서울오브치과병원
넘어지며 부러진 앞니, 잇몸까지 회복! 서울오브치과병원의 응급 치료 리포트
🆘119 응급으로 내원한 외상 환자, 입술부터 어금니 임플란트까지 완성한 이야기 – 찢어진 입술, 죽은 앞니, 그리고 복합 임플란트 치료까지 안녕하세요. 서울오브치과병원입니다.💚 오늘은 응급환자로 내원하셨던 한 환자분의 실제 치료 과정을 소개해드리려 합니다. 서울대병원 구강악안면외과 전문의 출신 대표원장이 119 협력...
🆘119 응급으로 내원한 외상 환자, 입술부터 어금니 임플란트까지 완성한 이야기
– 찢어진 입술, 죽은 앞니, 그리고 복합 임플란트 치료까지
안녕하세요. 서울오브치과병원입니다.💚
오늘은 응급환자로 내원하셨던 한 환자분의 실제 치료 과정을 소개해드리려 합니다.
서울대병원 구강악안면외과 전문의 출신 대표원장이 119 협력 병원 진료를 맡고 있어, 응급 상황 시 본원에 직접 연락이 오는 경우가 종종 있습니다.
이번 케이스 역시 그런 상황 중 하나였고, 단순 외상이 아닌 복합적인 치료가 필요했던 만큼 기억에 남는 치료였습니다.
📌 사고 직후, 응급실 같은 현장
환자분은 119 구급대에 의해 저희 병원으로 바로 안내되었습니다.
넘어지며 입술이 깊게 찢어지고, 앞니가 부러져 흔들리는 외상을 입으신 상황이었습니다.
-
입술 외측 6cm, 내측 4cm 관통 파열
-
윗 앞니 다수 탈구 및 흔들림
-
즉시 치아 재위치 후, 레진-와이어 스플린트로 고정
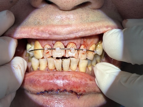
🖼️ 입술 외상 사진 / 앞니 파절 및 고정 사진 / X-ray 사진


외상 직후 찢어진 입술 / 앞니 탈구 고정한 초기 응급처치 사진

초진 시 촬영한 전체 파노라마 X-ray 사진
환자분은 고혈압과 고지혈증을 가지고 계셨기 때문에,
수술 및 치료 시 출혈, 감염 위험 등을 세심하게 고려해야 했습니다.
서울대병원 응급실 경험을 바탕으로, 전신질환을 고려한 안전한 외상 처치를 진행했습니다.
🔧 신경치료와 입술 봉합, 중간 치료 경과
앞니의 신경은 이미 괴사되어 있었고,
즉시 신경치료를 통해 감염을 제거하고 치아를 살리는 방향으로 치료를 이어갔습니다.
입술은 흉터가 최소화되도록 꼼꼼히 봉합해드렸고,
이후 자연스럽게 회복되어 일상 생활에서도 큰 불편
함이 없으셨습니다.
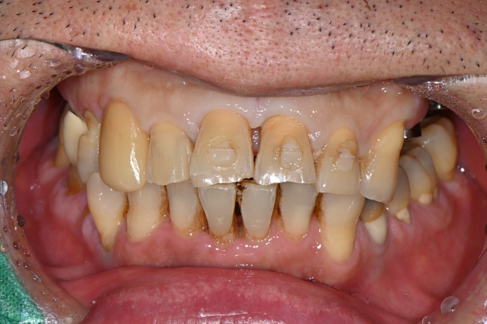
🖼️ 입술과 잇몸 회복 후 / 앞니 고정 장치 제거된 정면 모습

실밥 제거 후 정면 사진
🦷 앞니 보철물로 자연스러운 미소 회복
신경치료를 마친 앞니는 원내 기공사와 협업하여 심미 보철로 마무리했습니다.
기존 치아와 거의 차이가 없을 정도로 자연스러운 색상과 형태로 제작되었고,
웃을 때에도 전혀 티 나지 않아 환자분도 매우 만족해하셨습니다.
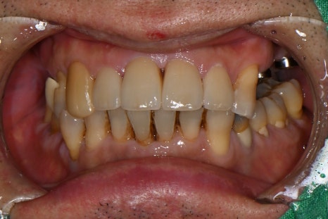
🖼️ 앞니 최종 보철 사진


