연세정원치과
치아 중심선 비대칭과 아랫입술 돌출 개선
비대칭과 돌출 개선 - 연세정원치과 안녕하세요! 강남구 대치동 연세정원치과 대표원장 윤정원입니다. 이번에 소개해드릴 케이스는 아랫입술 돌출과 치아 중심선 비대칭을 주소로 내원한 18세 남학생 환자입니다. 환자분께서는 멀리 홍성에서부터 교정 상담을 위해 내원해주셨답니다. (정말 감사한 일이고 더욱 잘 해야겠다라는 마...
아카이브 요약
이 페이지의 역할
연세정원치과 Yonsei JW Dental Clinic at Gangnam의 네이버 블로그 원문을 보존한 아카이브 페이지입니다. 치아교정 카테고리의 치아 중심선 비대칭과 아랫입술 돌출 개선 글을 통해 병원의 한국어 정보 제공 방식과 진료 관련 안내 톤을 확인할 수 있습니다.

비대칭과 돌출 개선 - 연세정원치과
안녕하세요! 강남구 대치동 연세정원치과 대표원장 윤정원입니다.
이번에 소개해드릴 케이스는 아랫입술 돌출과 치아 중심선 비대칭을 주소로 내원한 18세 남학생 환자입니다. 환자분께서는 멀리 홍성에서부터 교정 상담을 위해 내원해주셨답니다. (정말 감사한 일이고 더욱 잘 해야겠다라는 마음뿐이네요.)
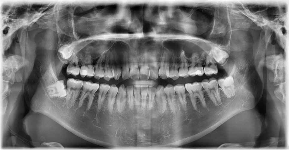
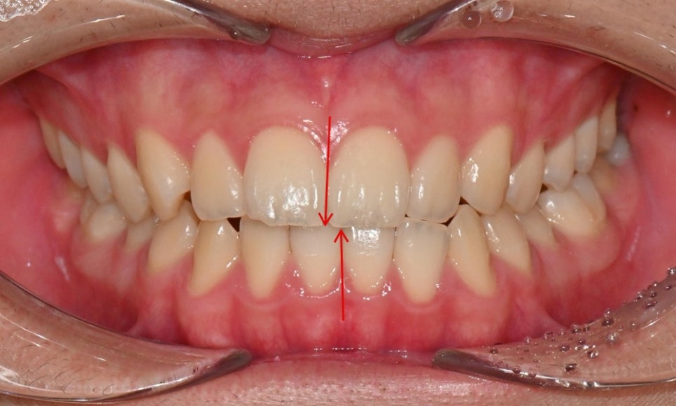
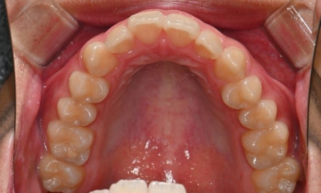
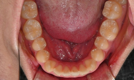
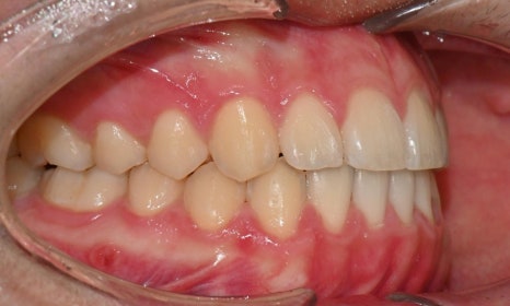
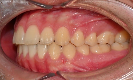
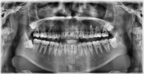
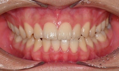
외관상으로는 아랫입술이 돌출되어 보이고 아래 치아가 좌측으로 치우치면서 치아 중심선(midline)이 맞지 않는 상태였습니다. 또한 환자는 어릴 적 넘어지면서 앞니가 깨졌던 외상 병력이 있었고, 그 영향으로 앞니 뿌리가 부분적으로 흡수된 상태였습니다.

2024.12. 초진 파노라마 엑스레이 - 연세정원치과





2024.12. 초진 구내사진 - 연세정원치과
정밀 검진 결과, 하악 치열이 좌측으로 틀어져 있었고 그로 인해 위아래 치아 중심선이 일치하지 않았습니다. 아래 치열이 전체적으로 전방 위치하여 아래 입술 돌출이 더 도드라져 보이는 상태였습니다. 그리고 상악궁이 하악궁보다 좁아서 앞니 부위 일부 반대로 물리는 치아 교합도 관찰되었습니다. 특히 외상 치아의 경우, 교정력 적용시 추가적인 염증성 치근 흡수 위험이 존재하기 때문에, 치료 중 지속적인 관찰이 필수적인 상황이었습니다.
검진 후 다음과 같은 계획으로 교정 치료를 진행했습니다.
-
아래 사랑니 발치
-
발치 공간을 활용하여 하악 치열을 우측으로 이동
-
치료 중 정기적인 앞니 X-ray 촬영을 통해 외상 치아의 치근 흡수 여부를 지속적으로 관찰





