서울오브치과병원
남자도 라미네이트 해요? 자연스럽게 멋있어진 20대의 선택
안녕하세요. 서울오브치과병원입니다💚 오늘은 치아미백 이벤트를 통해 처음 내원하셨다가, 무삭제 라미네이트(오브제로)까지 진행하신 20대 남성 환자분의 이야기를 소개해드릴게요. 요즘은 남성분들도 첫인상과 외모 관리에 많은 관심을 가지시죠. 피부나 헤어뿐만 아니라, 밝고 고른 치아가 주는 깔끔한 인상도 무시할 수 없습니다....
안녕하세요. 서울오브치과병원입니다💚
오늘은 치아미백 이벤트를 통해 처음 내원하셨다가, 무삭제 라미네이트(오브제로)까지 진행하신 20대 남성 환자분의 이야기를 소개해드릴게요.
요즘은 남성분들도 첫인상과 외모 관리에 많은 관심을 가지시죠.
피부나 헤어뿐만 아니라, 밝고 고른 치아가 주는 깔끔한 인상도 무시할 수 없습니다.
이번 사례는 그런 자연스러운 변화에 관심 있는 분들께 도움이 되실 거예요!
📍처음엔 ‘가볍게 미백만’ 생각하셨던 환자분
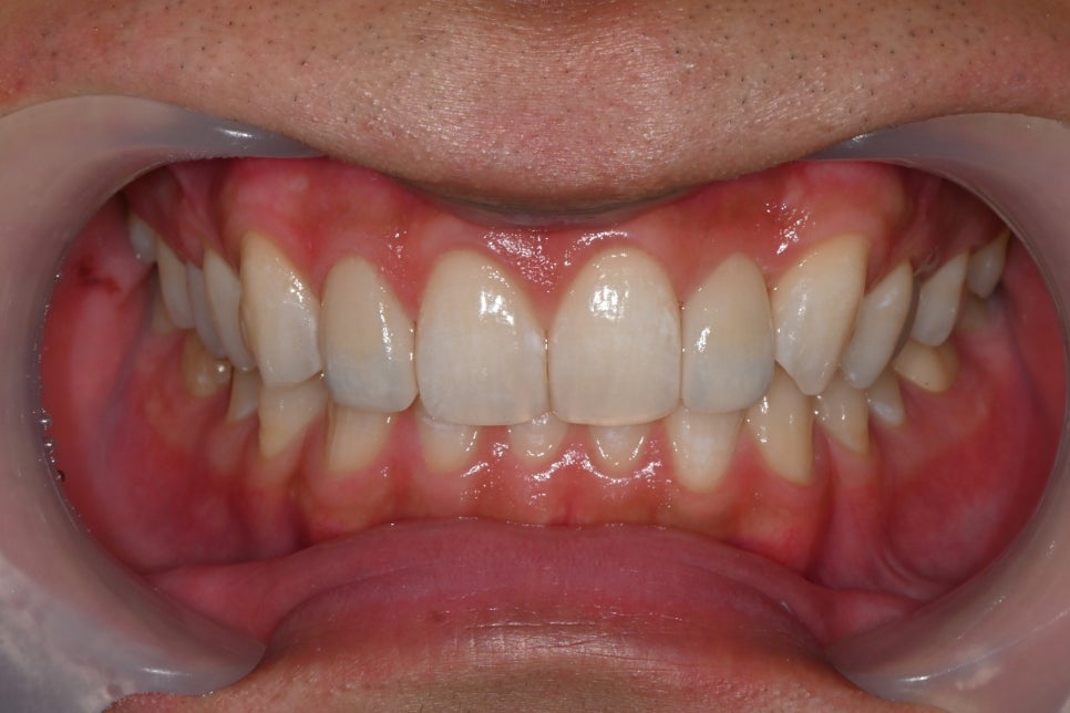
이 환자분은 저희 병원의 치아미백 이벤트를 계기로 처음 내원하셨어요.
당시 치아 색상은 A3 정도였고, 미백 후에는 A1까지 자연스럽게 밝아졌습니다 😊

