서울오브치과병원
사랑니 안 아픈데 뽑아야 하나요?🦷구강외과 전문의가 알려주는 발치 기준
🦷 송파구 삼전역 사랑니 발치, 얼마나 아플까? – 완전 매복 사랑니 발치, 꼭 필요한 이유 안녕하세요. 서울오브치과병원입니다💚 오늘은 많은 분들이 무서워하는 '완전 매복 사랑니'에 대해 이야기해보려고 합니다. 그냥 사랑니도 아닌, 뼛속 깊이 숨어 있는 완전 매복 사랑니! 어떤 사랑니가 '더 어려운 사랑니'인지, 왜...
🦷 송파구 삼전역 사랑니 발치, 얼마나 아플까?
– 완전 매복 사랑니 발치, 꼭 필요한 이유
안녕하세요. 서울오브치과병원입니다💚
오늘은 많은 분들이 무서워하는 '완전 매복 사랑니'에 대해 이야기해보려고 합니다.
그냥 사랑니도 아닌, 뼛속 깊이 숨어 있는 완전 매복 사랑니!
어떤 사랑니가 '더 어려운 사랑니'인지, 왜 발치를 해야 하는지, 발치 후에는 어떤 관리가 필요한지까지 쉽게 알려드릴게요 😊
1️⃣ 완전 매복 사랑니란?
사랑니는 어금니 맨 뒤에 나는 세 번째 어금니입니다.
다 자란 뒤에도 안 나올 수 있고, 비스듬히 날 수도 있고, 잇몸만 덮인 채로 자리를 못 잡을 수도 있어요.
상태에 따라 아래와 같이 분류할 수 있어요:
| 분류 | 상태 설명 | 발치 난이도 |
|---|---|---|
| 일반 발치 | 사랑니가 완전히 나와 있음 | ★☆☆☆☆ |
| 단순 매복 발치 | 일부가 잇몸에 덮여 있음, 각도는 정상임 | ★★☆☆☆ |
| 복잡 매복 발치 | 뼈나 잇몸에 대부분 덮여 있고, 옆으로 누운 경우 많음 | ★★★★☆ |
| 완전 매복 발치 | 뼈 속 깊이 완전히 파묻힘, 눈에 안 보이고 신경과 가까움 | ★★★★★ |
🧐 그럼 사랑니는 무조건 뽑아야 할까요?
꼭 그렇지는 않아요! 사랑니가 매복되어 있어도 통증이 없고, 염증이나 주변 치아에 영향을 주지 않으면 굳이 뽑지 않는 경우도 있어요.
특히 30~40대 이후에는 회복 속도가 느려지고, 사랑니 앞 어금니 뼈가 약해져서 발치 후 오히려 앞 치아가 흔들릴 수도 있고 안 아프던 치아가 갑자기 아플 수도 있어요.
그래서 "매복이니까 무조건 발치!"가 아니라, 사랑니 위치, 방향, 나이, 회복력 등을 전문적으로 진단받고 결정해야 합니다.
2️⃣ 실제 완전 매복 사랑니 발치 사례 (Before & After)
서울오브치과병원에서는 완전 매복 사랑니 발치를 매일같이 진행하고 있어요.
서울대 구강악안면외과 전문의가 직접 수술하며,
정밀 장비와 안전 시스템으로 고난도 발치도 빠르고 안전하게 마무리됩니다 💪
✔ 환자 정보
-
환자: 만 19세 여성
-
증상: 왼쪽 아래 잇몸이 붓고 통증 있음
-
진단: 완전 매복 사랑니 + 신경관과 인접
-
치료: CT 촬영, 확인 후 발치
-
특징: 어린 나이이지만 고난도 수술이 필요한 케이스. 지방에 거주 중이라 서울에 올 때 한 번에 모든 사랑니 발치를 원하셨고, 서울오브치과병원에서 모든 사랑니를 한 번에 안전하게 발치해드렸습니다.
