💍 With the wedding coming up, we prepared a bright smile together :)
As the wedding day gets closer, you start paying attention to everything one by one, from hair and makeup to the dress.
Among them, the truly important point is the smile—and the teeth that support that smile 😊
Hello. Today at Seoul Oh Dental Hospital, a bride-to-be in her early 30s visited with her groom-to-be ahead of their wedding.
Both received bright and natural tooth whitening and returned looking even more radiant 💫
🦷 Is tooth whitening right for me?
Tooth whitening is, quite simply, a procedure that makes the natural tooth color brighter.
It safely and effectively brightens teeth that have become stained by lifestyle or eating habits (coffee, wine, etc.).
At Seoul Oh Dental Hospital, after carefully checking the condition of the teeth and gums, we use whitening agents with adjustable concentrations to provide safe, personalized whitening for each patient.
But!
👉 Because whitening raises the brightness of natural teeth,
if you have naturally dark teeth or are concerned about tooth alignment or shape,
it may be difficult to achieve the dramatic change you expect.
📸 Before-and-after whitening comparison photos
※ The photos below are posted with the consent of actual patients who received treatment and are unedited.
Color may appear different depending on lighting or sunlight.
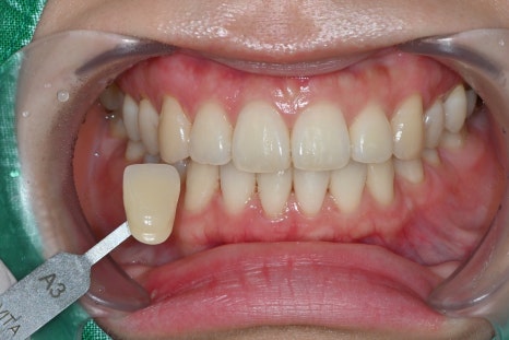
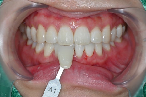
-Bride-to-be's Before & After
As the tooth color became brighter, the overall impression also became lighter and fresher.


The teeth, which were A3 in color before whitening, brightened to A1 after the procedure.
Thanks to the whiter teeth, the bride-to-be’s smile stood out more, and her overall impression became clearer.
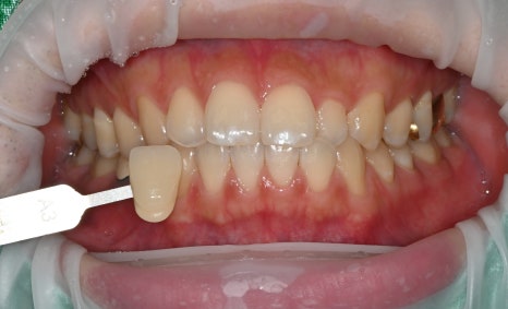
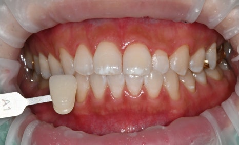
-Groom-to-be's Before & After
After whitening, the smile became more distinct, and the whole face changed to a brighter impression.


A good example of couple whitening! The groom-to-be also achieved a natural and harmonious brightness.
The tooth color, which brightened from A3 shade before whitening to A1 after whitening, also blends well with the lips and skin tone, making the overall look much brighter.
📏 Before-and-after color changes – check with the shade guide!
At Seoul Oh Dental Hospital, before and after whitening procedures, we use a shade guide (tooth color chart)
so that you can directly check the objective color change.
The photo below shows a real patient’s before-and-after color comparison.
Even with just one treatment, you can experience a noticeable change in brightness 😊
A: reddish-brown / B: yellowish / C: grayish / D: reddish-gray tones

