🆘 A trauma patient brought in as a 119 emergency: the story of restoring everything from the lip to the molar implant
– A torn lip, a dead front tooth, and complex implant treatment
Hello, this is Seoul Ob Dental Hospital.💚
Today, we’d like to introduce the actual treatment process of a patient who came to us as an emergency case.
Because our CEO, a specialist in oral and maxillofacial surgery from Seoul National University Hospital, is in charge of treatment at partner hospitals for 119 emergency cases, there are often situations where we receive a direct call in an emergency.
This case was one of those situations, and because it required complex treatment rather than a simple injury, it was especially memorable.
📌 Right after the accident, like an emergency room on site
The patient was brought directly to our hospital by 119 paramedics.
They had fallen, causing a deep cut to the lip and trauma in which the front tooth broke and became loose.
-
6 cm penetrating laceration on the outer lip, 4 cm on the inner lip
-
Multiple upper front teeth dislocated and loosened
-
Immediate tooth repositioning, followed by fixation with a resin-wire splint
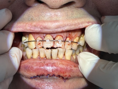
🖼️ Lip trauma photo / Front tooth fracture and fixation photo / X-ray photo


Lip laceration immediately after the trauma / Initial emergency treatment photo showing fixation of the dislocated front tooth

Full panoramic X-ray taken at the first visit
Since the patient had hypertension and hyperlipidemia,
we had to carefully consider bleeding and infection risks during surgery and treatment.
Based on our experience in the Seoul National University Hospital emergency room, we provided safe trauma care while taking systemic conditions into account.
🔧 Root canal treatment and lip suturing, mid-treatment progress
The front tooth nerve had already become necrotic,
and we continued treatment in the direction of preserving the tooth by immediately performing root canal treatment to remove the infection.
The lip was carefully sutured to minimize scarring,
and afterward it healed naturally, with no major inconvenience in daily life.
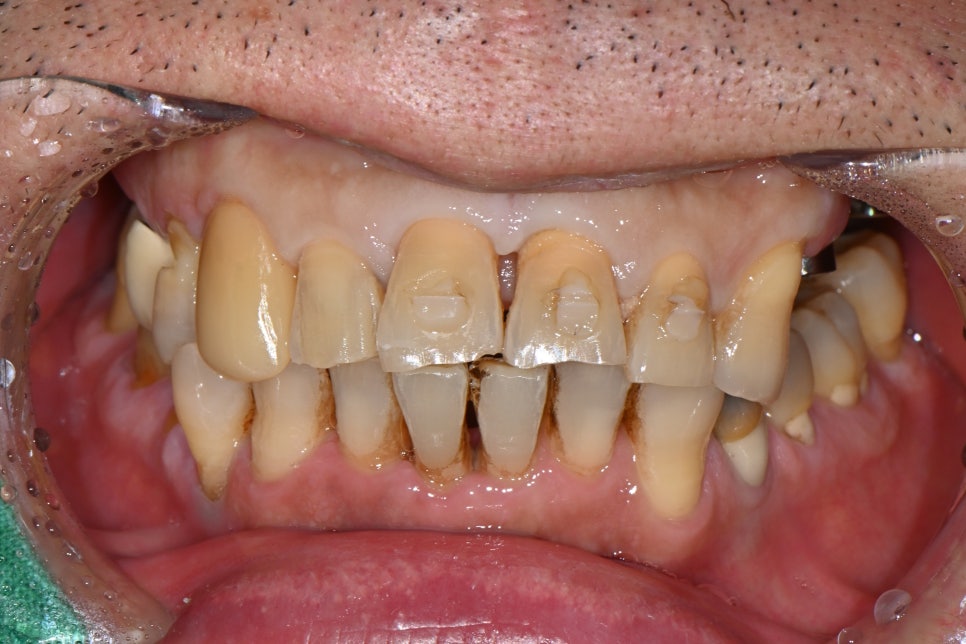
🖼️ After lip and gum recovery / Front view after the fixation device on the front tooth was removed

