연세정원치과
대치동 치경부 레진 & 중년교정 & 치아미백으로 자연스러운 미소를!
중년의 치아관리, 치아교정 및 치경부 레진 안녕하세요. 대치동 교정치과 연세정원치과 대표원장 윤정원 입니다. 중장년 교정치료는 최근 꾸준히 수요가 증가하고 있는 분야로, 과거와 달리 나이가 있다고 해서 교정이 어렵다는 인식은 점차 사라지고 있습니다. 대한치아교정학회에서 20~70대 598명을 대상으로 실시한 설...
아카이브 요약
이 페이지의 역할
연세정원치과 Yonsei JW Dental Clinic at Gangnam의 네이버 블로그 원문을 보존한 아카이브 페이지입니다. 치아교정 카테고리의 대치동 치경부 레진 & 중년교정 & 치아미백으로 자연스러운 미소를! 글을 통해 병원의 한국어 정보 제공 방식과 진료 관련 안내 톤을 확인할 수 있습니다.

중년의 치아관리, 치아교정 및 치경부 레진
안녕하세요. 대치동 교정치과 연세정원치과 대표원장 윤정원 입니다.
중장년 교정치료는 최근 꾸준히 수요가 증가하고 있는 분야로, 과거와 달리 나이가 있다고 해서 교정이 어렵다는 인식은 점차 사라지고 있습니다. 대한치아교정학회에서 20~70대 598명을 대상으로 실시한 설문조사에서 '치아 교정에 대해서 생각해본 적이 있다'라고 대답한 비율이 40대 46.2%, 50대 45.1%, 60대 35.2%, 70대 24%로 나타났습니다. 예전엔 “이미 나이도 있고, 나이 들어서 교정을 하면 치아 이동이 잘 안 된다”고 생각하던 분들도 많았지만, 실제로 중요한 것은 중년인지 장년인지가 아니라 치아와 잇몸 상태가 치료를 버틸 수 있는지, 그리고 교정으로 얻을 수 있는 이득이 있는지 입니다.
중년 교정이 필요한 이유
성인 환자에서 교정 치료를 고려하는 가장 큰 이유는 심미적인 만족뿐 아니라 기능적인 개선에 있습니다. 장기간 부정교합 상태가 유지되면 특정 치아나 부위에 저작력이 집중되기 쉬워서, 치아가 마모되거나 잇몸뼈가 내려가거나 뿌리가 흡수되어 짧아질 수 있습니다. 교정치료를 통해 교합의 균형을 회복시켜주면 저작력의 분산이 가능해져서, 장기적으로 봤을 때 치아를 좀더 건강하게 오래 사용할 수 있게 됩니다.
또한 치열이 불규칙하면 구강 위생 관리가 어렵고, 치태와 치석 관리가 어려워서 치주염(잇몸병)이 심해질 수 있습니다. 치아 교정 후 치열이 정돈되면 칫솔질이나 치실 사용 등이 용이해져서 잇몸병의 진행을 억제하는데 유리합니다.
그리고 교정 치료로 인해 자연스러운 치열과 조화로운 미소선을 확보할 수 있어 사회적, 심리적 만족도 또한 높아집니다.
교정 치료 가능 여부의 평가
중장년 환자에서 교정치료 계획을 수립할 때 가장 핵심적인 요소는 다음과 같습니다.
-
치주 상태의 평가
-
치주염이 없는지, 잇몸뼈의 높이는 어떠한지 등을 먼저 확인해야 합니다.
-
필요시 스케일링이나 잇몸치료 등의 선행 치료가 필요할 수 있습니다.
- 보철물 및 기존 치료 이력
-
크라운, 브릿지, 임플란트 등이 이미 존재하는 경우 치료 계획이 복잡해질 수 있으나 대부분은 치아가 움직일 수 있는 이동 방향과 및 교합 상태를 고려하여 치료가 가능합니다.
-
필요 시 교정 후 재보철이 필요할 수 있으므로 계획 단계에서부터 기능과 심미를 종합적으로 고려해야 합니다.
- 턱관절 상태
- 이갈이, 개구제한, 통증 등이 있는 경우 교정 치료 계획과 교합의 변화가 턱관절에 미치는 영향을 고려해야 합니다.
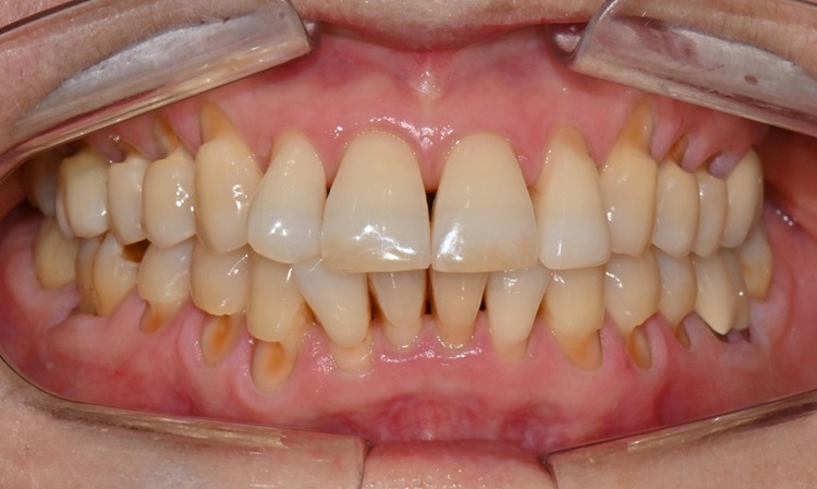
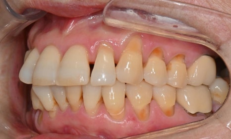
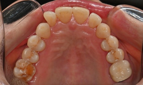
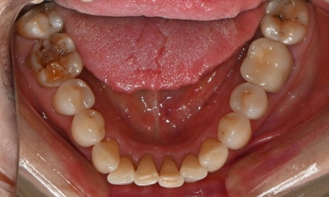
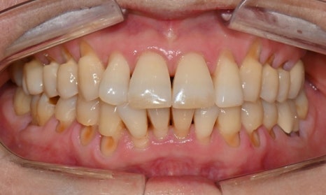
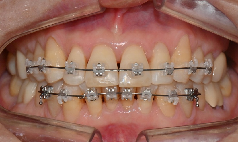
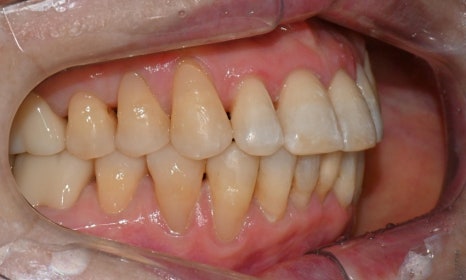
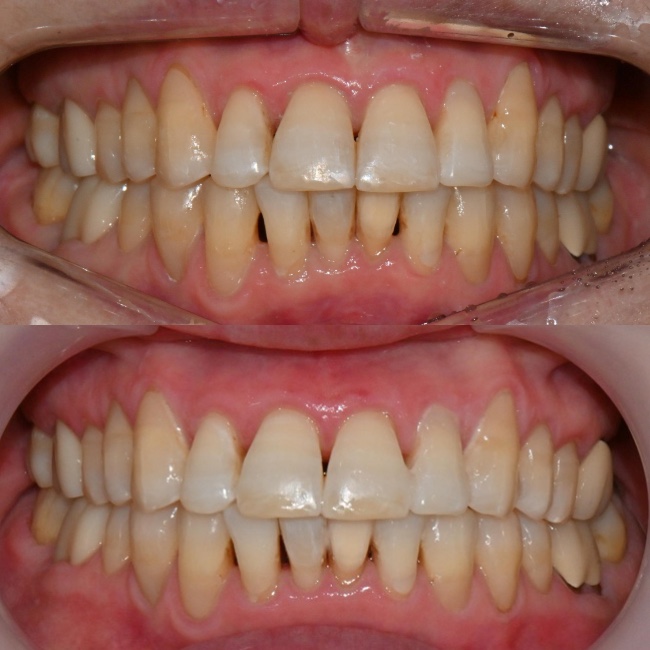
본 환자는 70세 여환으로 가만히 입을 다물고 있을 때 화난 것 처럼 보인다고 해서 튀어나온 앞니를 조금 넣고 싶다는 주소로 내원하셨습니다. 전체적인 치아 및 잇몸 상태를 검진해본 결과, 마모되어 깨진 치아도 있었고, 치경부(치아와 잇몸 사이 경계 부위)가 마모되어 파여 있는 부위도 많았습니다.