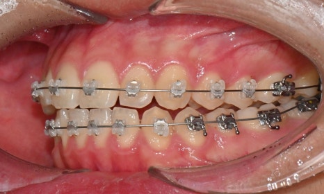
치료 시작 1달 후 - 연세정원치과





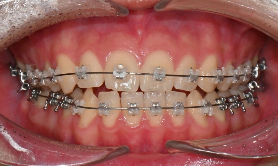
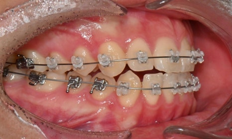
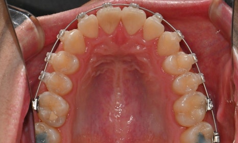
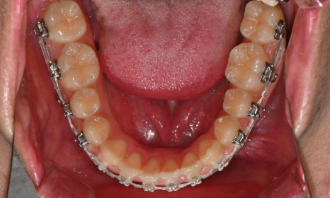
치료 시작 7개월 후 - 연세정원치과
치료 시작 7개월 후 사진으로, 치아 배열 후 아래 우측에 미니스크류를 식립하여 치아 중심선을 개선하는 중으로, 교합과 치아 중심선이 많이 개선된 것을 확인할 수 있습니다.





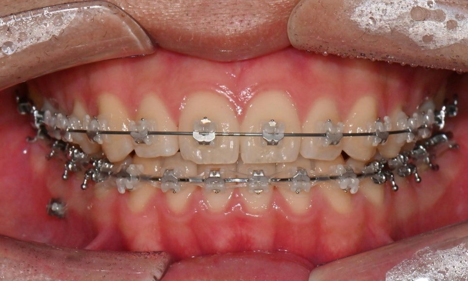
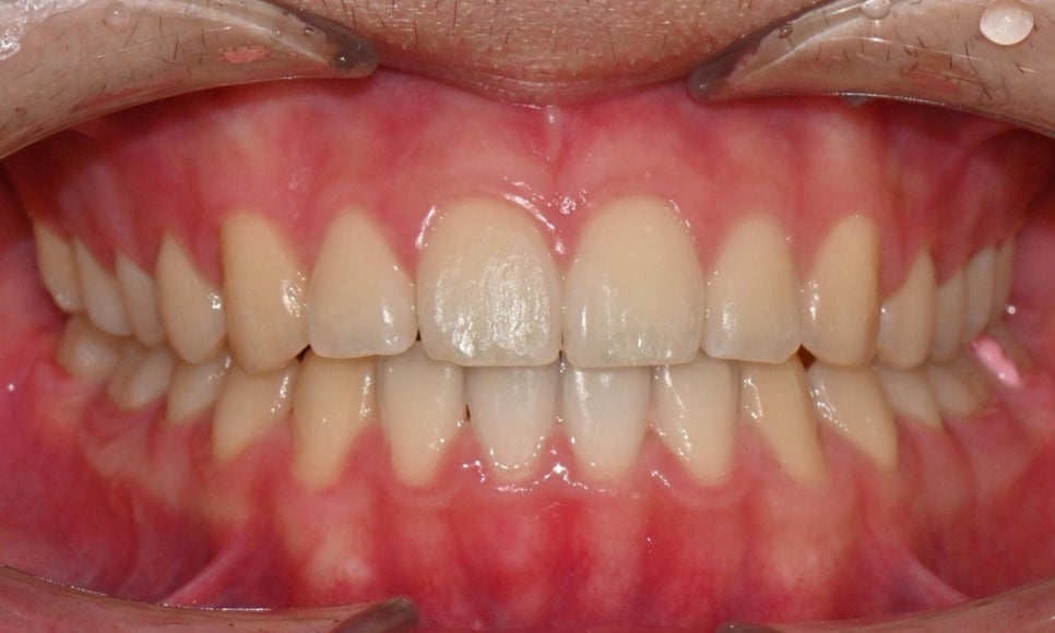
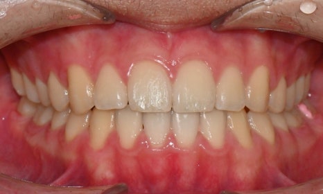
2026.1. 치료 종료 - 연세정원치과
약 1년 간의 교정 치료를 통해 어긋나 있던 치아 중심선이 자연스럽게 맞춰졌고, 중심선 비대칭이 개선 및 하악 아랫입술 돌출도 눈에 띄게 호전되었습니다. 무엇보다 치료 기간 동안 앞니의 치근 흡수는 추가적인 진행 없이 안정적으로 유지되었습니다.