"치아 미백 전후 색상 비교 (VITA 쉐이드 가이드 기준)"
📸 미백 전후 사진


치아 미백 전후 사진 정면사진 A3->A1
결과에 만족하신 환자분께서는 두 달 후 한 번 더 방문하셔서 추가 미백도 진행하셨습니다.
치아 톤이 밝아지면서, 인상이 훨씬 또렷하고 건강해 보였어요.
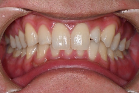
🦷 미소를 방해하던 앞니 두 개
두번째 내원하시던날 치아 미백 상담 중 눈에 띈 부분은 앞니 중 양옆에 위치한 #12번, #22번 치아의 크기였습니다.
두 치아 모두 왜소치로, 인접 치아에 비해 작고 덜 다듬어진 인상을 주고 있었죠.
💬 환자 요청: “인접 치아와 비슷하게만 해주세요”
너무 드러나는 시술은 부담스럽고, 자연스럽게만 보완하고 싶다는 게 환자분의 요청이었어요.
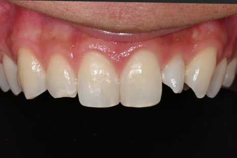
그래서 저희는 **서울오브치과병원의 무삭제 라미네이트 브랜드 '오브제로'**를 제안드렸습니다.
오브제로는 치아를 거의 깎지 않고, 얇은 라미네이트를 겹붙여 자연치 손상 없이
형태와 색감을 조화롭게 만드는 시술이에요.
📸 Before & After


무삭제 라미네이트(오브제로) 전 정면사진 왜소치 #12, 22

"무삭제 라미네이트(오브제로) 후 정면사진, 왜소치 개선
-
어둡던 치아 톤 → 밝고 생기 있게
-
왜소치 커버 → 앞니 라인 정돈
-
전체적인 인상 개선 → 더욱 단정하고 세련된 이미지
⚠️ 시술 후 주의사항 안내
✅ 치아미백 후 주의사항
-
48시간 동안 색소가 강한 음식은 피해주세요
-
(커피, 카레, 김치, 콜라, 포도주 등)
-
흡연은 착색을 유발할 수 있으니 삼가주세요
-
시린 증상이 일시적으로 생길 수 있으며 대부분 수일 내 사라집니다
✅ 무삭제 라미네이트(오브제로) 후 주의사항
-
앞니로 너무 단단한 음식(오징어, 뼈 있는 고기 등)은 피해주세요
-
이갈이나 이 악물기 습관이 있으시다면 상담 시 반드시 말씀해주세요
-
정기적인 검진과 스케일링이 유지에 도움이 됩니다
🏥 서울오브치과병원에서는 가능한 이유
✅ 구강외과·보철과·보존과 전문의 협진 시스템
✅ 전 직원 전문 치과위생사 근무
✅ 병원내 기공사와 1:1 맞춤 설계 가능
✅ 고급 세라믹 재료 + 치아 삭제 최소화 원칙
✅ 대학병원급 진단 시스템 + 구강스캐너 보유
✅ 심미보철·라미네이트 전문병원 수석원장 출신 김수완 원장님께서 진단부터 셋팅까지 직접 진행
✅ 365일 진료, 야간진료, 병원 전용 주차장 완비
남자분들도 이제 ‘치아 관리’는 선택이 아닌 기본이 된 시대입니다.
꾸민 듯 안 꾸민 듯 자연스럽고 멋있게, 부담 없이 바뀌는 미소.
서울오브치과병원이 도와드릴게요 😊
📍 서울시 송파구 백제고분로 196 (삼전역 3번 출구 앞)
📞 02-418-2275
📱 카카오톡 @서울오브치과병원
🚗 병원 전용 주차장 완비
서울오브치과병원 서울특별시 송파구 백제고분로 196 4층, 5층
Explore More
Keep Browsing This Clinic's Korean Content Trail.
Return to the source archive for more posts, or move back to the clinic profile to compare the rest of the clinic's public channels.