🦷 After a front tooth extraction, even with inflammation… Is it possible?
– A successful front tooth implant case in a woman in her 60s receiving osteoporosis injections
Hello, this is Seoul Above Dental Hospital💚
Today, we’d like to introduce a somewhat challenging front tooth implant case.
After having a front tooth extracted at another dental clinic,
she visited our hospital with persistent gum swelling and pus discharge,
and on top of that, she was receiving osteoporosis injections every three months and was also taking medication for hyperlipidemia.
It was a difficult situation that required careful, step-by-step consideration of systemic health, inflammation, and aesthetic concerns.
But after safely completing the surgery at our hospital,
she is now smiling brightly with natural-looking front teeth and healthy gums 😊
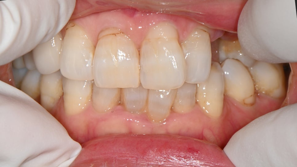
👀 Appearance at the time of visit
📸 Initial consultation photo
The patient developed inflammation after extraction at another dental clinic,
and was in a state where the gums were swollen and pus was repeatedly forming.

Initial front-view photo of the osteomyelitis patient
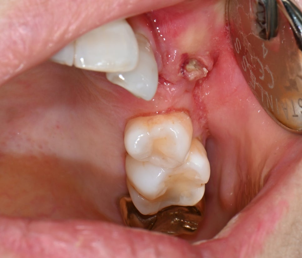
📸
This photo was taken in more detail. When examined visually, there was a mass of pus inside the gum,
and the diagnosis was osteomyelitis.
In other words, the inflammation was not just on the surface; it had spread into the bone.

Initial oral photo of the osteomyelitis patient
📸 Panoramic X-ray

Initial X-ray of the osteomyelitis patient
🧼 We started with inflammation treatment
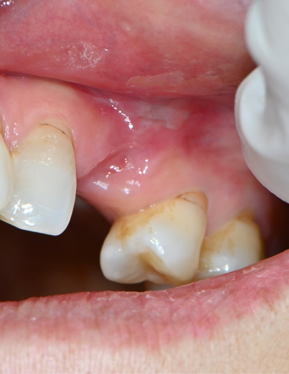
📸 Progress photo

Photo after removal of osteomyelitis
First, we partially removed the inflammation and provided medication treatment while observing the progress.
The gum swelling and pus gradually decreased,
📸 Removed inflamed tissue

Photo of removed osteomyelitis tissue
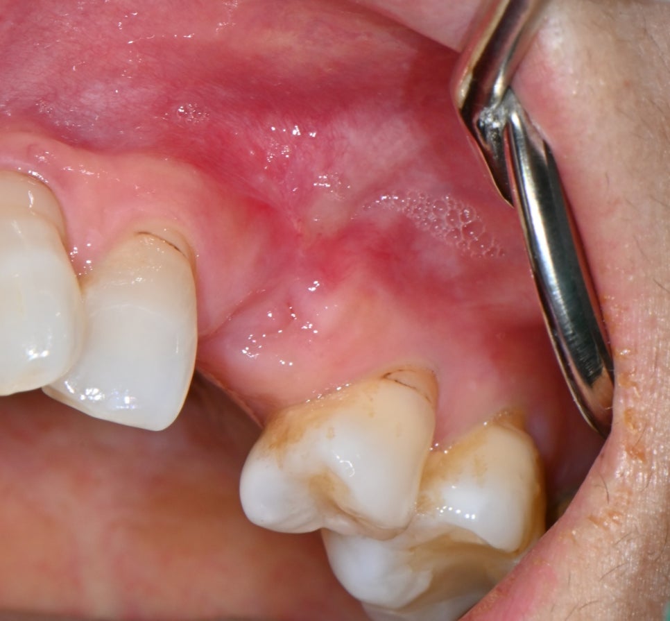
📸 State after the inflammation disappeared

Photo after completion of osteomyelitis treatment
After confirming that the inflammation deep inside had fully subsided,
we were able to place the implant in the exact position.
🔩 Implant surgery and prosthetic completion
📸 Panoramic X-ray immediately after surgery

Panoramic X-ray immediately after implant placement following osteomyelitis treatment
After confirming that the fixture (the implant root) was well positioned in the jawbone,
we fabricated a front tooth prosthesis that blended well with the natural teeth.
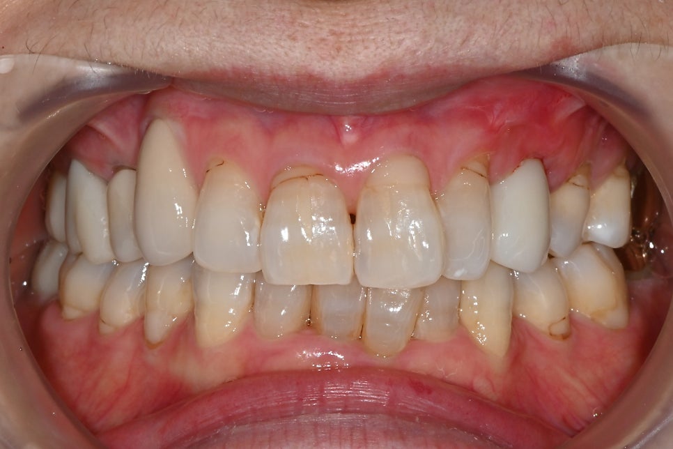
📸 Final front tooth prosthesis

Front-view photo of the completed front tooth implant
As requested by the patient, we completed it naturally with a slightly brighter tone,
and she was very satisfied with the result!
📸 Final panoramic X-ray

Panoramic photo after completion of the front tooth implant
🏥 Seoul Above Dental Hospital is a place like this
For patients like this one,
✔️ those undergoing osteoporosis injection treatment, or
✔️ those with systemic diseases such as hyperlipidemia, or
✔️ those who have had inflammation in the gums or bone,
it is very important who performs the surgery and
how much of a system is in place to consider the whole body together.
Seoul Above Dental Hospital
✅ specialists from Seoul National University Hospital in oral surgery, prosthodontics, and conservative dentistry work together in consultation,
✅ all staff members are specialized dental hygienists, and
✅ through our in-house dental lab, where dental technicians are on-site five days a week,
we quickly carry out prosthetic quality control and custom adjustments.
In addition,
✅ we have high-end intraoral scanners and intraoral endoscopy equipment,
allowing for more accurate treatment and
more natural prosthetic treatment than conventional methods.
😊 To wrap up
There was inflammation in the front tooth area—will it be okay?
I’m getting osteoporosis injections—can I still have surgery?
If you’re worried whether an implant is right for your body,
please don’t worry alone,
and feel free to book a consultation with Seoul Above Dental Hospital.
We’ll help find the treatment plan that fits each patient!
📍 Seoul Above Dental Hospital
-
196 Baekjegobun-ro, Songpa-gu, Seoul, Floors 4–5
-
Right in front of Exit 3 of Samjeon Station
-
KakaoTalk: Seoul Above Dental Hospital
-
Parking available / Treatment 365 days a year / Emergency treatment partner hospital
-
📞 02-418-2275
Seoul Above Dental Hospital
4th and 5th floors, 196 Baekjegobun-ro, Songpa-gu, Seoul