서울오브치과병원
결혼식 D-14, 지금 미백할 타이밍입니다!🦷
💍 결혼식을 앞두고, 함께 빛나는 미소를 준비했어요 :) 결혼식이 가까워질수록 헤어, 메이크업, 드레스까지 하나하나 신경 쓰게 되죠. 그중에서도 정말 중요한 포인트는 바로 미소, 그리고 그 미소를 책임지는 치아입니다 😊 안녕하세요 오늘 서울오브치과병원에는 결혼식을 앞둔 30대 초반 예비신부님께서 예비신랑님과 함...
💍 결혼식을 앞두고, 함께 빛나는 미소를 준비했어요 :)
결혼식이 가까워질수록 헤어, 메이크업, 드레스까지 하나하나 신경 쓰게 되죠.
그중에서도 정말 중요한 포인트는 바로 미소, 그리고 그 미소를 책임지는 치아입니다 😊
안녕하세요 오늘 서울오브치과병원에는 결혼식을 앞둔 30대 초반 예비신부님께서 예비신랑님과 함께 내원하셨어요.
두 분 모두 밝고 자연스러운 치아 미백을 받고, 더욱 환한 모습으로 돌아가셨답니다 💫
🦷 치아 미백, 나에게 맞을까?
치아 미백은 말 그대로 자연치 색상을 더 밝게 만들어주는 시술입니다.
생활 습관이나 식습관(커피, 와인 등)으로 착색된 치아를
안전하고 효과적으로 환하게 만들어주죠.
서울오브치과병원에서는 치아와 잇몸 상태를 꼼꼼히 확인한 후, 농도 조절 가능한 미백제를 사용해
환자 개개인에 맞춘 안전한 미백을 진행합니다.
하지만!
👉 미백은 자연치의 밝기를 끌어올리는 것이기 때문에
선천적으로 어두운 치아, 또는 치아 배열이나 형태가 고민인 분이라면
기대하는 만큼의 드라마틱한 변화는 어려울 수 있어요.
📸 미백 전후 비교 사진
※ 아래 사진은 실제 치료를 받으신 환자분의 동의를 받아 게시하며, 무보정 상태입니다.
조명 또는 햇빛에 따라 색상이 다르게 보일수 있습니다.
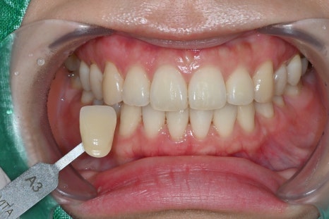
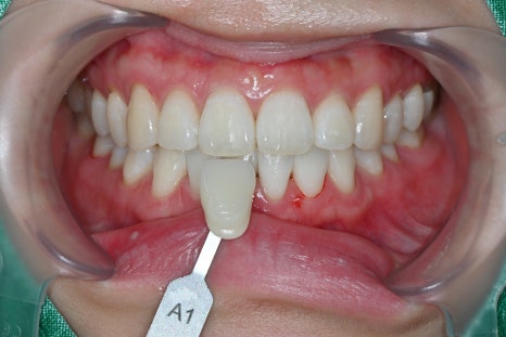
-예비신부님의 Before & After
치아 색상이 밝아지면서 전반적인 인상이 환해졌어요.


미백 전 A3 색상이었던 치아가, 시술 후 A1까지 밝아졌습니다.
하얘진 치아 덕분에 예비신부분 미소가 더 도드라지고, 인상 전체가 또렷해졌어요.
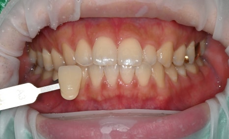
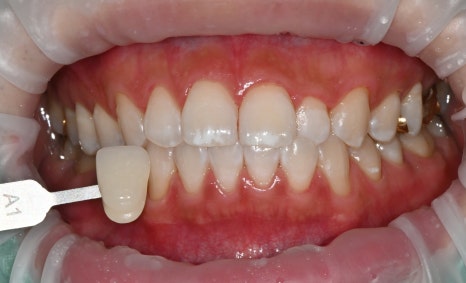
-예비신랑님의 Before & After
화이트닝 후 미소가 또렷해지고, 얼굴 전체가 밝은 인상으로 변화했습니다.


커플 미백의 좋은 예! 예비신랑님 또한 자연스럽고 조화로운 밝기를 얻으셨습니다.
미백 전 A3 shade에서 미백 후 A1으로 화사하게 밝아진 치아색이 입술, 피부 톤과도 잘 어우러져 훨씬 화사해 보입니다.
📏 미백 전·후 색상 변화 – 쉐이드 가이드로 확인해보세요!
서울오브치과병원에서는 미백 시술 전후에 **쉐이드 가이드(치아 색상표)**를 활용해
객관적인 색상 변화를 직접 확인할 수 있도록 안내드리고 있습니다.
아래 사진은 실제 환자분의 미백 전후 색상 비교 모습입니다.
불과 1회 시술만으로도 눈에 띄는 밝기 변화를 경험하실 수 있어요 😊
A: 붉은 갈색빛 / B: 노란빛 / C: 회색빛 / D: 붉은 회색빛 계열로 분류됩니다.

