연세정원치과
고등학생 인비절라인 교정|앞니 치아배열 · 과개교합
인비절라인 앞니교정 - 연세정원치과 안녕하세요. 연세정원치과 대표원장 윤정원 입니다. 오늘은 앞니가 고르지 않고 약간의 과개교합이 있어 내원한 여자 고등학생의 교정 케이스를 소개해드리려고 합니다. 외관상 큰 문제나 돌출 소견은 없었지만, 앞니 배열이 고르지 않아 웃을 때 신경이 쓰인다는 점을 주된 고민으로 이야기해주었...
아카이브 요약
이 페이지의 역할
연세정원치과 Yonsei JW Dental Clinic at Gangnam의 네이버 블로그 원문을 보존한 아카이브 페이지입니다. 인비절라인 카테고리의 고등학생 인비절라인 교정|앞니 치아배열 · 과개교합 글을 통해 병원의 한국어 정보 제공 방식과 진료 관련 안내 톤을 확인할 수 있습니다.

인비절라인 앞니교정 - 연세정원치과
안녕하세요. 연세정원치과 대표원장 윤정원 입니다.
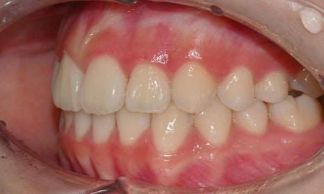
오늘은 앞니가 고르지 않고 약간의 과개교합이 있어 내원한 여자 고등학생의 교정 케이스를 소개해드리려고 합니다. 외관상 큰 문제나 돌출 소견은 없었지만, 앞니 배열이 고르지 않아 웃을 때 신경이 쓰인다는 점을 주된 고민으로 이야기해주었습니다.





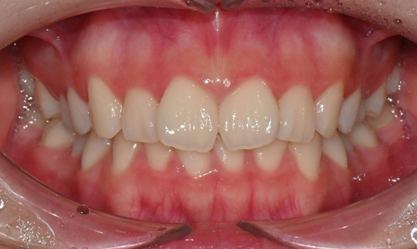
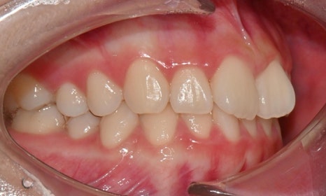
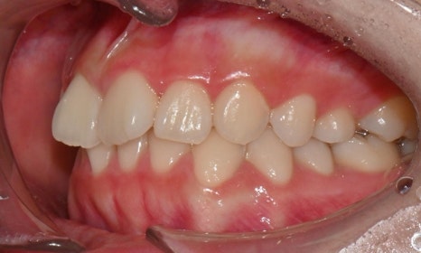
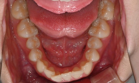
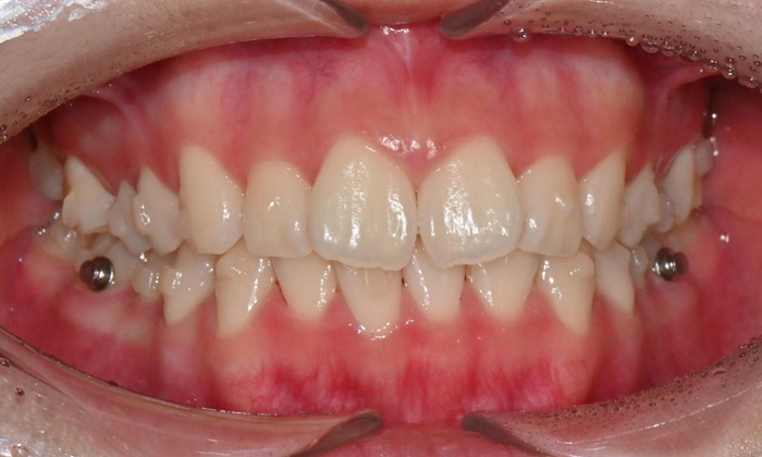
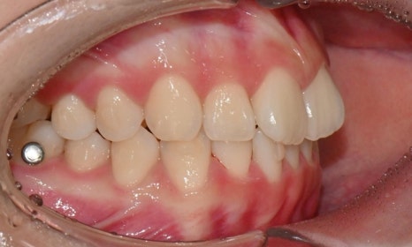
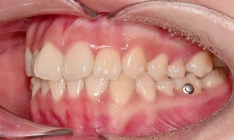
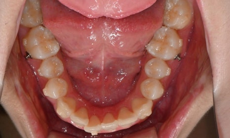
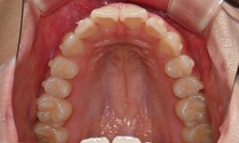
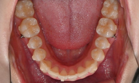
2025.3. 초진 (앞니 경미한 총생과 과개교합) - 연세정원치과
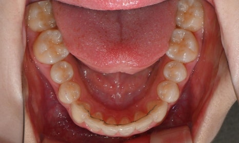
정밀진단 결과 위아래 앞니가 약간 겹쳐 있어 배열이 고르지 않은 상태였으며, 약간의 과개교합이 동반된 상태였습니다. 다만 골격적인 문제나 안모 불균형은 없었고, 측면에서도 돌출감 없이 비교적 안정적인 안모를 유지하고 있었습니다.
이러한 점을 종합적으로 고려해보았을 때 치아 배열의 개선과 교합 조정을 중심으로 한 비발치 교정 치료가 적합한 케이스였습니다. 또한 환자가 고등학생이라는 점, 그리고 학업과 일상 생활에 대한 부담을 최소화하고 싶다는 보호자의 의견을 반영하여, 인비절라인으로 선택하게 되었습니다.
이번 케이스는 인비절라인 Comprehensive로 치료를 진행하였으며, 치아 이동은 과도하지 않게 단계적으로 진행하기 위해 치간삭제를 최소한으로 적용하며 공간을 확보하는 방향으로, 총 33단계의 장치를 통해 치아 이동을 계획하였습니다.





