Implant treatment for a patient in their 80s, with extraction and placement done on the same day to save time!
Regained strong molar function even in old age 🦷
Hello, this is Seoul Of Dental Hospital 💚
Today, we’d like to introduce the treatment process for a molar implant in a patient in their 80s.
Although the teeth were significantly worn down, we placed the implant at the same time as the extraction, reducing the recovery period and restoring strong molar function.
Because the patient was elderly, we carefully and precisely treated them while also considering systemic conditions and gum health.
- Introduction to implant treatment & advantages
This patient visited us after the implant prosthesis in the upper left molar area, which had been treated at another dental clinic, broke.
The diagnosis showed that the upper left second premolar had only a remaining root (root rest) and needed extraction,
so we planned an implant treatment linking the three posterior teeth on the upper left side into one structure.
🦷 What is the difference between bridge treatment and implant treatment?
-
Bridges have the downside of requiring the healthy teeth on both sides to be shaved down,
-
while implants restore function with an independent structure without damaging nearby teeth.
-
In particular, implant splint treatment has the advantage of distributing force in elderly patients whose teeth are significantly worn down, making it excellent in terms of longevity and stability as well.
🦷 Seoul Of Dental Hospital prefers implant placement on the day of extraction!
-
If an implant is placed immediately in the extracted site, bone loss is reduced,
-
and the overall treatment period can also be shortened to within 3–4 months.
-
Most clinics wait before placing the implant,
-
▶ By using good implants (Osstem BA, SOI / Straumann BLX)
-
▶ and good bone material (U.S. allograft bone),
-
we safely bridge that gap. With skilled medical staff and high-quality materials, the recovery period can be shortened.
- Patient information
-
Male in his 80s, hypertension (not taking aspirin), hyperlipidemia
-
Visited with the complaint, "The crown on my right implant broke, and I’d like treatment"
📸 This case photo is being posted with the patient’s consent :)


Left image: A panoramic X-ray taken at the first visit. The existing implant restoration was broken, but the root was in good condition.
Right image: #25 (the upper left second premolar) was badly decayed and only the root remained. We recommended immediate implant placement after extraction.
🛠 Treatment plan
-
Extraction of #25 (upper left second premolar) and same-day implant placement
-
Periodontal care and scaling during the treatment period → improvement of the oral environment through overall gum treatment
-
After 3 months, connect the three upper left implants (#25-27) into one splint and complete the final prosthesis
-
During treatment

This panoramic X-ray was taken immediately after implant placement following extraction of #25.
It was placed neatly in alignment with the adjacent teeth.
Also, after removing the #26 and #27 implant crowns, they were safely replaced with buttons (healing abutments).
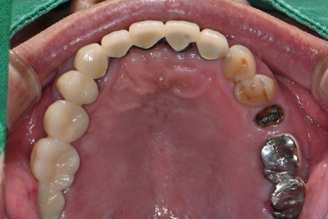
-After treatment


Left image: A panoramic X-ray taken after completion of the #25-27 prosthesis.
Right image: The prosthesis was finished with zirconia that is aesthetic and durable, like natural teeth.
🦷 Although this patient was elderly and had poor conditions, with the existing teeth significantly worn down and short crown height,
through the representative director’s precise surgery and planning, we were able to complete the treatment safely and satisfactorily.
We performed only the treatment that the patient said was uncomfortable, with minimal diagnosis, and they returned home satisfied after completion.
- In closing
Even for elderly patients, implant treatment is fully possible.
Seoul Of Dental Hospital comprehensively considers systemic conditions, gum health, bite force, and other factors
to plan precise treatment tailored to each patient’s oral environment.
The longer treatment is delayed, the greater the bone loss, so if you’re wondering, “When should I go?”, please come in for a consultation now, even if it’s just that.
We’ll help find a solution together 😊
- About Seoul Of Dental Hospital
Seoul Of Dental Hospital is the largest dental hospital in Songpa,
providing 365-day care and night-time treatment, and is a secondary medical institution designated by the Ministry of Health and Welfare that can handle emergency trauma and implant reoperation.
-
Collaboration system with five specialists from Seoul National University in oral and maxillofacial surgery, prosthodontics, and conservative dentistry
-
All staff are dental hygienists who have received specialized training
-
In-house dental lab operations and dental technicians on staff
-
Equipped with the latest devices such as an intraoral scanner and intraoral endoscope
-
Foreign patient care available
-
Same-day extraction and implant placement, and sedation treatment available
-
Parking available / KakaoTalk consultation: @서울오브치과병원 / Phone: 02-418-2275
-
📍 196 Baekjegobun-ro, Songpa-gu, Seoul, 4th–5th floors (near Jamsil and Samjeon stations), parking available on the 1st floor
Seoul Of Dental Hospital
4th and 5th floors, 196 Baekjegobun-ro, Songpa-gu, Seoul