서울오브치과병원
“초등학생 충치 치료, 급여레진으로 어금니 복원하는 방법 - 서울오브치과병원
안녕하세요. 서울오브치과병원입니다 😊 오늘은 많은 분들이 궁금해하시는 치과 레진 치료에 대해 쉽게 풀어서 설명드리려 합니다. 충치 치료나 앞니가 깨졌을 때 종종 듣게 되는 레진이라는 단어, 과연 어떤 치료일까요? 레진 치료란? 레진 치료는 치아에 생긴 작은 충치나 파절 부위를 치과용 수지(레진)로 메워주는 치료입니다....
안녕하세요. 서울오브치과병원입니다 😊
오늘은 많은 분들이 궁금해하시는 치과 레진 치료에 대해 쉽게 풀어서 설명드리려 합니다. 충치 치료나 앞니가 깨졌을 때 종종 듣게 되는 레진이라는 단어, 과연 어떤 치료일까요?
레진 치료란?
레진 치료는 치아에 생긴 작은 충치나 파절 부위를 치과용 수지(레진)로 메워주는 치료입니다. 레진은 플라스틱과 유리 성분이 섞인 복합 재료로, 치아색과 유사해 눈에 잘 띄지 않습니다. 주로 앞니 또는 작은 충치 치료에 많이 사용됩니다.
무통마취 후 손상 부위를 정리하고, 레진을 층층이 쌓아 경화(단단하게 굳히는) 과정을 거쳐 마무리합니다. 치료 시간은 보통 20~40분 내외로 짧고, 당일 바로 일상생활이 가능합니다.
어떤 경우에 레진 치료가 필요할까요?
다음과 같은 경우에 레진 치료를 고려할 수 있습니다:
✅ 충치가 초·중기 단계일 때
✅ 앞니 모서리가 깨졌을 때
✅ 치아 사이에 작은 틈이 생겼을 때
✅ 과거 충전재가 떨어졌거나 변색됐을 때
단, 충치가 너무 깊거나 넓은 경우에는 크라운 등 다른 치료가 필요할 수 있습니다.
실제 치료 사례 ✨
📌 초등학생 자녀를 둔 부모님들이 많이 궁금해하시는 소아 충치 레진 치료 사례입니다.
어금니에 통증을 느껴 내원한 어린이 환자분의 경우, **오른쪽 아래 어금니(6번 치아)**에서 깊은 충치가 확인되었습니다. 진단명은 ‘상아질 우식’으로, 충치가 신경 가까이 진행된 상태였습니다.
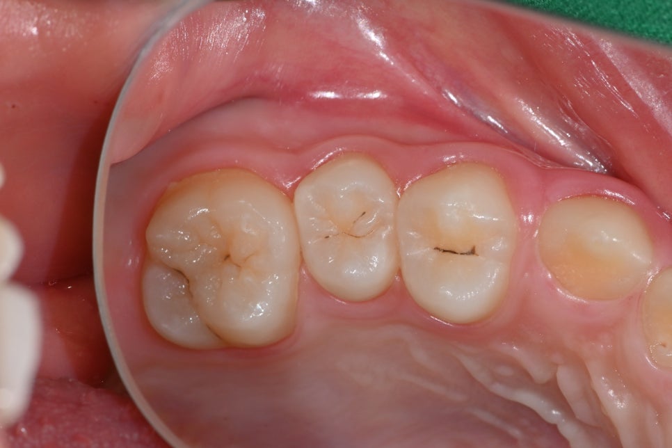
🦷 치료 전 사진 (03.14)

충치가 진행된 어금니의 초기 모습입니다.
🛠 치료 중 사진

충치 부위를 정리하고 레진 수복을 준비하는 과정입니다.
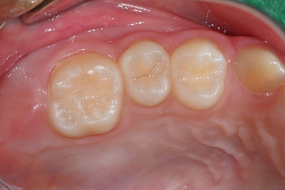
✅ 치료 후 사진 (03.18)

급여 레진 수복 후 자연스럽게 복원된 어금니 모습입니다
치료는 급여 레진 수복으로 진행되었으며, 통증 없이 일상생활이 가능하고 심미적으로도 매우 자연스럽게 회복되었습니다.
급여 레진 치료의 장점
어린이 및 청소년 환자의 경우, 건강보험이 적용되는 급여 레진 치료를 통해 비용 부담을 크게 낮추면서도 자연스러운 심미성과 기능을 회복할 수 있습니다.
-
💎 자연치와 비슷한 색상으로 심미성 우수
-
💎 치료 후 당일 일상생활 복귀 가능
-
💎 건강보험 적용으로 비용 부담 감소
-
💎 치아 삭제량을 최소화하여 자연치를 보존
급여 레진 적용 대상:
- 만 12세 이하 소아의 영구치 충치 치료 시 적용 가능
특히 성장기 어린이의 경우 치아 구조를 최대한 살리면서 충치를 치료하는 것이 매우 중요하기 때문에, 급여 레진 치료는 매우 좋은 선택입니다.
레진 치료 장단점 비교표
| 항목 | 장점 | 단점 |
|---|---|---|
| 심미성 | 자연치와 유사한 색상 | 시간이 지나면 변색 가능 |
| 비용 | 비교적 저렴함 (급여 레진 적용 시 비용 절감) | 보험 적용이 제한적일 수 있음 |
| 치료 속도 | 1회 방문, 빠른 치료 | 넓은 부위에는 부적합 |
| 보존성 | 치아 삭제량이 적고, 치아를 많이 살릴 수 있음 | 너무 깊은 충치엔 사용 불가 |
서울오브치과병원 소개 👨⚕️
서울오브치과병원은 송파구 잠실·삼전역 인근에 위치한 종합 치과병원입니다.
-
서울대 출신 구강악안면외과, 보철과, 보존과 전문의들의 협진 시스템
-
전 직원 전문 교육을 받은 치과위생사 근무
-
병원 내 자체 기공실 보유, 상주 치과기공사 직접 제작 및 관리
-
최첨단 장비 구강스캐너, 구강내시경 보유로 정밀 진단 가능
-
대학병원급 완벽 멸균 시스템 구축, 1인 1기구 사용 원칙
[병원 기본 정보]
-
📍 주소: 서울특별시 송파구 백제고분로 196, 4층~5층 서울오브치과병원
-
☎️ 전화: 02-418-2275
-
💬 네이버 톡톡 ID: 서울오브치과병원
-
🅿️ 주차: 건물 내 주차 가능 (주차 지원)
최고의 의료진과 첨단 시스템, 안전한 진료 환경을 바탕으로 환자 한 분 한 분의 치아를 "작품처럼" 소중하게 진료하고 있습니다.
앞으로도 서울오브치과병원은 정직하고 진심 어린 진료를 이어가겠습니다.
서울오브치과병원 서울특별시 송파구 백제고분로 196 4층, 5층
Explore More
Keep Browsing This Clinic's Korean Content Trail.
Return to the source archive for more posts, or move back to the clinic profile to compare the rest of the clinic's public channels.