연세정원치과
과개교합과 손상된 앞니, 심미와 기능을 함께 회복한 앞니 심미보철 케이스
앞니 심미보철 : 연세정원치과 안녕하세요! 강남에 위치한 대치동 연세정원치과입니다. 오늘은 위아래 앞니 심미보철 치료 케이스를 공유하고자 합니다. 2025-11-28 초진 : 연세정원치과 이 환자분은 영국에서 오신 40대 초반 남성분으로, 선천적으로 턱이 작아 어린 시절 턱을 앞으로 이동시키는 악교정 수술과 함...
아카이브 요약
이 페이지의 역할
연세정원치과 Yonsei JW Dental Clinic at Gangnam의 네이버 블로그 원문을 보존한 아카이브 페이지입니다. 충치 및 임플란트 카테고리의 과개교합과 손상된 앞니, 심미와 기능을 함께 회복한 앞니 심미보철 케이스 글을 통해 병원의 한국어 정보 제공 방식과 진료 관련 안내 톤을 확인할 수 있습니다.

앞니 심미보철 : 연세정원치과
안녕하세요! 강남에 위치한 대치동 연세정원치과입니다. 오늘은 위아래 앞니 심미보철 치료 케이스를 공유하고자 합니다.

2025-11-28 초진 : 연세정원치과
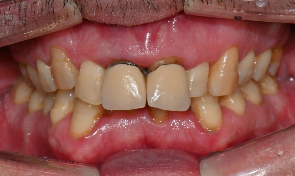
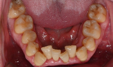
이 환자분은 영국에서 오신 40대 초반 남성분으로, 선천적으로 턱이 작아 어린 시절 턱을 앞으로 이동시키는 악교정 수술과 함께 약 6년 간 치아 교정을 받으셨다고 하셨습니다. 그러나 교정 치료가 충분히 만족스럽게 이루어지지 않았고, 이후 사고로 앞니를 다쳐 보철 치료를 받게 되었습니다. 시간이 지나면서 잇몸이 퇴축되어 앞니 보철물의 금속 부분이 노출되었으며, 제 2급 부정교합 및 불규칙한 치아 배열로 인해 심미적으로 정돈되지 못한 상태로 오랜 기간 지내오셨습니다. 이제는 앞니를 보다 아름답게 개선하고 싶다는 바람으로, 멀리 영국에서 한국까지 내원해 주셨습니다.





