🌍 Safe Treatment Even While Living Overseas!
A Case of Combined Implant and Prosthetic Treatment for a Foreign Patient
At Seoulob Dental Hospital, even patients living overseas can receive accurate and prompt treatment according to their schedule.
Today, we would like to introduce the combined treatment process of a foreign patient who was staying in Korea for a short period.
This patient began treatment with the plan to return overseas again in 4 months.
🍽 First visit after coming in urgently because a molar broke
The patient, who was living overseas, visited us saying that a lower left molar had broken during dinner.
In a previous overseas treatment, the root canal therapy had not been done properly, so the nerve in the lower right large molar had become necrotic, and the overall oral condition was not good.
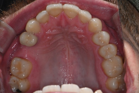
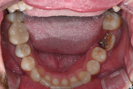
📸 This is an actual Seoulob Dental treatment case posted with the patient’s consent

This is the initial panoramic X-ray of the patient who visited with pain after treatment overseas a long time ago.
The first large molar on the lower right had severe root apex inflammation, and the first large molar on the lower left had severe decay with crown fracture observed.


These are intraoral photos of the upper and lower teeth taken at the time of the visit.
Due to the loss of the second small molar on the upper right, implant treatment was needed.
🦷 Detailed diagnosis through specialist collaboration
Seoulob Dental Hospital has a collaborative system with five specialists in oral and maxillofacial surgery, prosthodontics, and conservative dentistry, all graduates of Seoul National University.
This patient also received the following diagnosis and treatment plan through specialist collaboration:
-
#15 (second small molar on the upper right), #46 (first large molar on the lower right), #36 (first large molar on the lower left) → implant placement
-
#35 (second small molar on the lower right) → crown recommended (proper prosthetic work had not been completed after treatment overseas.)
-
#27 (second large molar on the upper left) → resin filling treatment
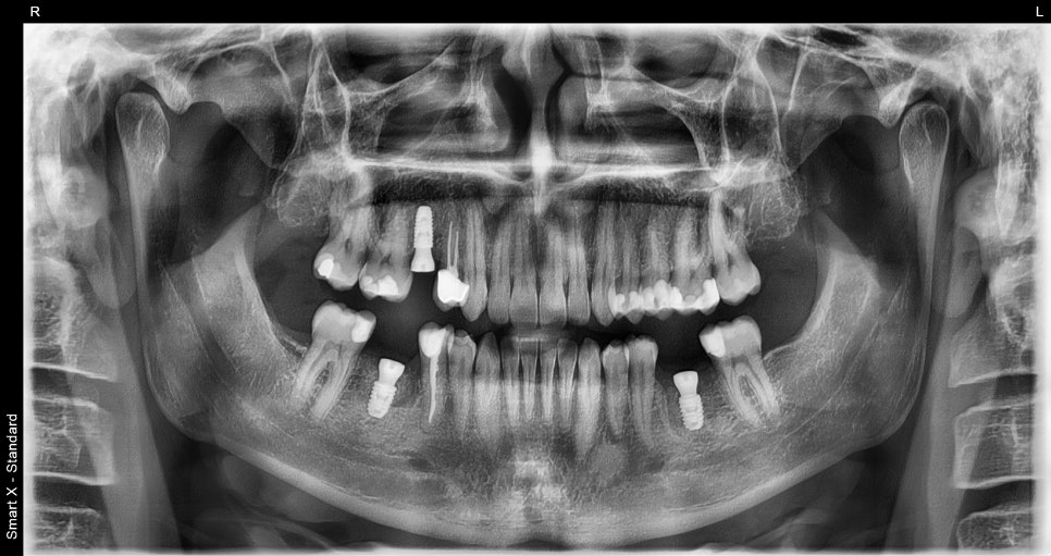
👉 Implant used: Osstem SOI
👉 Bone graft: Allograft (graft) placement