치료 시작 3개월 후 - 연세정원치과





치료 시작 6개월 후 - 연세정원치과
치료 과정 중 환자는 장치 착용 시간을 매우 잘 지켜주었고, 내원 시마다 계획한 치아 이동이 비교적 정확하게 이루어지는 모습을 보였습니다. 이처럼 인비절라인 치료의 경우 환자의 협조도가 치료 결과에 큰 영향을 미치기 때문에, 이번 케이스에서는 환자의 성실한 장치 착용이 좋은 결과를 만드는 데 중요한 역할을 했다고 볼 수 있습니다.





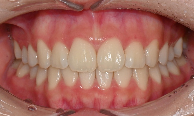
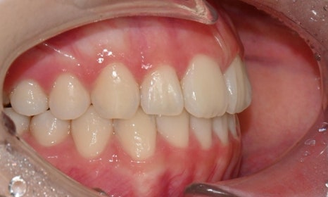
치료 시작 8개월 후 마무리 - 연세정원치과
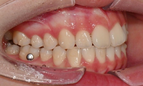
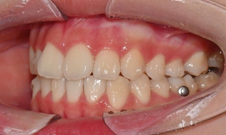
인비절라인 컴프리헨시브 치료과정 - 연세정원치과
인비절라인 컴프리헨시브 치료 과정 - 연세정원치과
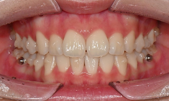
치료 후 전치부 배열이 정리되면서 웃을 때 스마일 라인도 한층 자연스럽게 개선되었습니다. 과개교합 역시 기능적으로 안정된 상태로 마무리할 수 있었습니다. 치료 후반부에 아주 경미한 중심선 차이가 남아 추가 장치를 통한 마무리를 권유드렸으나, 환자가 고2 학생으로 학업 일정이 바쁜 시기였고 현재 결과에 대해 본인과 보호자 모두 충분히 만족하여 이 상태에서 치료를 종료하기로 하였습니다.


치료 전후 스마일 라인 - 연세정원치과
무엇보다 이 환자는 8개월 동안의 치료 전반에 걸쳐 장치 착용을 매우 잘 지켜준 성실한 학생이었고, 그 결과 비교적 33단계의 효율적인 장치 갯수만으로도 안정적이고 만족스러운 결과를 얻을 수 있었습니다.
성장기 학생들의 교정 치료에서는 학업에 대한 부담, 외모 변화에 대한 걱정, 그리고 치료 기간이 중요한 고려 요소가 됩니다. 이번 케이스처럼 비교적 경미한 과개교합과 전치부 총생의 경우, 인비절라인은 일상생활과 학교생활에 큰 지장 없이 교정을 진행할 수 있는 좋은 방법이 될 수 있습니다. 또한 환자의 협조도가 좋은 경우, 비교적 효율적인 치료 계획으로도 안정적인 결과를 기대할 수 있습니다.