2025-11-28 초진 : 연세정원치과
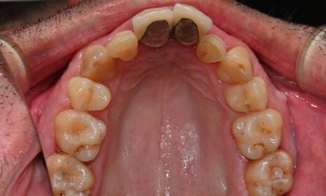
진단 결과, 교합시 하악 전치가 거의 보이지 않을 정도로 깊은 교합을 보이고 있었으며, 어린 시절 외상을 입었던 앞니는 치아 뿌리 부근에 광범위한 염증이 관찰되어 장기적인 유지가 어려운 상태였습니다. 이에 앞니 두 개는 발치를 결정하였고, 환자의 비교적 젊은 나이를 고려하여 가능한 한 최대한 치아를 보존하기 위해 앞니 부위 임플란트를 고려했습니다. 그러나 해당 부위 골 손실이 매우 심했고, 외국인 환자로 장기간 내원이 어려운 상황이었기 때문에, 광범위한 골이식을 동반한 임플란트 치료 보다는 비교적 짧은 기간 내에 기능과 심미를 회복할 수 있는 브릿지 보철 치료를 계획하였습니다.
또한 하악 전치가 혀 쪽으로 과도하게 쓰러져 있어 보철적으로 위치를 회복하기에는 한계가 있어, 발치 후 후 상하악 모두 브릿지 보철로 치료 계획을 수립하였습니다. 하악 전치를 원래 자리에 위치시킬 경우 뼈가 너무 올라와 있었기 때문에, 발치 후 아래 앞니 부위 골성형도 시행하기로 하였습니다.
이처럼 광범위한 앞니 수복을 진행할 때에는, 치료에 앞서 환자와 충분한 상담을 하는 것이 필수적입니다. 환자의 성별, 나이, 선호도에 따라 치료계획이 달라질 수 있으며, 충분한 사전 상담과 잠재적 위험 요인의 예측을 통해 환자가 최대한 만족할 수 있는 보철 결과를 얻어낼 수 있도록 합니다.
따라서 첫 날에는 진단을 위한 다양한 임상 사진 촬영과 모형 제작, 상담만 진행하였습니다. 이 후 3D 모델링을 활용한 진단모형으로 환자분에게 직관적으로 디자인을 보여드렸습니다. 이렇게 하면 모호한 설명보다 환자와의 소통이 원활해지고, 환자도 직접 모형을 확인하며 원하는 디자인을 보다 명확하게 전달할 수 있습니다.
진단 모형을 바탕으로 1차 디자인 상담을 진행하였습니다. 그 후 브릿지 보철을 위해 많이 삭제해야 하는(깎아야 하는) 치아에는 신경치료를 하고, 일차적인 임시 보철물을 만들어드렸습니다. 이렇게 만든 임시 치아를 실제 입에 넣어보며 다시 한번 상담을 진행하는데요. 모형에서 볼 때와 입안에 착용했을 때 느낌이 조금 다를 수 있기 때문입니다. 이 과정에서 환자의 얼굴이나 미소와 조화로운지, 발음이나 교합 시 불편함은 없는지 꼼꼼하게 확인하는 것이 필수적입니다. 이 환자분은 외국인이셨지만 치료에 매우 적극적이셨으며, 다행히 임시 치아를 오래 사용해볼 수 있었습니다. 1~2주간 직접 사용하며 관찰한 후, 디자인에 대한 최종 상담을 진행하고 최종 보철물을 제작하였습니다.
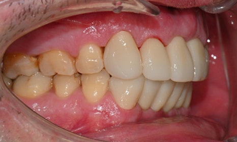
보철물의 단점 중 하나는 시간이 지나면서 잇몸이 내려가면, 인공치 아래에 공간이 생겨 음식물이 끼기 쉽다는 점입니다. 하지만 발치 후 즉시 보철을 진행하면, 인공치를 발치한 자리에 맞게 제작할 수가 있어서 추후 잇몸이 내려가더라도 인공치가 마치 자연치처럼 잇몸 안 깊숙이 자리하게 됩니다. 이 환자분의 경우에도 발치 직후 바로 수복하는 이점을 활용하여, 인공치를 모두 깊게 위치하게 제작해 문제를 최소화 하였습니다.





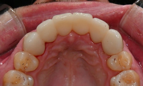
2026-1-7 최종 보철물 장착 : 연세정원치과
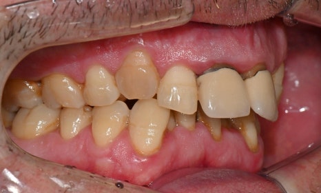
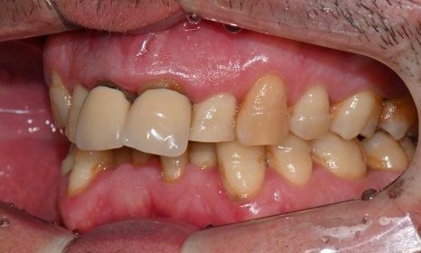
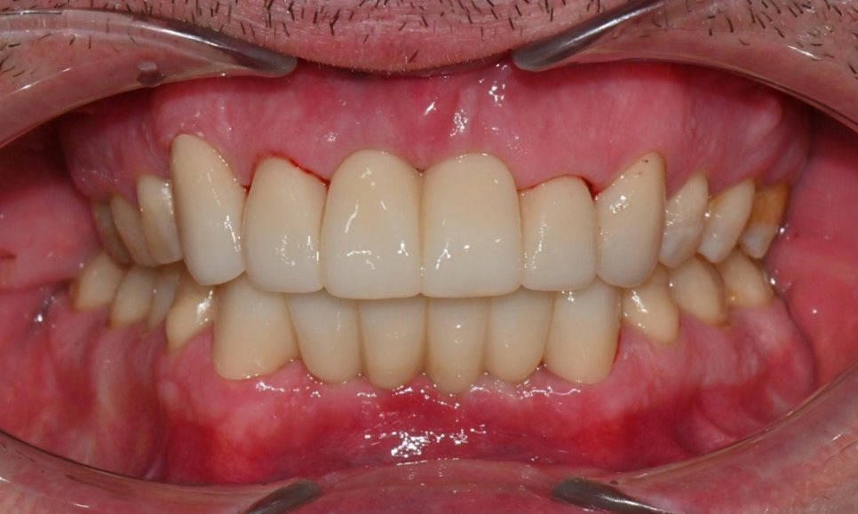
치료가 모두 마무리된 후, 환자분의 미소는 이전과 비교해 전반적으로 한층 더 안정적이고 조화로운 인상으로 개선되었습니다. 앞니의 길이, 형태, 배열이 아랫입술 곡선을 따라 형성되는 smile arc와 자연스럽게 조화를 이루면서, 웃을 때 과도한 긴장감 없이 부드러운 심미적 균형을 회복할 수 있었습니다. 기능적인 교합 안정성과 함께 심미적인 만족도 역시 높게 나타났으며, 환자분도 결과에 대해 매우 만족해하셨습니다.


