🦷 Wisdom tooth extraction near Samjeon Station in Songpa-gu — how much does it hurt?
– Why extraction is necessary for fully impacted wisdom teeth
Hello, this is Seoul Ob Dental Hospital💚
Today, we’d like to talk about ‘fully impacted wisdom teeth,’ something many people are afraid of.
Not just a regular wisdom tooth, but a fully impacted wisdom tooth buried deep in the bone!
We’ll explain in an easy way which wisdom teeth are ‘more difficult,’ why they need to be removed, and what care is needed after extraction 😊
1️⃣ What is a fully impacted wisdom tooth?
A wisdom tooth is the third molar that grows at the very back of the molars.
Even after it has fully developed, it may not come in, may grow at an angle, or may remain stuck under the gum without finding its place.
Depending on its condition, it can be classified as follows:
| Classification | Condition Description | Extraction Difficulty |
|---|
| Standard extraction | The wisdom tooth has fully erupted | ★☆☆☆☆ |
| Simple impacted extraction | Part of it is covered by the gum, but the angle is normal | ★★☆☆☆ |
| Complex impacted extraction | Mostly covered by bone or gum, and often lying sideways | ★★★★☆ |
| Fully impacted extraction | Completely buried deep in the bone, not visible, and close to nerves | ★★★★★ |
🧐 Then do wisdom teeth have to be removed no matter what?
Not necessarily! Even if a wisdom tooth is impacted, there are cases where it is not removed if there is no pain and it is not causing inflammation or affecting neighboring teeth.
In particular, after the age of 30 to 40, recovery slows down, and the bone around the molar in front of the wisdom tooth can weaken, so after extraction the front tooth may become loose, or a tooth that did not hurt before may suddenly start hurting.
So it is not a matter of “extract it unconditionally because it is impacted,” but rather a decision that should be made after a professional diagnosis of the wisdom tooth’s position, direction, age, recovery ability, and so on.
2️⃣ A real case of fully impacted wisdom tooth extraction (Before & After)
At Seoul Ob Dental Hospital, we perform fully impacted wisdom tooth extractions every day.
A specialist in Oral and Maxillofacial Surgery from Seoul National University performs the surgery personally,
and with precision equipment and a safety system, even high-difficulty extractions are completed quickly and safely 💪
✔ Patient information
-
Patient: 19-year-old female
-
Symptoms: Swelling and pain in the left lower gum
-
Diagnosis: Fully impacted wisdom tooth + adjacent to the nerve canal
-
Treatment: CT scan, then extraction after confirmation
-
Features: Although young, this was a case requiring high-difficulty surgery. Because the patient lived in the provinces and wanted all of her wisdom teeth removed at once when visiting Seoul, Seoul Ob Dental Hospital safely extracted all of her wisdom teeth in one session.
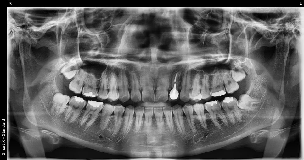
📸 X-ray before extraction

Before extraction, the fully impacted wisdom tooth was buried deep in the bone.
📸 X-ray after extraction

This is a panoramic X-ray taken after all four wisdom teeth were extracted at once. You can see that the extraction site has been neatly cleaned up.
Before surgery, the wisdom tooth was deeply impacted in the bone and very close to the nerve, so a careful surgical approach was necessary.
After surgery, it is recovering cleanly, and the procedure was completed without nerve damage. 😊
3️⃣ Precautions after wisdom tooth extraction
It is important to ‘remove it well,’ but it is even more important to ‘heal well’!
Especially in difficult cases like fully impacted teeth, post-extraction care has a major effect on recovery.
✔ Care instructions you must follow after extraction
-
Do not drink through a straw (to avoid interfering with blood clotting)
-
Do not rinse your mouth forcefully or spit hard (the wound may reopen)
-
Use cold compresses consistently for about 1–2 days
-
Take prescribed medication on time
-
Avoid alcohol, smoking, and strenuous exercise for at least 3 days
-
Brush gently, and do not touch the extraction site
At Seoul Ob Dental Hospital, depending on the patient’s condition,
if requested or in case of an emergency,
we also provide IV fluid therapy and additional treatment in the recovery room.
In addition, sleep sedation extraction is available for those with severe pain or anxiety 😴
4️⃣ What kind of hospital is Seoul Ob Dental Hospital?
Seoul Ob Dental Hospital is the largest dental hospital in Songpa-gu,
with an Oral and Maxillofacial Surgery specialist from Seoul National University on site,
and is equipped to safely handle high-difficulty surgeries and emergency situations.
📍 What makes us different
-
Collaborative care by specialists in Oral and Maxillofacial Surgery, Prosthodontics, and Conservative Dentistry
-
Professional dental hygienists throughout the entire staff
-
Dental technician on site 5 days a week
-
High-end equipment such as an intraoral endoscope and intraoral scanner
-
Emergency surgery, reoperation, and trauma treatment available
-
Open 365 days a year with night service
-
Sleep treatment available
📞 Hospital information
-
Address: 4th–5th floors, 196 Baekjegobun-ro, Songpa-gu, Seoul
-
Subway: Right in front of Exit 3 of Samjeon Station
-
Phone: 02-418-2275
-
KakaoTalk consultation: @서울오브치과병원
-
Naver reservation available
Seoul Ob Dental Hospital
4th and 5th floors, 196 Baekjegobun-ro, Songpa-gu, Seoul
✅ In closing
A fully impacted wisdom tooth is not a simple extraction, but a treatment close to high-difficulty surgery.
The outcome of recovery can vary depending on who performs the extraction.
At Seoul Ob Dental Hospital, the chief director, Junhong Jeong, an Oral and Maxillofacial Surgery specialist from Seoul National University,
personally performs the surgery,
and the hospital has a system that can respond quickly to emergencies such as bleeding or nerve damage.
We also offer sleep sedation treatment for those who are afraid of wisdom tooth extraction and feel nervous.
If you have dental anxiety or are worried about pain, you can choose sleep sedation extraction and receive treatment as comfortably as if you were sleeping 😴
If you are 고민ing because of a wisdom tooth,
start with an accurate diagnosis at Seoul Ob Dental Hospital 😊
You can also consult with us easily via KakaoTalk!