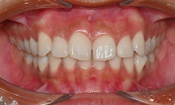
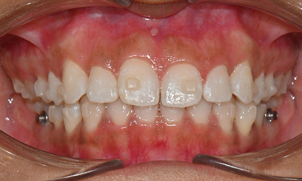
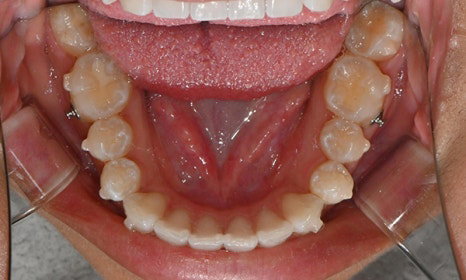
치아 상태는 어땠냐면요:
위아래 앞니 사이에 공간이 벌어져 있었어요.
앞니가 삐뚤빼뚤한 덧니도 있었죠.
윗니와 아랫니가 너무 깊게 맞물리는
과개교합이 있었어요.
왼쪽 아래 작은어금니가 90도 돌아가 있었는데,
이로 인해 왼쪽 치아 배열과 교합이 좋지 않았죠.

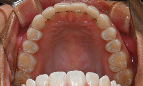
개포동교정치과




초진시 구내사진 (2025. 3.31)
사실 6개월 안에
돌아간 어금니까지 완벽하게 맞추기에는
시간이 부족했어요.
하지만 환자분께서 가장 신경 쓰셨던 부분은
바로 앞니 사이의 벌어진 공간이었기 때문에,
이번 교정에서는
치아 사이 공간, 치아 배열,
그리고 과개교합을 개선하는 것을
목표로 잡았답니다.
치료 과정과 결과
앞니 사이 공간 및 덧니 교정을 위해서
총 19개의 장치를 사용했는데,
아래 치아 배열은 12단계 만에 끝났어요.
남은 7단계 동안 돌아간 작은 어금니 배열도
조금이라도 맞추고 싶었지만,
시간 제약상 장치 한 개를
5일씩 착용해야 하는 상황이라
충분한 치아 이동을 기대하긴 어려웠어요.
그래서 이는 치료 목표에서 제외하기로 결정했죠.
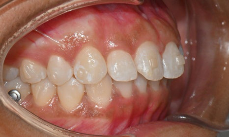
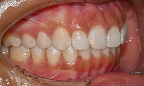
인비절라인

개포동 교정치과




장치 착용 2달 후 사진 (2025.6)
교정을 시작하고 두 달 뒤,
8번째 장치를 착용하고 있을 때 찍은 사진을 보면
치아 배열도 많이 좋아졌고, 공간도 거의 닫혔어요.

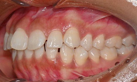
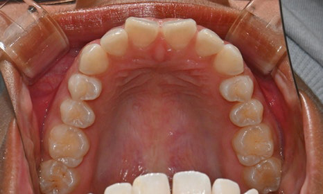
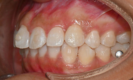
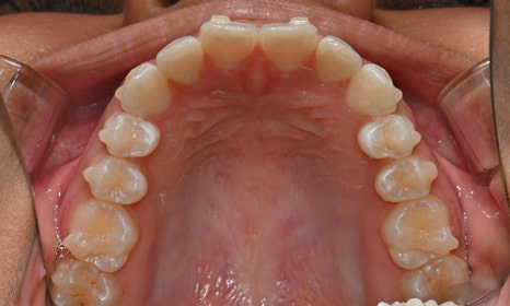
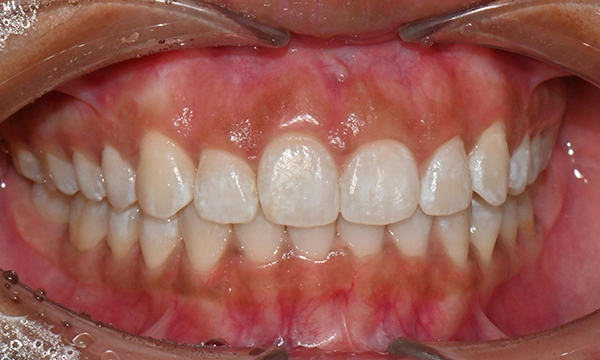
개포동 교정치과




교정 마무리 후 사진 (2025.8)
최종적으로 교정을 마무리한 후에는
위아래 치아 배열이 훨씬 가지런해졌고,
깊게 물렸던 과개교합도 크게 개선되었어요.
왼쪽 작은 어금니는 목표에서 제외했던 만큼,
아직 완벽하게 교합이 맞지는 않았지만,
치료 자료를 전달해 드리고 추후 본국으로 돌아가서
남은 치료를 이어서 받기로 하셨답니다.
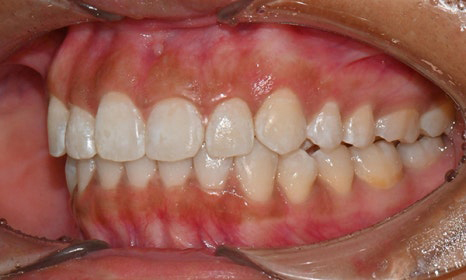
한 가지 더:
오른쪽 위 앞니는
원래도 잇몸이 조금 내려가 있었어요.
그래서 교정을 끝내면 좌우 잇몸 높이가
다를 수 있다는 점을 미리 말씀드렸고요.
나중에 치은성형술로 잇몸 높이를 맞추면
더 예뻐 보일 거라고 추천해 드렸어요.


이렇게 약 4개월 동안 총 5번만 병원에 오셔서
교정 치료를 끝내셨어요.
마지막으로 위아래 앞니
고정식 유지 장치와 비베라 유지 장치를
착용한 후 출국하셨답니다.

연세정원치과의원은 삼성역, 학여울역, 대치역, 한티역에서 모두 가까워
삼성동, 대치동, 도곡동, 개포동, 일원동, 역삼동, 잠실에서 내원하시기에 매우 편리합니다.
대치동 우성아파트 사거리 BMW 옆 건물
(스타벅스/삼성스토어 건너편)
대치동 교정치과 연세정원치과는
주차가 편리하며 무료입니다
상담 및 문의 : 02-501-2879
더 보기
이 병원의 공개 콘텐츠를 계속 살펴보세요
출처 아카이브로 돌아가 더 많은 글을 보거나, 병원 프로필로 이동해 다른 공개 채널도 함께 비교해보세요.