🌍 Seoul Aube Dental Hospital, Trusted and Chosen Even from Overseas
– A case of front tooth crown + molar implant completed in 4 months
Hello, this is Seoul Aube Dental Hospital ♥
Recently, a patient living overseas received treatment for a front tooth crown and a molar implant during a stay in Korea.
This case, in which everything from an accurate diagnosis to surgery and prosthetic completion was finished within a short schedule,
is a representative example of how important system organization and material selection are at Seoul Aube Dental Hospital.
The total treatment period was just 4 months.
Treatment that can take more than 6 months at many clinics
was completed quickly and precisely at Seoul Aube Dental Hospital.
The reason was,
✔ Use of good materials,
✔ In-house dental lab for precise and fast prosthetic fabrication
✔ Collaboration among specialists in oral surgery, conservative dentistry, and prosthodontics
These three factors worked in balance 😊
📸 Before-and-after photos
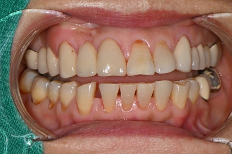
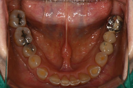
➤ Initial examination findings
Before planning the aesthetic front tooth prosthetics and molar implant treatment, here is the patient's initial condition.
After a comprehensive diagnosis of tooth alignment, missing areas, and the condition of existing prosthetics, the following treatment plan was explained:
-
Right lower molar area (#45~47): We recommended removing the old bridge and making new crowns for #45 and #47, and for the empty space at #46, we recommended placing one implant instead of the existing bridge.
-
Front tooth area (#11): There was severe cervical wear, and additional prosthetic treatment was needed.
-
Lower front tooth area (#43, #42): The space between the teeth had widened, so we planned an aesthetic improvement using crowns.

Panoramic X-ray at the first visit


Intraoral photos at the first visit
➤ Mid-treatment photos
This is the X-ray taken immediately after implant surgery.
During the osseointegration period, we checked the teeth on both sides for any irritation or discomfort, and the patient was advised to live with temporary prosthetics.

Panoramic X-ray immediately after surgery
➤ CAD/CAM work process after impressions
After the implant had successfully integrated with the bone, we scanned the oral cavity precisely using an in-house scanner.
Seoul Aube Dental can design and fabricate crowns quickly and accurately through its own CAD/CAM system, allowing patient-specific prosthetics to be completed more efficiently.

CAD/CAM prosthetic design screen for #45, #47 crowns and #46 implant
➤ The aesthetically important front tooth prosthetics have been completed, and you can see the natural alignment and color harmony.

Front view after cervical wear treatment on tooth #21 and setting crowns on #43 and #42
➤ Final treatment photos
This shows the implant placed in the molar area and the crowns completed afterward. With colors and shapes harmonious with the natural teeth, both function and aesthetics were restored.

Final panoramic X-ray

Intraoral photo after molar implant placement and prosthetic completion
"This is the appearance of the front tooth crowns, completed in harmony and aesthetics like natural teeth, and the implant prosthetics that restored function."
🦷 Key points of the treatment
✅ Bone graft material for implants
At Seoul Aube Dental Hospital, instead of the commonly used xenograft (bovine bone),
we use American allograft with low resorption and excellent stability.
It has good tissue response and a short healing period, satisfying both treatment speed and results.
✅ Implant brands used
Seoul Aube Dental Hospital carefully selects and uses only top-tier implant lines from Korea and abroad, such as:
-
Osstem BA
-
Osstem SOI
-
Straumann BLX
Depending on bone condition, location, and patient-specific factors, the appropriate product is selected to ensure excellent osseointegration and long-term stability.
✅ Front tooth crown treatment
For front teeth, where aesthetics are especially important,
a prosthodontics specialist from Seoul National University personally designs the color, translucency, and shape.
Through accurate color matching and natural shape realization,
we create results that do not look obvious even when smiling.
✅ In-house dental lab
Because a dental technician is stationed in the hospital,
prosthetics can be produced quickly,
and fine adjustments are possible by directly looking at the patient's mouth,
resulting in accurate and comfortable prosthetics.
✈ A treatment system that overseas patients can trust
Although this patient was unable to stay long due to their schedule,
Seoul Aube Dental Hospital completed everything from implant placement to prosthetic setting in just 4 months
through a treatment plan tailored to the schedule.
Even after returning overseas,
we help ensure ongoing care without issues
through online consultation and follow-up management systems.
🏥 Seoul Aube Dental Hospital
-
Collaborative system with specialists in oral surgery, prosthodontics, and conservative dentistry from Seoul National University
-
All staff are licensed dental hygienists
-
In-house dental lab with resident dental technicians
-
Use of allograft and premium implants (Osstem BA·SOI, Straumann BLX)
-
365-day care, evening appointments, parking available
☎ 02-418-2275
📍 4th–5th floors, 196 Baekjegobun-ro, Songpa-gu, Seoul
📱 KakaoTalk consultation ID: 서울오브치과병원
Seoul Aube Dental Hospital
4th and 5th floors, 196 Baekjegobun-ro, Songpa-gu, Seoul