서울오브치과병원
송파구 앞니 임플란트, 염증 있었던 자리도 가능할까?
🦷 앞니 발치 후 염증까지… 가능한 걸까? – 골다공증 주사 맞고 계신 60대 여성 환자분의 앞니 임플란트 성공 사례 안녕하세요. 서울오브치과병원입니다💚 오늘은 조금 까다로운 앞니 임플란트 케이스를 소개해드릴게요. 타 치과에서 앞니를 발치하신 뒤, 잇몸이 계속 붓고 고름이 나오는 상태로 저희 병원에 내원하셨고, 게...
🦷 앞니 발치 후 염증까지… 가능한 걸까?
– 골다공증 주사 맞고 계신 60대 여성 환자분의 앞니 임플란트 성공 사례
안녕하세요. 서울오브치과병원입니다💚
오늘은 조금 까다로운 앞니 임플란트 케이스를 소개해드릴게요.
타 치과에서 앞니를 발치하신 뒤,
잇몸이 계속 붓고 고름이 나오는 상태로 저희 병원에 내원하셨고,
게다가 골다공증 주사를 3개월마다 맞고 계셨고, 고지혈증으로 약도 복용 중이셨어요.
전신 건강과 염증, 심미적인 문제까지
하나하나 신중하게 접근해야 했던 어려운 상황이었지만,
저희 병원에서 안전하게 수술을 마치고,
지금은 자연스러운 앞니와 건강한 잇몸으로 환하게 웃고 계십니다 😊
👀 내원 당시 모습
📸 초진 사진
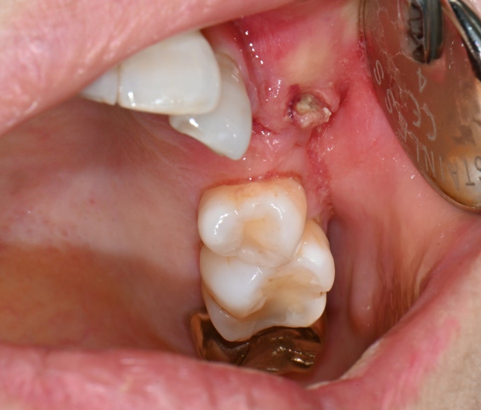
환자분은 타 치과에서 발치 후 염증이 생겨
잇몸이 부어오르고 고름이 반복적으로 생기는 상태였어요.

골수염(Osteomyelitis) 환자분 초진 정면 사진
📸
좀 더 자세히 촬영한 사진입니다. 눈으로 확인했을 때 **잇몸 안쪽 으로 고름 덩어리가 있었고,
진단명은 ‘골수염(Osteomyelitis)’.
즉, 염증이 단순한 표면이 아니라 뼛속까지 퍼진 상태였어요.

골수염(Osteomyelitis) 환자분 초진 구강 사진
📸 파노라마 엑스레이

골수염(Osteomyelitis) 환자분 초진 엑스레이
🧼 염증 치료부터 시작했습니다
📸 경과 사진

골수염(Osteomyelitis) 제거 후 사진
우선 염증을 부분적으로 제거하고 약물치료를 진행하며 경과를 관찰했어요.
잇몸 붓기와 고름이 점점 줄어들었고,
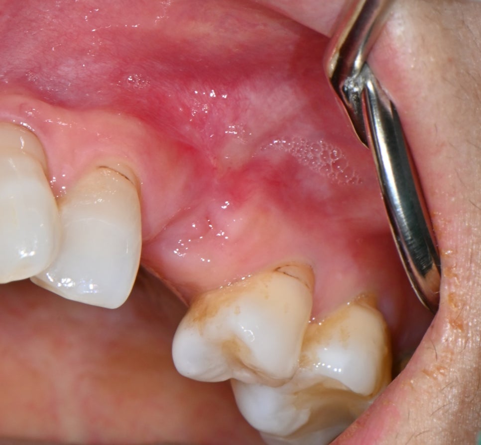
📸 제거된 염증 조직

골수염(Osteomyelitis) 염증 조직 제거 사진
📸 염증이 사라진 상태

골수염(Osteomyelitis) 치료 완료 사진
안쪽까지 염증이 완전히 가라앉은 걸 확인한 후,
정확한 위치에 임플란트를 식립할 수 있었습니다.
🔩 임플란트 수술과 보철 완성
📸 수술 직후 파노라마

골수염(Osteomyelitis) 치료 후 임플란트 식립 직후 파노라마
픽스처(임플란트 뿌리)가 잇몸뼈에 잘 자리잡은 걸 확인하고
자연치와 잘 어울리는 앞니 보철물을 제작해드렸어요.
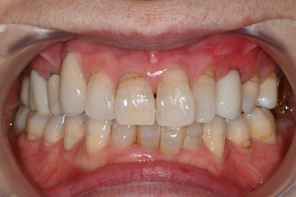
📸 최종 앞니 보철물

앞니 임플란트 완성 정면 사진
환자분 요청대로 살짝 밝은 톤으로 자연스럽게 완성했고,
결과에 매우 만족하셨습니다!
📸 최종 파노라마

앞니 임플란트 완성 후 파노라마 사진
🏥 서울오브치과병원은 이런 곳이에요
이 환자분처럼
✔️ 골다공증 주사 치료 중이시거나
✔️ 고지혈증 등 전신질환이 있으신 분
✔️ 잇몸이나 뼛속에 염증이 있었던 분이라면
누가 수술하느냐, 그리고
얼마나 전신을 함께 고려해주는 시스템이 있느냐가 정말 중요합니다.
서울오브치과병원은
✅ 서울대학교병원 구강외과, 보철과, 보존과 전문의들이 함께 협진하고,
✅ 전 직원이 전문 치과위생사이며
✅ 치과기공사가 주 5일 상주하는 원내 기공소를 통해
보철물 퀄리티와 맞춤 조정을 빠르게 진행합니다.
또한
✅ 고가의 구강스캐너와 구강내시경 장비를 보유하고 있어
기존 방식보다 더 정확하고,
더 자연스러운 보철 치료가 가능합니다.
😊 마무리하며
앞니에 염증이 있었는데 괜찮을까요?
골다공증 주사 맞고 있는데 수술해도 되나요?
임플란트가 내 몸에 맞을까 걱정된다면,
혼자 고민하지 마시고,
서울오브치과병원에 편하게 상담 예약 주세요.
환자 한 분 한 분께 맞는 치료 방향을 찾아드릴게요!
📍 서울오브치과병원
-
서울시 송파구 백제고분로 196, 4~5층
-
삼전역 3번 출구 바로 앞
-
카카오톡: 서울오브치과병원
-
주차 가능 / 365일 진료 / 응급진료 협력 병원
-
📞 02-418-2275
서울오브치과병원 서울특별시 송파구 백제고분로 196 4층, 5층
Explore More
Keep Browsing This Clinic's Korean Content Trail.
Return to the source archive for more posts, or move back to the clinic profile to compare the rest of the clinic's public channels.