서울오브치과병원
깨진 임플란트 크라운, 타치과 임플란트도 서울오브치과에서 재제작 완료🦷
80대 어르신의 임플란트 치료, 당일 발치와 식립으로 시간 단축! 노년기에도 튼튼한 어금니를 회복하셨습니다 🦷 안녕하세요, 서울오브치과병원입니다 💚 오늘은 80대 어르신의 어금니 임플란트 치료 과정을 소개해 드리려고 해요. 치아가 많이 닳은 상태였지만, 발치와 동시에 임플란트를 식립해 회복 기간을 줄이고,...
80대 어르신의 임플란트 치료, 당일 발치와 식립으로 시간 단축!
노년기에도 튼튼한 어금니를 회복하셨습니다 🦷
안녕하세요, 서울오브치과병원입니다 💚
오늘은 80대 어르신의 어금니 임플란트 치료 과정을 소개해 드리려고 해요.
치아가 많이 닳은 상태였지만, 발치와 동시에 임플란트를 식립해 회복 기간을 줄이고, 튼튼한 어금니 기능을 회복해드린 사례입니다.
고령 환자이신 만큼 전신질환과 잇몸 상태까지 고려하여 신중하고 정밀하게 치료해드렸습니다.
1.임플란트 치료 소개 & 장점
이 환자분은 타 치과에서 치료받은 왼쪽 위 큰 어금니(임플란트 보철)이 깨지면서 내원하셨습니다.
진단 결과 왼쪽 위 두번째 작은어금니 치아는 남아있는 뿌리만 있는 상태(root rest)로 발치가 필요했고,
왼쪽 위 뒷쪽 어금니 세 치아를 하나의 구조로 연결하는 임플란트 치료로 계획했습니다.
🦷 브릿지 치료와 임플란트 치료, 무엇이 다를까요?
-
브릿지는 양옆의 건강한 치아를 깎아야 하는 단점이 있지만,
-
임플란트는 주변 치아를 손상시키지 않고 독립적인 구조로 기능을 회복합니다.
-
특히 임플란트 스플린트 치료는 치아가 많이 닳은 고령 환자에게 힘을 분산시켜주는 장점이 있어, 수명과 안정성 측면에서도 탁월합니다.
🦷 서울오브치과병원은 발치 당일 임플란트를 선호합니다!
-
발치한 자리에 바로 임플란트를 심으면 뼈 손실이 줄고,
-
전체 치료기간도 3~4개월 이내로 단축할 수 있습니다.
-
대부분 병원에서는 기다렸다 식립하지만,
-
▶ 좋은 임플란트 (오스템 BA, SOI / 스트라우만 BLX)
-
▶ 좋은 뼈(미국산 동종골) 사용으로
-
그 차이를 안전하게 메워드립니다. 실력 좋은 의료진과 좋은 재료 사용으로 회복 기간 단축이 가능합니다.
- 환자분 정보
-
80대, 남성, 고혈압(아스피린 미복용), 고지혈증
-
"오른쪽 임플란트 크라운이 깨져서 치료받고 싶어요" 으로 내원
📸 환자분 동의 후 올리는 케이스 사진입니다 :)
- 치료 전


왼쪽 사진: 첫 내원당시 촬영한 파노라마 엑스레이 입니다. 기존임플란트는 보철은 깨져있었지만 뿌리는 튼튼한 상태입니다.
오른쪽 사진: #25(왼쪽 위 두번째 작은어금니)는 많이 썩어서 뿌리만 남은상태였습니다. 발치 후 바로 임플란트 식립을 권유드렸습니다.
🛠 치료 계획
-
#25(왼쪽 위 두번째 작은 어금니) 발치 및 당일 임플란트 식립
-
치료기간 중 잇몸 및 스케일링 병행 → 전체적인 잇몸 치료를 통해 구강환경 개선
-
3개월 후 왼쪽 위 임플란트 세개(#25-27)를 하나로 연결(splint)해 최종 보철 완성
- 치료 중

#25 발치 후 즉시 임플란트 식립 후 촬영한 파노라마 엑스레이입니다.
양 옆 치아에 맞춰 가지런히 잘 심겨진 모습입니다.
그리고 #26 27 임플란트 크라운 제거 후 단추(힐링 어버트먼트)로 안전하게 교체했습니다.
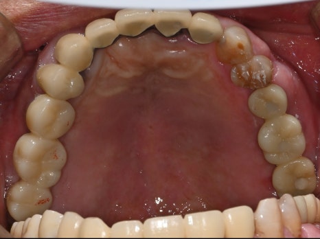
-치료 후


왼쪽 사진: #25-27 보철물 완성 후 촬영한 파노라마 엑스레이 입니다.
오른쪽 사진: 자연치아처럼 심미적이고 튼튼한 지르코니아로 보철 마무리 되었습니다.
🦷 이 환자분은 연세가 있으셨고, 기존 치아가 많이 닳아 치관 길이가 짧은 열악한 조건이었지만,
대표원장님의 정밀 수술과 설계로 안전하고 만족스러운 치료를 마무리할 수 있었습니다.
최소한의 진단으로 환자분께서 불편하다고 하신 치료만 진행해드렸고, 마무리 후 만족스럽게 돌아가셨습니다.
- 마무리하며
고령 환자라 하더라도, 임플란트 치료는 충분히 가능합니다.
서울오브치과병원은 전신질환, 잇몸 상태, 교합력 등을 종합적으로 고려해
환자 한 분 한 분의 구강환경에 맞춘 정밀 치료를 계획합니다.
치료가 늦어질수록 뼈 손실이 심해지기 때문에, “언제 가야 하나” 고민되신다면 지금 상담만이라도 받아보세요.
저희가 함께 해결 방법을 찾아드리겠습니다 😊
- 서울오브치과병원 소개
서울오브치과병원은 송파 최대 규모의 치과병원으로,
365일 진료 및 야간진료를 시행하며, 응급 외상 및 임플란트 재수술까지 가능한 보건복지부 지정 2차 의료기관입니다.
-
서울대 출신 구강악안면외과·보철과·보존과 등 5인의 전문의 협진 시스템
-
전 직원 전문교육 받은 치과위생사 근무
-
병원 내 기공소 운영 및 치과 기공사 근무
-
구강스캐너·구강내시경 등 최신 장비 보유
-
외국인 진료 가능
-
발치 당일 임플란트 및 수면치료 가능
-
주차 가능 / 카카오톡 상담: @서울오브치과병원 / 전화문의: 02-418-2275
-
📍서울시 송파구 백제고분로 196, 4~5층 (잠실·삼전역 인근), 주차가능 1층
서울오브치과병원 서울특별시 송파구 백제고분로 196 4층, 5층
Explore More
Keep Browsing This Clinic's Korean Content Trail.
Return to the source archive for more posts, or move back to the clinic profile to compare the rest of the clinic's public channels.