서울오브치과병원
해외 거주 환자의 앞니 크라운 + 임플란트, 4개월 완성 비결은?
🌍 해외에서도 믿고 선택한 서울오브치과병원 – 앞니 크라운 + 어금니 임플란트, 4개월 완성 사례 안녕하세요 서울오브치과병원입니다 ♥ 얼마전 해외에 거주 중이신 환자분께서, 국내 체류 기간 동안 앞니 크라운과 어금니 임플란트 치료를 받으셨습니다. 짧은 일정 안에 정확한 진단부터 수술, 보철 완성까지 마친 이번 사례는...
🌍 해외에서도 믿고 선택한 서울오브치과병원
– 앞니 크라운 + 어금니 임플란트, 4개월 완성 사례
안녕하세요 서울오브치과병원입니다 ♥
얼마전 해외에 거주 중이신 환자분께서, 국내 체류 기간 동안 앞니 크라운과 어금니 임플란트 치료를 받으셨습니다.
짧은 일정 안에 정확한 진단부터 수술, 보철 완성까지 마친 이번 사례는
서울오브치과병원의 시스템과 재료 선택이 얼마나 중요한지 보여주는 대표적인 예입니다.
총 치료 기간은 단 4개월.
많은 병원에서 6개월 이상 걸릴 수 있는 치료를
서울오브치과병원에서는 빠르면서도 정밀하게 완성할 수 있었습니다.
그 이유는,
✔ 좋은 재료 사용,
✔ 병원 내 기공실 보유로 정밀하고 빠른 보철 제작
✔ 구강외과, 보존과, 보철과 등 전문의들의 협진
이 세 가지가 균형 있게 작동했기 때문입니다 😊
📸 치료 전후 사진
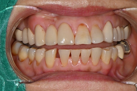
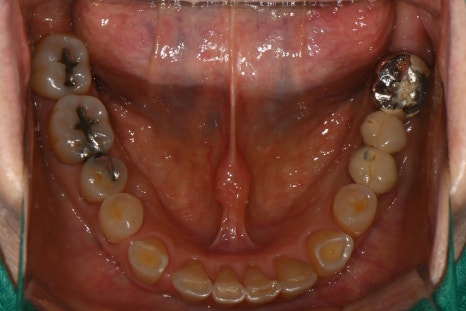
➤초진 진단 소견
앞니 심미 보철과 어금니 임플란트 치료를 계획하기 전, 환자분의 초기 상태를 확인한 모습입니다.
치아 배열, 상실 부위, 기존 보철 상태 등을 종합적으로 진단한 결과, 다음과 같은 치료 계획을 안내드렸습니다:
-
오른쪽 아래 어금니 부위(#45~47): 오래된 브릿지를 제거하고 #45 47 크라운 새로 제작하는 것을 권장드렸으며, #46 빈자리는 기존 브릿지 대신 임플란트 1개 식립을 안내드렸습니다.
-
앞니 부위(#11): 치경부 마모가 심하여 추가적인 보철 치료가 필요한 상태였습니다.
-
아래 앞니 부위(#43, #42): 치아 사이의 공간이 커져 크라운을 이용한 심미적 개선을 계획했습니다.

처음 내원 하셨을 때 파노라마 X-ray


처음 내원 하셨을때 구강 내 사진
➤ 치료 중간 사진
임플란트 수술 직후 촬영한 X-ray입니다.
유착 기간 동안 양옆 치아는 자극 여부나 불편함이 있는지 확인하며, 임시 보철물로 생활하시도록 안내드렸습니다.

수술 직후 파노라마 X-ray
➤ 본 뜨고 난 뒤 CAD/CAM 작업 과정
임플란트가 내 뼈에 잘 유착된 후, 병원 내 스캐너로 구강을 정밀하게 스캔했습니다.
서울오브치과는 자체 CAD/CAM 시스템을 통해 크라운을 빠르고 정확하게 디자인 및 제작할 수 있어, 환자 맞춤형 보철물을 보다 신속하게 완성할 수 있습니다.

#45 47 크라운, #46 임플란트 CAD/CAM 보철 디자인 화면
➤ 심미적으로 중요한 앞니 보철이 마무리된 상태로, 자연스러운 치열과 색상 조화를 확인할 수 있습니다.

앞니 #21번 치경부 마모 치료, #43 42 크라운 셋팅 후 정면 사진
➤ 치료 마무리 사진
어금니 부위에 임플란트를 식립한 후, 크라운까지 셋팅이 완료된 모습입니다. 자연치와 조화로운 색상과 형태로 기능과 심미성을 동시에 회복했습니다.

최종 파노라마 X-ray

어금니 임플란트 식립 및 보철물 완성 후 구강 내 사진
"자연치처럼 조화롭고 심미적으로 완성된 앞니 크라운과 기능을 회복한 임플란트 보철 모습입니다."
🦷 치료의 핵심 포인트
✅ 임플란트 뼈이식 재료
서울오브치과병원에서는 일반적으로 많이 쓰이는 이종골(소뼈) 대신
흡수율이 낮고 안정성이 뛰어난 미국산 동종골을 사용합니다.
조직 반응이 좋고, 치유 기간이 짧아 치료 속도와 결과 모두 만족스럽습니다.
✅ 사용되는 임플란트 브랜드
서울오브치과병원은
-
오스템 BA
-
오스템 SOI
-
스트라우만 BLX
이처럼 국내외 최상위 라인업의 임플란트만을 엄선해 사용합니다.
뼈 상태와 위치, 환자 맞춤 조건에 따라 적절한 제품을 선택해 골유착률이 뛰어나고 장기적인 안정성을 확보합니다.
✅ 앞니 크라운 치료
심미성이 중요한 앞니는
서울대 출신 보철과 전문의가 직접 색상, 투명도, 형태를 디자인합니다.
정확한 색상 매칭과 자연스러운 형태 구현을 통해
웃을 때도 티 나지 않는 결과를 만들어냅니다.
✅ 병원 내 기공실 보유
기공사가 병원에 상주하고 있어
보철 제작 속도가 빠르고,
실제 환자 구강을 직접 보고 미세한 조정도 가능해
정확하고 편안한 보철물이 완성됩니다.
✈ 해외 환자분도 안심할 수 있는 치료 시스템
이번 환자분은 일정상 장기 체류가 어려운 상황이었지만,
서울오브치과병원은 치료 일정에 맞춘 계획 진료를 통해
임플란트 식립부터 보철 셋팅까지 단 4개월 만에 마무리해드렸습니다.
해외에 계신 이후에도,
온라인 상담과 사후 관리 시스템을 통해
언제든지 문제 없이 관리받으실 수 있도록 도와드립니다.
🏥 서울오브치과병원은
-
서울대 출신 구강외과, 보철과, 보존과 전문의들의 협진 시스템
-
전 직원 전문 치과위생사
-
병원 내 기공실 보유, 기공사 근무
-
동종골 및 프리미엄 임플란트(오스템 BA·SOI, 스트라우만 BLX) 사용
-
365일 진료, 야간 진료, 주차 가능
☎ 02-418-2275
📍서울시 송파구 백제고분로 196, 4~5층
📱 카카오톡 상담 ID: 서울오브치과병원
서울오브치과병원 서울특별시 송파구 백제고분로 196 4층, 5층
Explore More
Keep Browsing This Clinic's Korean Content Trail.
Return to the source archive for more posts, or move back to the clinic profile to compare the rest of the clinic's public channels.