Hello, this is Seoul Ob Dental Hospital 💚
Today, we’d like to share the story of a male patient in his 20s who first came to us through a teeth whitening event and later went on to receive no-prep laminates (ObZero).
These days, many men are paying close attention to first impressions and appearance management as well.
Not only skin and hair, but also the clean impression created by bright, even teeth can’t be overlooked.
This case may be helpful for anyone interested in that kind of natural change!
📍At first, he was thinking of “just whitening”
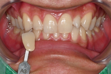
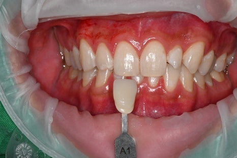
This patient first visited our clinic through our teeth whitening event.
At the time, his tooth shade was around A3, and after whitening it naturally brightened to A1 😊

"Comparison of tooth shade before and after whitening (based on the VITA shade guide)"
📸 Photos before and after whitening


Front-view photo before and after whitening, A3 -> A1
Satisfied with the results, the patient visited again two months later and underwent additional whitening.
As the tooth tone became brighter, his impression looked much clearer and healthier.
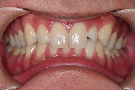
🦷 The two front teeth that were interfering with his smile
On his second visit, during the whitening consultation, the noticeable part was the size of the #12 and #22 teeth, which are the teeth on either side of the front teeth.
Both teeth were peg lateral incisors, making them look smaller and less refined than the adjacent teeth.
💬 Patient request: “Please make them look similar to the adjacent teeth”
The patient said he felt uncomfortable with a treatment that stood out too much and wanted only a natural-looking improvement.
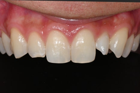
So we recommended Seoul Ob Dental Hospital’s no-prep laminate brand, 'ObZero'.
ObZero is a procedure that uses very little tooth reduction and layers thin laminates over the teeth, helping create harmony in shape and color without damaging the natural teeth.
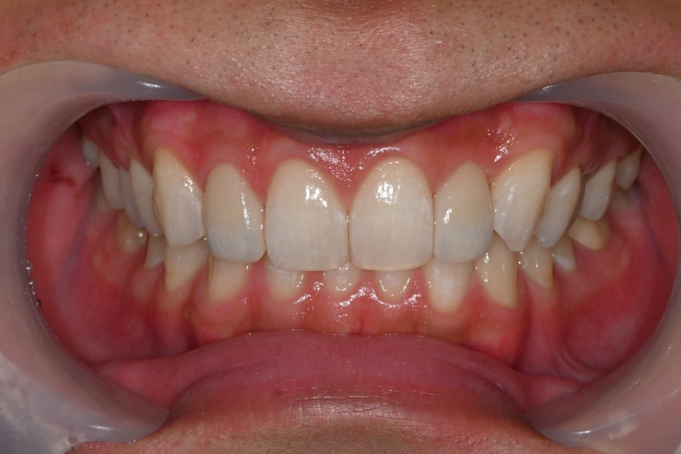
📸 Before & After


Front-view photo before no-prep laminate (ObZero), peg lateral incisors #12, 22

"Front-view photo after no-prep laminate (ObZero), improved peg lateral incisors
-
Dark tooth tone → Bright and lively
-
Peg lateral incisor coverage → Front tooth line tidied up
-
Overall impression improved → A neater, more refined image
⚠️ Post-procedure precautions
✅ Precautions after teeth whitening
-
Please avoid foods with strong pigments for 48 hours
-
(coffee, curry, kimchi, cola, grapes, etc.)
-
Please refrain from smoking, as it can cause discoloration
-
Sensitivity may occur temporarily, but in most cases it disappears within a few days
✅ Precautions after no-prep laminate (ObZero)
-
Please avoid very hard foods with the front teeth (squid, meat with bones, etc.)
-
If you have a habit of teeth grinding or clenching, please be sure to mention it during the consultation
-
Regular checkups and scaling help with maintenance
🏥 Why it is possible at Seoul Ob Dental Hospital
✅ Collaborative system with specialists in oral and maxillofacial surgery, prosthodontics, and conservative dentistry
✅ All staff are professional dental hygienists
✅ In-house dental technician allows 1:1 customized design
✅ Premium ceramic materials + principle of minimizing tooth reduction
✅ University-hospital-level diagnostic system + intraoral scanner
✅ Head Director Kim Su-wan, who previously served as chief director at a specialized esthetic prosthetics and laminate hospital, personally handles everything from diagnosis to placement
✅ Open 365 days a year, evening hours, and a hospital-only parking lot
For men as well, “dental care” is no longer optional but a basic part of life.
A smile that changes naturally and attractively, without looking overly done.
Seoul Ob Dental Hospital will help you 😊
📍 196 Baekjegobun-ro, Songpa-gu, Seoul (in front of Samjeon Station Exit 3)
📞 02-418-2275
📱 KakaoTalk @서울오브치과병원
🚗 Hospital-only parking available
Seoul Ob Dental Hospital
4th and 5th floors, 196 Baekjegobun-ro, Songpa-gu, Seoul