2025.2.3. 초진


2025.2.3. 초진


2025.2.3. 초진
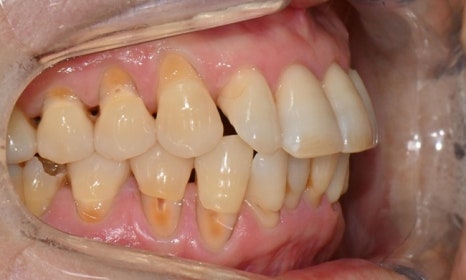
교정 치료를 시작하기 전에 위아래 깨진 어금니는 보철 치료를 시행하였고, 치경부는 레진 치료를 시행하였습니다. 거의 뿌리의 신경관 근처까지 파여있던 치아가 치경부 레진 치료로 자연스럽게 수복이 되었습니다.


치경부 레진 치료 전후


치경부 레진 치료 전후
중장년과 노년 환자들은 전신적으로 일어나는 노화 현상과 함께 잇몸뼈가 약해지고, 충치 및 치주 질환 등으로 빠진 치아도 많고 보철물도 많기 때문에 전반적인 교정 치료를 통해 교합 관계를 변화시키기 힘든 경우가 있습니다. 또한 교정 기간이 길어질수록 치아와 잇몸뼈에 무리가 많이 가게 됩니다. 본 환자 역시 교합 관계를 변화시키면서까지 무리하게 돌출을 해소하기보다는, 가능한 기존의 어금니 교합 상태는 유지하면서 심미적으로 중요한 부위인 앞니에 한정된 심미적 치료를 진행하기로 결정하였습니다.