치료 전후 파노라마 비교 - 연세정원치과
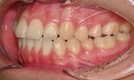
돌출을 조금 더 개선하는 것을 추천했으나, 환자가 갑자기 군 입대를 하게 되어 현 상태로 치료를 마무리하기로 하였습니다. 치료 전후 치아 위아래 중심선이 일치하며 좌우 어금니 교합도 향상되었습니다. 하악 치열의 후방 이동으로 아래 입술의 돌출도도 많이 개선되었습니다. 멀리서도 믿고 내원해주고, 치료 기간 동안 성실히 협조해준 환자분께 감사드리며 앞으로도 건강한 치아로 군 생활 잘 마치길 응원합니다 :)



치료 전후 비교 - 연세정원치과

대치동 연세정원치과
치아교정을 위해 치과를 고르신다면, 아무래도 경험이 많은 의사에게 진행하는 것을 추천드려요.
연세정원치과 윤정원 대표원장님은 16년 이상을 교정진료에 전념하여 지금까지 6,000명이 넘는 다양한 교정진료 케이스를 하셨답니다. 연세대학교 치과병원 출신의 교정과 치의학박사이자 외래교수이시고 한데요. 대표원장님이다 보니 병원에 늘 상주하시고 중간에 담당의사가 변경되거나 하는 경우도 없으니 마음 편하게 치료하실 수 있을거에요. 아무래도 예약이 자유롭고 응급상황에 대처가 더 나은 장점도 있습니다.
오랜 교정진료 경험으로 타 치과에서 주걱턱 수술 진단을 받았지만, 비수술 치아교정으로 치료가 가능한 고난이도 케이스 경험도 많으셔서 교정을 원하시는 분들이 어떤 경우라도 좋은 진료를 받으실 수 있습니다.

돌출입교정 - 연세정원치과
또한, 일반진료를 담당하고 계시는 치과보철과 전문의 안지호 원장님이 계시어, 발치나 충치 등 교정을 진행하면서 발생할 수 있는 치과 치료를 받기 위해 다른 치과에 방문해야 하는 번거로움 없이 저희 연세정원치과 한 곳에서 치료가 모두 가능하다는 장점이 있습니다. 따라서, 교정치료를 받기 위해 필요한 모든 것을 한 곳에서 해결할 수 있으며 수준 높은 진료를 선보인다고 할 수 있습니다.
시설면에서도 Panoramic X-ray, 낮은 방사선량의 3D CBCT, iTero Lumina 3D 구강스캔, Morpheus 3D 촬영을 통한 전후의 시뮬레이션, VUNO Med®-BoneAge™ (성장판 검사)를 활용한 자녀들의 성장량에 따른 교정시기 결정 등 최신 장비들을 이용한 7단계의 체계적인 진단 시스템을 갖추고 있습니다.
더 나아가 연세정원치과에서는 진료 시 사용하는 기구에 대한 멸균과 더불어 노바케어 시스템을 활용하여 무균진료수를 사용하기 때문에 진료수에 대한 걱정도 하실 필요가 없으며, 전열교환기를 활용한 효율적인 공기순환시스템 및 이중필터(헤파필터 및 프리필터)를 활용한 안전한 공기청정시스템으로 쾌적한 실내 공기를 유지합니다.
치아교정을 하려고 고민하시고 계시다면, 더 이상 미루지 마시고 편하게 연세정원치과에 문의해 주시면 자세한 상담을 진행해 드리도록 하겠습니다. 연세정원치과의 치아교정은 정밀진단비, 월비 등의 비용이 포함(단, 유지장치 비용 제외)되어 추가적인 비용 발생에 대한 걱정도 하실 필요가 없습니다. 또한, 일반진료과가 함께 있어 발치나 충치치료 등의 교정에 필요한 모든 치료가 한곳에서 가능하며 목돈이 한번에 나가는 부담을 줄이기 위해 분납제도를 실시하고 있으니 더욱 매력적이라고 할 수 있습니다.
대치동 교정전문치과 연세정원치과에 방문하시면 별도의 비용없이 간단한 구강검진을 통해 현재 상태를 정확히 파악하실 수 있고, 교정진료 시 다양한 교정장치에 대한 설명도 들으실 수 있으니 편하게 상담문의해 주시기 바랍니다.
상담시에는 클라리티, 클리피씨, 인비절라인 등 다양한 장치를 직접 눈으로 비교해 보시면서 장단점에 대해서 자세한 설명을 들으실 수 있으니 부담없이 전화 문의 또는 방문하여 상담 받아보시기를 권유해 드립니다.
연세정원치과는 삼성역, 학여울역, 대치역, 한티역에서 모두 가까워 삼성동, 대치동, 개포동, 도곡동, 일원동, 역삼동, 잠실에서 내원하시기에 매우 편리합니다.
대치동 우성아파트 사거리 BMW 옆 건물
(스타벅스/삼성스토어 건너편)
대치동 치과 연세정원치과는
주차가 편리하며 무료입니다.
상담 및 문의 : 02-501-2879
#치아교정 #돌출입교정 #안면비대칭교정 #비수술 돌출입교정 #비수술 안면비대칭교정 #돌출입 교정 전후 #비대칭 교정 효과 #무턱 돌출입 교정 #치아교정 얼굴형 변화 #중심선 안맞음 교정
더 보기
이 병원의 공개 콘텐츠를 계속 살펴보세요
출처 아카이브로 돌아가 더 많은 글을 보거나, 병원 프로필로 이동해 다른 공개 채널도 함께 비교해보세요.