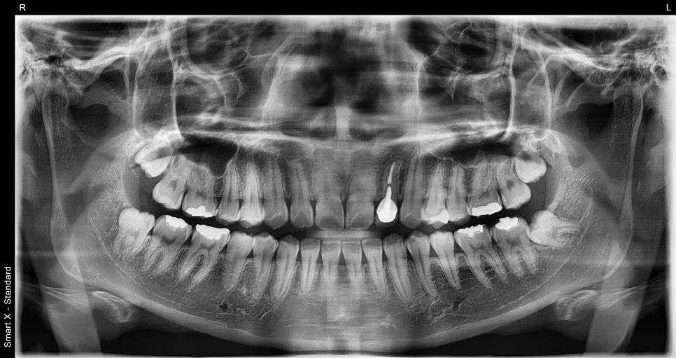
📸 발치 전 X-ray 사진

발치 전, 완전 매복 사랑니가 뼛속 깊이 파묻혀 있는 모습입니다.
📸 발치 후 X-ray 사진

네 개의 사랑니를 한 번에 발치한 후 촬영한 파노라마 사진입니다. 발치 부위가 깔끔하게 정리된 것을 확인할 수 있습니다.
수술 전에는 사랑니가 뼛속 깊이 매복되어 있었고, 신경과 아주 가까워 조심스럽게 수술 접근이 필요했어요.
수술 후에는 깨끗하게 회복되고 있고, 신경 손상 없이 마무리되었습니다. 😊
3️⃣ 사랑니 발치 후 주의사항
사랑니는 ‘잘 빼는 것’도 중요하지만, ‘잘 낫게 하는 것’이 더 중요합니다!
특히 완전 매복처럼 어려운 경우엔 발치 후 관리가 회복에 큰 영향을 줘요.
✔ 발치 후 꼭 지켜야 할 관리 수칙
-
빨대로 음료 마시지 않기 (지혈 방해 주의)
-
입을 세게 헹구거나 뱉지 않기 (상처가 다시 열릴 수 있어요)
-
냉찜질은 1~2일 정도 꾸준히 하기
-
처방받은 약은 시간 맞춰 복용하기
-
술·흡연·무리한 운동은 최소 3일간 피하기
-
양치질은 부드럽게, 발치 부위는 건드리지 않기
서울오브치과병원에서는 환자 상태에 따라
원하시는 경우 또는 응급 상황 발생 시,
회복실에서 수액치료 및 추가 처치를 함께 제공해드립니다.
또한 통증이나 긴장이 심한 분들을 위해 수면진정 발치도 가능합니다 😴
4️⃣ 서울오브치과병원은 어떤 병원인가요?
서울오브치과병원은 송파구 최대 규모의 치과병원으로
서울대학교 출신 구강악안면외과 전문의가 상주하며,
고난도 수술과 응급 상황까지 안전하게 대응할 수 있는 병원입니다.
📍 이런 점이 다릅니다
-
구강악안면외과, 보철과, 보존과 전문의 협진
-
전 직원 전문 치과위생사
-
주 5일 상주 치과기공사
-
구강내시경·구강스캐너 등 고가 장비 보유
-
응급 수술, 재수술, 외상 진료 가능
-
365일 진료 및 야간 진료 운영
-
수면치료 가능
📞 병원 정보
-
주소: 서울시 송파구 백제고분로 196, 4층~5층
-
지하철: 삼전역 3번 출구 바로 앞
-
전화: 02-418-2275
-
카카오톡 상담: @서울오브치과병원
-
네이버 예약 가능
서울오브치과병원 서울특별시 송파구 백제고분로 196 4층, 5층
✅ 마무리하며
완전 매복 사랑니는 단순한 발치가 아니라, 고난도 수술에 가까운 진료입니다.
누가 발치하느냐에 따라 회복 결과가 달라질 수 있어요.
서울오브치과병원은 서울대 구강악안면외과 전문의인
정준홍 대표원장이 직접 수술을 시행하며,
출혈, 신경손상 등 응급 상황에도 빠르게 대처할 수 있는 시스템을 갖추고 있습니다.
그리고 사랑니 발치가 무섭고 긴장되시는 분들을 위해 수면진정 치료도 가능합니다.
치과 공포증이 있거나 통증이 걱정되신다면, 편안하게 주무시듯이 치료받는 수면 발치를 선택하실 수 있어요 😴
사랑니 때문에 고민이라면,
서울오브치과병원에서 정확한 진단부터 받아보세요 😊
부담 없이 카카오톡으로도 상담 가능해요!
Explore More
Keep Browsing This Clinic's Korean Content Trail.
Return to the source archive for more posts, or move back to the clinic profile to compare the rest of the clinic's public channels.