“Before whitening, the teeth were A3, and after the procedure, they brightened to A1!”
The ‘VITA Shade Guide’ used in dental clinics serves as an objective standard for showing whitening effects.
A3 → A1 means the teeth became about 3–4 shades brighter, and the patient was also very satisfied.
In general, tooth whitening is performed with a goal of reaching A1 or B1 shade.
✨ If whitening alone is not enough, consider Objet:ro laminate too!
If you want teeth that look brighter and more even in wedding photos or videos on the big day,
there is an option besides whitening: ‘Objet:ro Laminate’.
Seoul Oh Dental Hospital’s Objet:ro is a highly precise laminate that minimizes tooth reduction while preserving as much of the natural tooth as possible.
It is an aesthetic solution that can also improve tooth shape and alignment, creating a more polished ‘wedding smile’ 💎
✔️ If the teeth are yellow and uneven
✔️ If there is a gap between the front teeth or they are slightly crooked
✔️ If you want a neat and clean impression in a short period of time
➜ Rather than whitening, tooth shaping or ‘Objet:ro’ may be more appropriate.
❗ Precautions after whitening
To maintain the beautifully bright tooth color for longer, aftercare after the procedure is very important.
Right after whitening, the tooth surface can be sensitive and may absorb color more easily, so please make sure to follow the points below 😊
✔️ Precautions for 24–48 hours after whitening
-
Please avoid strongly pigmented foods such as coffee, wine, kimchi, and curry
-
It is best to avoid smoking if possible (it may cause staining and sensitivity)
-
Please also avoid very cold or hot foods for a while
-
Please avoid using whitening toothpaste or toothpaste with abrasive ingredients
✔️ Sensitivity may occur
-
Your teeth may feel temporarily sensitive after whitening, but most cases improve within 1–2 days
-
If the sensitivity is severe, it can be managed with whitening toothpaste or a simple prescription
✔️ Tips for maintaining color
-
After eating staining foods, rinse with water or brush your teeth right away
-
If you receive regular checkups or touch-up whitening every 6 months to 1 year, you can maintain a bright color for longer
🏥 About Seoul Oh Dental Hospital
Seoul Oh Dental Hospital is the largest dental hospital in Songpa and has a specialist-centered care system in which board-certified specialists in prosthodontics, conservative dentistry, and integrated dental medicine work together, led by CEO Director Jung Jun-hong, a Seoul National University graduate and specialist in oral and maxillofacial surgery.
👩⚕️ Medical staff introduction
-
Jung Jun-hong, CEO Director: Seoul National University oral and maxillofacial surgery specialist / advanced surgery and emergency trauma care / holder of a patent for an intraoral endoscope
-
Kim Su-wan, Director: Graduate of Seoul National University College of Dentistry / specialized in front-tooth esthetic prosthetics & digital prosthetics / award history from the Conservative Dentistry Society
-
Jeong Ha-neul, Director: Treatment philosophy focused on preserving natural teeth / specialized in root canal treatment and resin restoration / pursues care that improves patients’ quality of life
-
Jang Won-woong, Director: Trained in prosthodontics at Bundang Seoul National University Hospital / implants and precision prosthetics / extensive experience in trauma restoration
-
Park Ji-young, Director: Prosthodontics specialist / specialized in precise prosthetic treatments such as esthetic prosthetics, crowns, and bridges / a clinician with a warm philosophy of care that empathizes with patients’ emotions and recovery process
✅ Seoul Oh Dental Hospital’s differentiated system
-
All staff are professional dental hygienists
-
In-house lab operation, with dental technicians on staff
-
University-hospital-level sterilization and infection control system
-
Equipped with intraoral scanners and intraoral endoscopes
-
Customized treatment based on precise diagnosis for each patient
-
Open 365 days / night treatment / holiday treatment available
-
119 emergency cooperative hospital
Seoul Oh Dental Hospital provides only the treatment truly needed by patients, without unnecessary treatment,
and will stay with you until the end to help protect your smile for your important day.
📍 4th–5th floors, 196 Baekjegobun-ro, Songpa-gu, Seoul
📞 02-418-2275
📱 KakaoTalk consultation ID: @서울오브치과병원
🚗 Building parking available
Seoul Oh Dental Hospital
4th and 5th Floors, 196 Baekjegobun-ro, Songpa-gu, Seoul