Front view photo after stitch removal
🦷 Restoring a natural smile with a prosthesis for the front tooth
After root canal treatment was completed, the front tooth was finished with an esthetic prosthesis in collaboration with our in-house dental technician.
It was made in a natural color and shape that was almost indistinguishable from the existing teeth,
and because it did not look noticeable even when smiling, the patient was very satisfied.
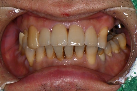
🖼️ Final front tooth prosthesis photo


Front view after the final prosthesis was placed
🔍 An unexpected molar problem, treatment expanded into implant surgery
During the detailed diagnosis, in addition to the front tooth trauma, advanced decay and bone loss were found in the right molar area.
Ultimately, that area required extraction, and implant surgery began together with bone grafting.
From this point on, the case changed from a simple trauma to a complex treatment case that required managing the entire oral cavity.
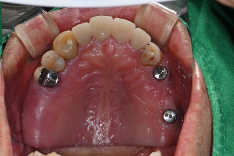
🖼️ Scene from the start of implant surgery


X-ray immediately after implant surgery and the intraoral view after surgery
⚙️ Completing the molar implant prosthesis
After successfully completing the bone graft and implant,
we precisely fabricated the prosthesis with an oral scanner to restore chewing function.
At Seoul Ob Dental Hospital, all implant prostheses are designed and produced in-house,
allowing us to deliver even better results in terms of precision and customization.
🖼️ Completed molar implant prosthesis photo


Pre-designed implant prosthesis based on a digital scan / The actual intraoral setting
⏳ Total treatment period: about 6 months
Our journey with the patient continued for about 6 months.
Starting with the initial trauma treatment,
we also carefully carried out gum treatment and scaling along the way to improve oral hygiene,
which helped raise overall oral health.
🖼️ Before-and-after comparison photos


Before-and-after panoramic X-ray comparison (left: first visit / right: after treatment)
The patient also continued to visit us consistently throughout the treatment,
and thanks to our best efforts at each stage,
this was a case that recovered to a healthier oral condition than before the accident.
🧩 Ongoing treatment ahead, slowly together
The treatment completed this time was a complex case that included the lip trauma, the front tooth, and the left molar.
The patient still needs additional treatment for the right molar,
but due to personal scheduling, they decided to proceed a little later.
Seoul Ob Dental Hospital is preparing together with the patient,
so that treatment can continue at the most appropriate and safest time without any strain.
Treatment does not end all at once; it is a journey we walk with the patient,
and we will continue to be by your side whenever needed.
💬 In closing
Dental treatment is not simply about treating the painful area.
Especially for patients with trauma or systemic disease, integrated treatment that considers the overall oral condition and health is important.
Seoul Ob Dental Hospital is built on the following:
✅ Collaborative treatment by specialists in oral and maxillofacial surgery, prosthodontics, and conservative dentistry from Seoul National University
✅ A staff composed of dental hygienists who have all received specialized training
✅ Faster treatment with improved precision and quality by operating an in-house dental lab for prostheses
✅ Detailed diagnosis using high-end equipment such as an oral scanner and intraoral endoscope
✅ 365-day care and nighttime treatment, along with a 119-partner emergency care system
Based on these strengths, we aim to be more than just a dental clinic—we strive to be a dental hospital you can trust.
If you need complex, precise treatment from trauma to implants and prosthetics,
Seoul Ob Dental Hospital will be with you until the end. 🦷🌿
📍 Hospital Information
• Location: Floors 4–5, 196 Baekjegobun-ro, Songpa-gu, Seoul (in front of Samjeon Station Exit 3)
• Parking: Dedicated parking lot available on the first floor of the building
• Treatment: 365-day care / nighttime treatment available
• Phone: 02-418-2275
• Naver reservation and consultation available
• KakaoTalk consultation: @서울오브치과병원
We are always prepared to welcome you with accurate and caring treatment, so you can visit us anytime with peace of mind. 😊
Seoul Ob Dental Hospital
4th and 5th Floors, 196 Baekjegobun-ro, Songpa-gu, Seoul