“미백 전에는 A3 색상이었던 치아가, 시술 후 A1까지 밝아진 모습입니다!”
치과에서 사용하는 ‘VITA 쉐이드 가이드’는 미백 효과를 객관적으로 보여주는 기준이 됩니다.
A3 → A1은 3~4단계 이상 밝아진 정도로, 실제로 환자분도 큰 만족을
일반적으로 치아 미백은 A1 혹은 B1 색상을 목표로 진행 합니다.
✨ 미백만으로 부족하다면? 오브제:로 라미네이트도 고려해보세요!
예식 당일 사진이나 영상에서 더 밝고, 더 가지런한 치아를 원하신다면
미백 외에도 **‘오브제:로 라미네이트’**라는 옵션이 있어요.
서울오브치과병원의 오브제:로는 자연치를 최대한 살리면서도 삭제량을 최소화한 초정밀 라미네이트입니다.
치아의 형태와 배열까지 개선할 수 있어 **더 완성도 높은 ‘웨딩 미소’**를 만들 수 있는 심미 솔루션이에요 💎
✔️ 치아가 누렇고 울퉁불퉁한 경우
✔️ 앞니 사이가 벌어져 있거나 살짝 비뚤어진 경우
✔️ 단기간에 가지런하고 깨끗한 인상을 원하신다면
➜ 미백보다는 치아성형 혹은 ‘오브제:로’가 더 적합할 수 있습니다.
❗ 미백 후 주의사항
예쁘게 밝아진 치아 색을 오래 유지하기 위해서는 시술 후 관리가 정말 중요해요.
미백 직후에는 치아 표면이 민감하고 색을 잘 흡수할 수 있어 아래 내용을 꼭 지켜주세요 😊
✔️ 미백 후 24~48시간 주의사항
-
커피, 와인, 김치, 카레 등 착색이 강한 음식은 피해주세요
-
흡연은 가능한 피하시는 것이 좋아요 (착색 & 시림 증상 유발 가능)
-
아주 차갑거나 뜨거운 음식도 잠시 자제해주세요
-
미백용 치약이나 연마 성분 있는 치약은 사용을 피해주세요
✔️ 시림 증상이 생길 수 있어요
-
미백 후 일시적으로 치아가 시릴 수 있지만 대부분 1~2일 내로 완화됩니다
-
시림이 심할 경우 미백 전용 치약 사용 또는 간단한 처방을 통해 조절할 수 있어요
✔️ 색상 유지 팁
-
착색 음식 섭취 후에는 바로 물로 헹구거나 양치해 주세요
-
6개월~1년 간격으로 정기적인 체크나 리터치 미백을 받으면 밝은 색을 오래 유지할 수 있어요
🏥 서울오브치과병원 소개
서울오브치과병원은 서울대 출신 구강악안면외과 전문의 정준홍 대표원장을 중심으로
보철과, 보존과, 통합치의학과 전문의가 협진하는 전문의 중심 진료 시스템을 갖춘 송파 최대 규모 치과병원입니다.
👩⚕️ 의료진 소개
-
정준홍 대표원장 서울대 구강악안면외과 전문의 / 고난도 수술 및 응급 외상 치료 / 구강내시경 특허 보유
-
김수완 원장 서울대 치의학과 졸업 / 앞니 심미보철 & 디지털 보철 특화 / 보존학회 수상 이력
-
정하늘 원장 자연치를 살리는 진료 철학 / 근관치료(신경치료) 및 레진 수복 전문 / 환자의 삶의 질을 높이는 진료 추구
-
장원웅 원장 분당서울대병원 보철과 수련 / 임플란트 및 정밀 보철 / 외상 복원 경험 풍부
-
박지영 원장 보철과 전문의 / 심미보철, 크라운, 브릿지 등 정밀 보철치료 특화 /환자의 감정과 회복 과정에 공감하는 따뜻한 진료 철학을 지닌 의료진
✅ 서울오브치과병원의 차별화된 시스템
-
전 직원 전문 치과위생사 근무
-
병원내 기공소 운영, 치과기공사 근무중
-
대학병원급 멸균 및 감염관리 시스템
-
구강스캐너, 구강내시경 보유
-
환자 개개인 정밀 진단을 바탕으로 한 맞춤형 치료
-
365일 진료 / 야간 진료 / 공휴일 진료 운영
-
119 응급 협력 병원
서울오브치과병원은 과잉진료 없이, 환자에게 꼭 필요한 진료만 정직하게 진행하며
중요한 날을 앞둔 여러분의 미소를 책임지기 위해 끝까지 함께하겠습니다.
📍 서울시 송파구 백제고분로 196, 4층~5층
📞 02-418-2275
📱 카카오톡 상담 아이디: @서울오브치과병원
🚗 건물 주차 가능
서울오브치과병원 서울특별시 송파구 백제고분로 196 4층, 5층
Explore More
Keep Browsing This Clinic's Korean Content Trail.
Return to the source archive for more posts, or move back to the clinic profile to compare the rest of the clinic's public channels.