강남구 대치동 연세정원치과
치아교정의 성공은 교정의사의 경험과 숙련도에 크게 좌우됩니다. 파노라마 엑스레이, 3D 영상, CBCT 촬영 등 최신 장비를 통해 치아 위치, 턱 구조, 연조직 등을 정밀하게 분석하면, 발치 여부뿐 아니라 교정 계획 전체를 보다 정확하게 세울 수 있습니다. 발치/비발치 치료 계획이 적절히 이루어지지 않을 경우 입 모양이 과도하게 들어가거나 개선이 부족해 만족도가 떨어질 수 있으므로, 담당 치과의사가 책임지고 치료의 계획 단계부터 완료가 될 때까지 관리할 수 있는 병원을 선택하는 것이 중요합니다.
치아교정을 위해 치과를 고르신다면, 아무래도 경험이 많은 의사에게 진행하는 것을 추천드려요.
연세정원치과 윤정원 대표원장님은 16년 이상을 교정진료에 전념하여 지금까지 6,000명이 넘는 다양한 교정진료 케이스를 하셨습니다. 연세대학교 치과병원 출신의 교정과 치의학박사이며 외래교수이시기도 한데요. 대표원장님이다 보니 병원에 늘 상주하시고 중간에 담당의사가 변경되거나 하는 경우도 없으니 마음 편하게 치료하실 수 있을거에요. 아무래도 예약이 자유롭고 응급상황에 대처가 더 나은 장점도 있습니다.

대치동 교정치과 윤정원 원장
오랜 교정진료 경험으로 타 치과에서 주걱턱 수술 진단을 받았지만, 비수술 치아교정으로 치료가 가능한 고난이도 케이스 경험도 많으셔서 교정을 원하시는 분들이 어떤 경우라도 좋은 진료를 받으실 수 있습니다.
또한, 일반진료를 담당하고 계시는 치과보철과 전문의 안지호 원장님이 계시어, 발치나 충치 등 교정을 진행하면서 발생할 수 있는 치과 치료를 받기 위해 다른 치과에 방문해야 하는 번거로움 없이 저희 연세정원치과 한 곳에서 치료가 모두 가능하다는 장점이 있습니다. 따라서, 교정치료를 받기 위해 필요한 모든 것을 한 곳에서 해결할 수 있으며 수준 높은 진료를 선보인다고 할 수 있습니다.
시설면에서도 Panoramic X-ray, 낮은 방사선량의 3D CBCT, iTero Lumina 3D 구강스캔, Morpheus 3D 촬영을 통한 전후의 시뮬레이션, VUNO Med®-BoneAge™ (성장판 검사)를 활용한 자녀들의 성장량에 따른 교정시기 결정 등 최신 장비들을 이용한 7단계의 체계적인 진단 시스템을 갖추고 있습니다.
더 나아가 연세정원치과에서는 진료 시 사용하는 기구에 대한 멸균과 더불어 노바케어 시스템을 활용하여 무균진료수를 사용하기 때문에 진료수에 대한 걱정도 하실 필요가 없으며, 전열교환기를 활용한 효율적인 공기순환시스템 및 이중필터(헤파필터 및 프리필터)를 활용한 안전한 공기청정시스템으로 쾌적한 실내 공기를 유지합니다.
치아교정을 하려고 고민하시고 계시다면, 더 이상 미루지 마시고 편하게 연세정원치과에 문의해 주시면 자세한 상담을 진행해 드리도록 하겠습니다. 연세정원치과의 치아교정은 정밀진단비, 월비 등의 비용이 포함(단, 유지장치 비용 제외)되어 추가적인 비용 발생에 대한 걱정도 하실 필요가 없습니다. 또한, 목돈이 한번에 나가는 부담을 줄이기 위해 분납제도를 실시하고 있으니 더욱 매력적이라고 할 수 있습니다.
대치동 교정치과 연세정원치과에 방문하시면 별도의 비용없이 간단한 구강검진을 통해 현재 상태를 정확히 파악하실 수 있고, 교정진료 시 다양한 교정장치에 대한 설명도 들으실 수 있으니 편하게 상담문의해 주시기 바랍니다.
상담시에는 클라리티, 클리피씨, 인비절라인 등 다양한 장치를 직접 눈으로 비교해 보시면서 장단점에 대해서 자세한 설명을 들으실 수 있으니 부담없이 전화 문의 또는 방문하여 상담 받아보시기를 권유해 드립니다.
연세정원치과는 삼성역, 학여울역, 대치역, 한티역에서 모두 가까워 삼성동, 대치동, 개포동, 도곡동, 일원동, 역삼동, 잠실 등에서 내원하시기에 매우 편리합니다.
대치동 우성아파트 사거리 BMW 옆 건물
(스타벅스/삼성스토어 건너편)
대치동 교정치과 연세정원치과는
주차가 편리하며 무료입니다
상담 및 문의 : 02-501-2879
더 보기
이 병원의 공개 콘텐츠를 계속 살펴보세요
출처 아카이브로 돌아가 더 많은 글을 보거나, 병원 프로필로 이동해 다른 공개 채널도 함께 비교해보세요.