치료 전후 미소시 사진 : 연세정원치과
앞니 심미보철은 단순히 치아 형태를 개선하는 치료가 아니라, 얼굴과 미소 전체의 조화를 고려해야 하는 치료입니다. 이번 증례에서는 진단 단계부터 임시 보철을 통한 검증, 최종 보철물 제작에 이르기까지 환자와의 충분한 소통을 바탕으로 디자인을 세밀하게 조정하였고, 그 결과 기능과 심미 모두에서 예측 가능하고 안정적인 결과로 치료를 마무리할 수 있었습니다. 환자 개개인의 조건과 니즈를 정확히 반영한 계획과 충분한 커뮤니케이션이 심미보철 치료에서 얼마나 중요한지를 다시 한번 확인할 수 있었던 케이스였습니다.

연세정원치과
"연세정원치과에서는 치과보철과 전문의이자 서울대학교 치과전문대학원 외래교수 안지호 원장님께서
다양한 임상경력을 바탕으로 완성도 높은 진료를 제공해 드리고 있으며, 철저하게 근거기반의 진료만을 진행합니다."

연세정원치과 보철과 전문의 안지호 원장
상담시에는 단일 임플란트, 브리지, 전체임플란트 등 임플란트 종류와 오스템, 스트라우만 등의 적합한 브랜드, 등급에 대해서 자세히 설명해 드리고 있으며, 디지털 검사를 통해 체계적인 치료 계획을 세워 드립니다. 여느 강남치과처럼 의사와의 상담이 채 몇 분 되지않아 알고 싶은 부분을 물어보지도 못하고, 실장과 진료를 상담하는 일은 없으시기 때문에 안심하고 편하게 방문해 주시기 바랍니다.
아마도 임플란트를 고려하고 계시는 분들께서는 강남임플란트 근처치과 검색을 통해 많은 정보를 이미 습득하고 계실텐데요. 그렇더라도 실제로 전문의와의 상담을 통해 자세한 설명을 듣는다면 결정하시는데 큰 도움이 되실 것입니다.
연세정원치과는 삼성역, 학여울역, 대치역, 한티역에서 모두 가까워 삼성동, 대치동, 개포동, 도곡동, 일원동, 역삼동, 잠실 등 강남에서 내원하시기에 매우 편리합니다.
대치동 우성아파트 사거리 BMW 옆 건물
(스타벅스/삼성스토어 건너편)
대치동 치과 연세정원치과는
주차가 편리하며 무료입니다.
상담 및 문의 : 02-501-2879
#과개교합 #손상된앞니 #심미보철 #염증 #브릿지 #보철 #smilearc #스트라우만임플란트 #연세정원치과 #대치동치과 #프리미엄임플란트 #강남임플란트 #임플란트치과추천
더 보기
이 병원의 공개 콘텐츠를 계속 살펴보세요
출처 아카이브로 돌아가 더 많은 글을 보거나, 병원 프로필로 이동해 다른 공개 채널도 함께 비교해보세요.