Hello. This is Seoul of Dental Hospital 😊
Today, we would like to explain dental resin treatment in an easy-to-understand way for those who are curious about it. You may often hear the word resin in cavity treatment or when a front tooth is chipped, but what kind of treatment is it exactly?
What Is Resin Treatment?
Resin treatment is a procedure that fills small cavities or chipped areas in a tooth with dental resin. Resin is a composite material made of plastic and glass components, and because it is similar in color to teeth, it is not very noticeable. It is mainly used for front teeth or small cavities.
After painless anesthesia, the damaged area is cleaned, and the resin is layered and hardened to finish the treatment. The treatment time is usually short, around 20 to 40 minutes, and daily life is possible immediately on the same day.
When Is Resin Treatment Needed?
Resin treatment may be considered in the following cases:
✅ When a cavity is in the early to middle stage
✅ When the edge of a front tooth is chipped
✅ When a small gap has formed between teeth
✅ When a previous filling has fallen out or become discolored
However, if the cavity is too deep or too large, other treatments such as a crown may be needed.
Actual Treatment Case ✨
📌 This is a pediatric cavity resin treatment case that many parents with elementary school children are curious about.
In the case of a child patient who visited due to pain in a molar, a deep cavity was found in the lower right molar (tooth no. 6). The diagnosis was “dentin caries,” meaning the cavity had progressed close to the nerve.
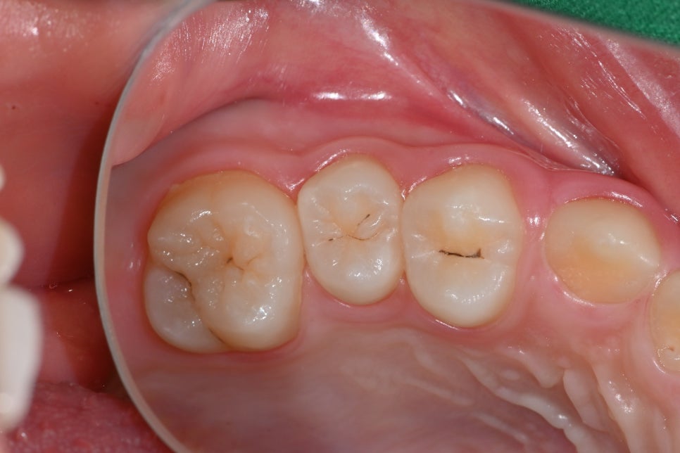
🦷 Before Treatment Photo (03.14)

This is the initial appearance of the molar with the cavity.
🛠 During Treatment Photo

This shows the process of cleaning the cavity area and preparing for resin restoration.
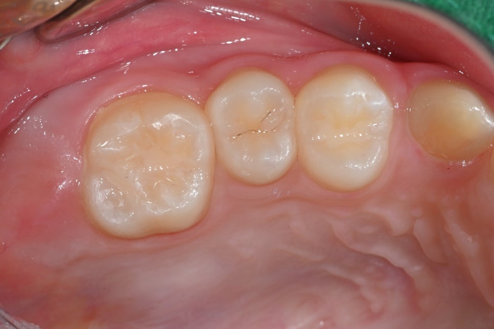
✅ After Treatment Photo (03.18)

This is the naturally restored appearance of the molar after insurance-covered resin restoration.
The treatment was performed as an insurance-covered resin restoration, allowing the patient to continue daily life without pain and restoring the tooth very naturally in appearance as well.
Advantages of Insurance-Covered Resin Treatment
For children and adolescents, insurance-covered resin treatment can significantly reduce the financial burden while restoring natural aesthetics and function.
-
💎 Excellent aesthetics with a color similar to natural teeth
-
💎 Return to daily life on the same day after treatment
-
💎 Reduced cost burden with health insurance coverage
-
💎 Preserves natural teeth by minimizing tooth reduction
Eligible Patients for Insurance-Covered Resin:
- Applicable when treating cavities in permanent teeth for children aged 12 and under
Especially for children in their growth stage, it is very important to treat cavities while preserving as much of the tooth structure as possible, which is why insurance-covered resin treatment is a very good option.
Comparison Table of Resin Treatment Pros and Cons
| Item | Advantages | Disadvantages |
|---|
| Aesthetics | Color similar to natural teeth | May discolor over time |
| Cost | Relatively inexpensive (cost savings with insurance-covered resin) | Insurance coverage may be limited |
| Treatment Speed | One visit, quick treatment | Not suitable for large areas |
| Preservation | Minimal tooth reduction, preserves more of the natural tooth | Cannot be used for cavities that are too deep |
About Seoul of Dental Hospital 👨⚕️
Seoul of Dental Hospital is a comprehensive dental hospital located near Jamsil and Samjeon Station in Songpa-gu.
-
Collaborative system of oral and maxillofacial surgery, prosthodontics, and conservative dentistry specialists from Seoul National University
-
Dental hygienists who have received specialized training across the entire staff
-
In-house dental laboratory with resident dental technicians who directly produce and manage restorations
-
Precise diagnosis possible with state-of-the-art equipment such as an oral scanner and intraoral endoscope
-
Complete university-hospital-level sterilization system, with a strict one-instrument-per-person policy
[Basic Hospital Information]
-
📍 Address: Seoul of Dental Hospital, 4th–5th Floor, 196 Baekjegobun-ro, Songpa-gu, Seoul
-
☎️ Phone: 02-418-2275
-
💬 Naver TalkTalk ID: 서울오브치과병원
-
🅿️ Parking: Available in the building (parking support provided)
Based on our top medical team, advanced system, and safe treatment environment, we treat each patient’s teeth carefully, "like works of art."
Seoul of Dental Hospital will continue to provide honest and sincere care.
Seoul of Dental Hospital
4th and 5th Floors, 196 Baekjegobun-ro, Songpa-gu, Seoul