서울오브치과병원
해외 거주 외국인도 가능한 임플란트 치료! 3개월 내 완벽 마무리한 사례
🌍해외 거주 중에도 안심하고 치료! 외국인 환자분의 복합 임플란트 및 보철 치료 사례 서울오브치과병원에서는 해외에 거주 중인 환자분들도 일정에 맞춰 정확하고 신속한 치료가 가능합니다. 오늘은 잠시 한국에 체류 중이셨던 외국인 환자분의 복합 치료 과정을 소개해드립니다. 이 환자분은 4개월 후 다시 해외로 귀국 예정...
🌍해외 거주 중에도 안심하고 치료!
외국인 환자분의 복합 임플란트 및 보철 치료 사례
서울오브치과병원에서는 해외에 거주 중인 환자분들도 일정에 맞춰 정확하고 신속한 치료가 가능합니다.
오늘은 잠시 한국에 체류 중이셨던 외국인 환자분의 복합 치료 과정을 소개해드립니다.
이 환자분은 4개월 후 다시 해외로 귀국 예정인 상황에서 치료를 시작하셨습니다.
🍽 어금니가 깨져서 급히 방문하신 첫 내원
해외 거주 중이던 환자분께서 저녁 식사 중 왼쪽 아래 어금니가 깨졌다며 내원하셨습니다.
이전 해외 치료에서 신경치료가 제대로 되지 않아 오른쪽 아래 큰 어금니 신경이 괴사된 상태였고, 전반적인 구강 상태도 좋지 않았습니다.
📸 환자분 동의 후 올리는 실제 서울오브치과 치료 사례입니다
- 치료 전

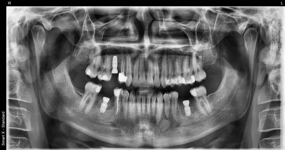
오래전 해외에서 치료 후 통증을 호소하며 내원하신 환자분 초진 파노라마 엑스레이 입니다.
오른쪽 아래 첫번째 큰 어금니는 뿌리끝 염증이 심했고, 좌측 첫번째 큰 어금니는 충치가 심해 머리부분 파절이 관찰되었습니다.


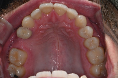
내원 당시 촬영한 위 아래 구강 내 사진입니다.
오른쪽 위 두번째 작은어금니의 상실로 임플란트 치료가 필요한 상태였습니다.
🦷 전문의 협진으로 구성된 정밀 진단
서울오브치과병원은 서울대 출신 구강악안면외과, 보철과, 보존과 전문의 5인이 협진하고 있습니다.
이 환자분 역시 전문 협진을 통해 다음과 같은 진단 및 계획을 수립했습니다:
-
#15(오른쪽 위 두번째 작은어금니), #46(오른쪽 아래 첫번째 큰 어금니), #36(왼쪽 아래 첫번째 큰 어금니) → 임플란트 식립
-
#35(오른쪽 아래 두번째 작은어금니) → 크라운 권장(해외에서 치료 후 제대로 된 보철 진행 하지 않으셨음.)
-
#27(왼쪽 위 두번째 큰 어금니)→ 레진 충전 치료
👉 사용 임플란트: 오스템 SOI
👉 뼈이식: 동종골(Graft) 이식
- 치료 중

임플란트 식립 후 촬영한 파노라마 엑스레이입니다.
양 옆 치아와 똑같이 가지런히 잘 식립되어 있습니다.
⏱ 귀국 일정에 맞춘 3개월 집중 치료
환자분의 체류 기간은 단 4개월.
서울오브치과병원은 체계적인 진료 시스템 덕분에 3개월 안에 임플란트 식립 → 유착 → 본 뜨기 → 보철 완성까지
전 과정이 완벽히 마무리되었습니다.
✔️ 발치와 동시에 임플란트 식립
✔️ 골질 보강을 위한 동종골 이식
✔️ 보철물 본뜨기 및 장착
✔️ 크라운 및 레진 치료까지 한 번에!
환자분은 밝은 미소로 치료를 마무리하고 다시 해외로 돌아가셨습니다 😊
-치료 후

서울오브치과병원 자체 CAD/CAM 시스템을 통해 정밀하게 설계된 보철 디자인 과정입니다.