최종 보철 장착 후 정면 사진
🔍 예상치 못한 어금니 문제, 임플란트 수술로 확장된 치료
정밀 진단 중, 앞니 외상 외에도 오른쪽 어금니 쪽에 진행된 충치와 골 손실이 확인되었습니다.
결국 해당 부위는 발치가 필요했고, 뼈이식과 함께 임플란트 수술이 시작되었습니다.
이 시점부터는 단순한 외상이 아닌, 전체적인 구강을 관리해야 하는 복합 치료 케이스로 전환되었습니다.
🖼️ 임플란트 수술 시작 장면


임플란트 수술 직후 X-ray 및 수술 후 구강 내 모습
⚙️ 어금니 임플란트 보철까지 완성
뼈이식과 임플란트를 성공적으로 마친 후,
구강스캐너로 정밀하게 보철물을 제작하여 저작기능을 회복시켜드렸습니다.
서울오브치과병원은 모든 임플란트 보철을 내부에서 직접 설계·제작하여
정밀도와 맞춤도 면에서 더욱 뛰어난 결과를 자랑합니다.
🖼️ 어금니 임플란트 보철 완성 사진


디지털 스캔으로 미리 설계된 임플란트 보철물 / 구강 내 실제 setting 된 모습
⏳ 총 치료기간 약 6개월
환자분과의 여정은 약 6개월간 이어졌습니다.
초기 외상 치료부터 시작해,
중간중간 잇몸 치료와 스케일링 등 구강위생 개선까지 꼼꼼히 병행하며
전체적인 구강 건강을 끌어올릴 수 있었습니다.
🖼️ 치료 전 후 비교 사진


치료 전후 파노라마 X-ray 비교 사진 (왼쪽: 초진 / 오른쪽: 치료 후)
환자분도 치료 내내 꾸준히 내원해주셨고,
저희도 각 단계마다 최선을 다해 도와드린 덕분에
사고 이전보다 더 건강한 구강 상태로 회복된 사례였습니다.
🧩 앞으로도 이어질 치료, 천천히 함께합니다
이번에 완료된 치료는 입술 외상과 앞니, 왼쪽 어금니까지 포함된 복합적인 케이스였습니다.
환자분께서는 현재 오른쪽 어금니에도 추가 치료가 필요한 상태지만,
개인적인 일정으로 인해 조금 여유를 두고 진행하시기로 하셨습니다.
서울오브치과병원은 환자분의 속도에 맞춰,
무리 없이 가장 안전한 타이밍에 치료를 이어갈 수 있도록 함께 준비하고 있습니다.
치료가 단번에 끝나는 것이 아니라, 환자와 함께 걸어가는 여정임을 기억하며,
앞으로도 언제든 곁을 지키겠습니다.
💬 마무리하며
치과 진료는 단순히 아픈 부위만 치료하는 것이 아닙니다.
특히 외상이나 전신질환이 동반된 환자에게는 전체적인 구강 상태와 건강을 함께 고려한 통합 치료가 중요합니다.
서울오브치과병원은
✅ 서울대학교 출신 구강악안면외과, 보철과, 보존과 전문의들의 협진 진료
✅ 전 직원 전문 교육을 받은 치과위생사로 구성
✅ 병원 내 자체 기공소 운영으로 보철물의 정밀도와 완성도를 높인 빠른 치료
✅ 고가 장비인 구강스캐너·구강내시경을 활용한 정밀 진단
✅ 365일 진료 및 야간진료, 119 협력 응급진료 시스템 운영
등을 기반으로, 단순한 치과를 넘어 믿고 맡길 수 있는 치과병원을 지향합니다.
외상부터 임플란트, 보철까지 복합적이고 정밀한 치료가 필요한 경우,
서울오브치과병원이 끝까지 함께하겠습니다. 🦷🌿
📍 병원 정보
• 위치: 서울시 송파구 백제고분로 196, 4~5층 (삼전역 3번 출구 앞)
• 주차: 건물 1층, 전용 주차장 완비
• 진료: 365일 진료 / 야간진료 운영
• 전화번호: 02-418-2275
• 네이버 예약, 상담 가능
• 카카오톡 상담: @서울오브치과병원
정확하고 따뜻한 진료로, 언제든 안심하고 내원하실 수 있도록 늘 준비되어 있습니다. 😊
서울오브치과병원 서울특별시 송파구 백제고분로 196 4층, 5층
Explore More
Keep Browsing This Clinic's Korean Content Trail.
Return to the source archive for more posts, or move back to the clinic profile to compare the rest of the clinic's public channels.