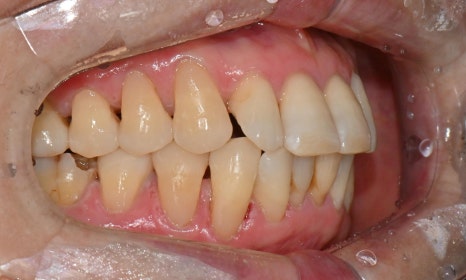
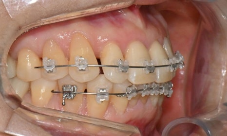
치료 2개월 후


치료 2개월 후
치료 2개월 후 환자분께서 가장 고치고 싶어하셨던 오른쪽 앞니가 벌써 배열이 가지런하게 변한 것을 확인할 수 있습니다.

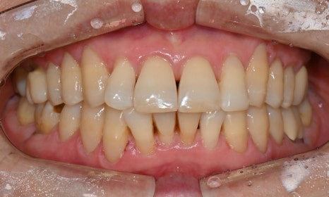
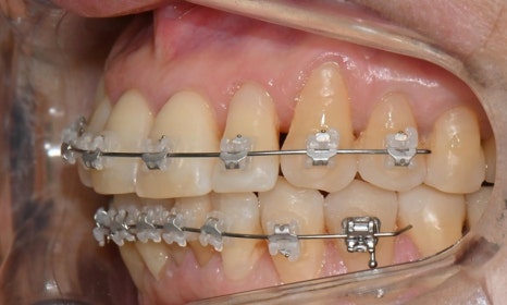
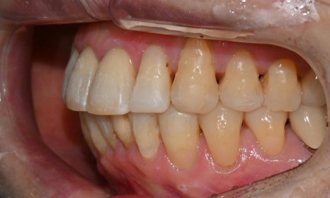
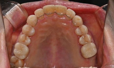
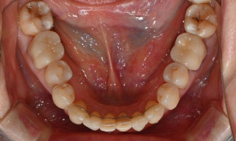
교정 치료 마무리 후


교정 치료 마무리 후


교정 치료 마무리 후
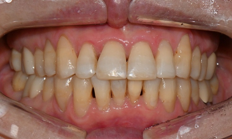
8개월 후 교정 치료가 마무리되었으며, 환자분께서 치아가 예쁘게 마무리되셨다며 매우 만족하셨습니다. 치간 삭제를 통해 black triangle도 일부 개선되었습니다. 미백 치료에도 관심이 있으셔서 2주 뒤 내원하셔서 미백 치료도 시행하셨습니다.

치료 전후 비교

미백치료 전후

중년 이후 교정치료는 단순히 치아 배열을 예쁘게 만드는 것에 그치지 않고, 앞으로의 치아 수명과 구강건강을 결정짓는 중요한 치료가 될 수 있습니다. 정확한 검사와 치주 상태 평가를 통해 현재 상황에 맞는 계획을 세운다면, 나이에 관계없이 충분히 안정적인 결과를 기대할 수 있습니다. 치아와 잇몸을 평생 잘 사용하기 위해 교정을 고려하고 있다면, 지금이 가장 빠른 시점입니다. 전문적인 상담을 통해 자신에게 맞는 치료 방향을 확인해보시는 것을 권장합니다.
대치동 교정치과 연세정원치과의원에서는 치아교정을 위해 3D 구강스캐너인 iTero Lumina, 성장판 검사, 모르페우스 안면스캐너를 통한 치료 전후 시뮬레이션 등 필요한 최신의 장비를 모두 보유하고 있어 더욱 정밀하고 체계적으로 치아교정을 진행하실 수 있는 장점이 있습니다.
아마도 돌출입, 덧니, 부정교합, 주걱턱 등으로 인해 교정을 고려하고 계시는 분들께서는 검색을 통해 많은 정보를 이미 습득하고 계실텐데요. 그렇더라도 실제로 장치별로 비교를 해보고 자세한 설명을 듣는다면 결정하시는데 큰 도움이 되실 것입니다.
상담시에는 인비절라인, 클라리티, 클리피씨 등 다양한 장치를 직접 눈으로 비교해 보시면서 장단점에 대해서 자세한 설명을 들으실 수 있으니 부담없이 전화 문의 또는 방문하여 상담 받아보시기를 권유해 드립니다. 연세정원치과는 삼성역, 학여울역, 대치역, 한티역에서 모두 가까워 삼성동, 대치동, 개포동, 도곡동, 일원동, 역삼동, 잠실 등에서 내원하시기에 매우 편리합니다.
대치동 우성아파트 사거리 BMW 옆 건물
(스타벅스/삼성스토어 건너편)
대치동 교정치과 연세정원치과는
주차가 편리하며 무료입니다
상담 및 문의 : 02-501-2879
더 보기
이 병원의 공개 콘텐츠를 계속 살펴보세요
출처 아카이브로 돌아가 더 많은 글을 보거나, 병원 프로필로 이동해 다른 공개 채널도 함께 비교해보세요.