This is the panoramic X-ray taken after implant placement.
The implants were placed neatly and in alignment, just like the adjacent teeth.
⏱ Three-month intensive treatment aligned with the return schedule
The patient’s stay was only 4 months.
Thanks to its systematic treatment system, Seoulob Dental Hospital completed the entire process perfectly within 3 months: implant placement → osseointegration → impression taking → prosthetic completion.
✔️ Immediate implant placement at the same time as extraction
✔️ Allograft placement to reinforce bone quality
✔️ Prosthetic impressions and placement
✔️ Crown and resin treatment, all at once!
The patient finished treatment with a bright smile and returned overseas again 😊

This is the prosthetic design process precisely planned through Seoulob Dental Hospital’s own CAD/CAM system.

This is the final panoramic X-ray after the implants had stably integrated and the prosthetics were successfully placed.


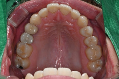
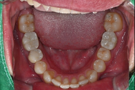
This is the oral condition after completion of both implant, crown, and resin treatments.
Both function and aesthetics were restored satisfactorily.
✈️ A treatment system that works even if you live overseas
After treatment, the patient said,
"My next visit will probably be in a few years."
In response, Seoulob Dental Hospital explained the advantages of the Osstem implant (SOI) product used in the treatment.
"If you are in an area with a Korean dental clinic,
Osstem products are distributed globally,
so prosthetic repair and maintenance should also be easy."
🇰🇷 Why is it better to receive treatment in Korea?
Many people ask this.
Can't dental treatment be done overseas?
In Korea,
✅ Precise treatment based on the latest technology
✅ Collaborative system of specialists from Seoul National University
✅ Use of premium materials: Osstem BA·SOI / Straumann BLX / allograft placement, etc.
high-level treatment is available, recognized worldwide.
❗On the other hand, some overseas dental clinics
-
use lower-quality materials, or
-
provide lower-quality treatment,
-
or proceed inconsistently from diagnosis to prosthetics,
-
so problems after treatment sometimes occur.
👉 In fact, this patient was a case who returned due to a failed previous treatment.
💬 Treatment for foreign patients is also available
Seoulob Dental Hospital
provides English consultation so that foreign patients can receive treatment comfortably,
and carefully adjusts treatment plans even during short stays.
🏥 Seoulob Dental Hospital Information
-
Address: 4th and 5th floors, 196 Baekjegobun-ro, Songpa-gu, Seoul
-
Subway: 3-minute walk from Samjeon Station on Line 9
-
Parking available
-
Naver TalkTalk consultation ID: 서울오브치과병원
🏥 This is what Seoulob Dental Hospital is like.
Seoulob Dental Hospital
operates a collaborative system of five specialists in oral and maxillofacial surgery, prosthodontics, and conservative dentistry, all graduates of Seoul National University,
and specializes in various complex treatments such as high-difficulty implants, trauma, and aesthetic prosthetics.
🔹 Specialist collaboration system – specialists from each department participate together from diagnosis to treatment
🔹 Use of premium materials – only carefully selected materials such as Osstem BA·SOI, Straumann BLX, and allograft materials
🔹 One set of instruments per patient sterilization system – university-hospital-level sterilization system, allowing safe treatment without infection concerns
🔹 Precision diagnostic equipment – accurate diagnosis possible with state-of-the-art intraoral scanners and intraoral endoscopes
🔹 All staff are professional dental hygienists – experienced personnel provide systematic care
🔹 In-house lab operation, with dental technicians on staff – fast and precise management from prosthetic fabrication to maintenance
In addition, Seoulob Dental Hospital
is a 365-day clinic with night and holiday hours, and is a partner dental hospital with 119 emergency response capability, making it the largest dental hospital in Songpa-gu and a secondary medical institution designated by the Ministry of Health and Welfare.
👉 Not only domestic patients but also foreign patients living overseas
are always welcome to experience safe and trustworthy treatment.
Seoulob Dental Hospital
4th and 5th floors, 196 Baekjegobun-ro, Songpa-gu, Seoul