임플란트가 안정적으로 유착된 후, 보철물을 장착 완료 된 최종 파노라마 엑스레이입니다.


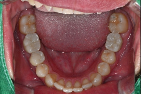
임플란트와 크라운 치료 레진 치료 모두 완료된 후의 구강 상태입니다.
기능과 심미성 모두 만족스럽게 회복되었습니다.
✈️ 해외에 거주하셔도 문제 없는 치료 시스템
진료가 끝난 후, 환자분께서
“다음 방문은 몇 년 후가 될 것 같다”고 말씀주셨습니다.
이에 서울오브치과병원에서는
치료에 사용된 오스템 임플란트(SOI) 제품의 장점을 안내해드렸습니다.
“한인 치과가 있는 지역이라면,
오스템 제품은 글로벌하게 유통되어 있어
보철 수리나 유지관리도 용이하실 겁니다.”
🇰🇷 왜 한국에서 치료받는 것이 더 좋은가요?
많은 분들이 묻습니다.
해외에서 치과 치료 받으면 안 되나요?
한국에서는
✅ 최신 기술 기반 정밀 치료
✅ 서울대 출신 전문의 협진 시스템
✅ 고급 재료 사용: 오스템 BA·SOI / 스트라우만 BLX / 동종골 이식 등
으로 세계적으로도 높은 수준의 진료가 가능합니다.
❗반면, 일부 해외 치과는
-
재료의 질이 떨어지거나
-
치료 퀄리티가 낮은 경우도 많고
-
진단부터 보철까지 일관성 없이 진행되는 경우도 있어
-
치료 후 문제가 생기는 경우가 종종 발생합니다.
👉 실제로 이 환자분도 이전 치료 실패로 재내원하신 케이스였습니다.
💬 외국인 진료도 가능합니다
서울오브치과병원은
외국인 환자분도 불편 없이 진료받을 수 있도록 영어 상담이 가능하며,
짧은 체류 기간 중에도 치료 계획을 세밀하게 조정해드립니다.
🏥 서울오브치과병원 안내
-
주소: 서울시 송파구 백제고분로 196, 4~5층
-
지하철: 9호선 삼전역 도보 3분
-
주차 가능
-
네이버톡톡 상담 ID: 서울오브치과병원
🏥 서울오브치과병원은 이런 곳입니다.
서울오브치과병원은
서울대학교 출신 구강악안면외과·보철과·보존과 전문의 5인의 협진 시스템을 바탕으로
고난이도 임플란트, 외상, 심미보철 등 다양한 복합 치료를 전문으로 하고 있습니다.
🔹 전문의 협진 체계 – 과별 전문의가 진단부터 치료까지 함께 참여
🔹 고급 재료 사용 – 오스템 BA·SOI, 스트라우만 BLX, 동종골 등 엄선된 재료만 사용
🔹 1인 1기구 멸균 시스템 – 대학병원급 멸균 시스템, 감염 걱정 없이 안전하게 치료 가능
🔹 정밀한 진단 장비 – 최첨단 구강스캐너와 구강내시경으로 정확한 진단 가능
🔹 전 직원 전문 치과위생사 – 숙련된 인력이 체계적인 케어 진행
🔹 병원내 기공소 운영, 치과기공사 근무 – 보철물 제작부터 관리까지 신속하고 정밀하게
또한 서울오브치과병원은
365일 진료, 야간 진료, 공휴일 진료는 물론 응급상황 대응이 가능한 119 협력 치과병원으로
송파구 최대 규모의 치과병원이자 보건복지부 지정 2차 의료기관입니다.
👉 국내 환자뿐 아니라 해외 거주 중인 외국인 환자분들까지
안전하고 믿을 수 있는 진료를 경험하실 수 있도록 항상 준비되어 있습니다.
서울오브치과병원 서울특별시 송파구 백제고분로 196 4층, 5층
Explore More
Keep Browsing This Clinic's Korean Content Trail.
Return to the source archive for more posts, or move back to the clinic profile to compare the rest of the clinic's public channels.