서울오브치과병원
소아 턱 외상, 성형외과 말고 치과에서도 치료될까요? 실제 사례로 확인하세요
❓아이가 다쳤을 때, 꼭 성형외과만 가야 할까요? 활발한 아이들에게는 언제 어디서나 크고 작은 사고가 일어날 수 있습니다. 오늘은 놀이터 미끄럼틀 위로 올라가다 넘어지며 턱이 찢어진 여자아이가 내원했던 치료 사례를 소개드리려 합니다. 🎠 사고 경위 아이의 보호자분은 "미끄럼틀 위로 올라가다 발을 헛디뎌 턱이...
❓아이가 다쳤을 때, 꼭 성형외과만 가야 할까요?
활발한 아이들에게는 언제 어디서나 크고 작은 사고가 일어날 수 있습니다.
오늘은 놀이터 미끄럼틀 위로 올라가다 넘어지며 턱이 찢어진 여자아이가 내원했던 치료 사례를 소개드리려 합니다.
🎠 사고 경위
아이의 보호자분은 "미끄럼틀 위로 올라가다 발을 헛디뎌 턱이 바닥에 부딪히며 찢어졌다"며 당황한 목소리로 내원하셨습니다.
상처가 벌어지고 피가 멈추지 않아 응급실이나 성형외과를 가야 할지 고민하시다, 서울오브치과병원을 찾아주셨어요.


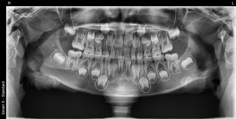
왼쪽 (파노라마 X-ray): 초진 시 외상으로 인해 치아나 턱뼈에 손상이 없는지 확인하기 위해 촬영한 파노라마 엑스레이입니다. 다행히 치아와 뼈에는 이상이 없는 것으로 확인되었습니다.
오른쪽 (초진 당시 찢어진 턱 부위 사진): 내원 당시 턱 부위가 찢어진 상태의 모습입니다. 상처가 벌어져 있는 상태로, 빠른 봉합이 필요한 상황이었습니다.
🩺 치과에서도 외상 치료가 가능합니다
서울오브치과병원은 서울대학교 병원 출신 구강악안면외과 전문의가 상주하며
입 주위 외상에 대한 봉합 치료를 안전하고 빠르게 진행할 수 있습니다.
해당 아이는 상처에 놀란 기색이 역력했지만, 보호자분의 진정과 아이의 협조 덕분에 국소마취 후 실봉합(suture) 처치를 무사히 마칠 수 있었습니다.
- 치료 중 사진

치과에서 국소 마취 후 외상 부위를 정밀하게 봉합(suture)하는 모습입니다. 아이가 잘 협조해주어 안전하게 마무리할 수 있었습니다.
💬 아이가 진료에 잘 협조해주는 게 중요해요
치과에서 외상 치료가 가능하다고 해도,
아이의 협조 여부에 따라 치료 가능 여부가 달라질 수 있습니다.
아이가 병원 자체를 두려워하거나 치료 도중 몸을 심하게 움직일 경우,
오히려 더 큰 위험이 될 수 있어 치료를 진행하기 어려운 경우도 생깁니다.
그래서 무엇보다 부모님의 역할이 중요합니다.
의료진과 아이 사이에서 충분히 설명해주시고 아이의 마음을 안정시켜주는 다리 역할을 해주신다면,
진료는 훨씬 안전하고 원활하게 이뤄질 수 있습니다.
⏱ 2주 후, 말끔히 회복!
이후 아이는 매일 내원해 드레싱과 소독 치료를 받았고,
저희 의료진은 감염 없이 아물 수 있도록 꼼꼼히 확인하며 관리를 이어갔습니다.
2주가 지난 뒤, 상처 부위는 흉터 없이 자연스럽고 깨끗하게 회복되었고,
아이도 병원에 무서움 없이 잘 적응한 모습으로 치료를 마무리했습니다 😊
- 치료 후 사진

실밥 제거 후 모습입니다. 멍은 회복 과정에서 일어나는 자연스러운 변화이며, 실 봉합 부위도 깔끔하게 아물어가는 중입니다.
⛑ 꼭 응급실이나 성형외과만 떠올리지 마세요
턱, 입술, 입 안 등의 외상은
구강악안면외과 전문의가 있는 치과에서도 충분히 치료가 가능합니다.
서울오브치과병원은
-
119 협력 응급치료기관으로 등록되어 있고
-
대학병원급 장비와 체계를 갖춘 2차 의료기관이며
-
무엇보다 대학병원처럼 예약이 길게 밀리지 않아 빠르게 진료를 받으실 수 있습니다.
🏥 서울오브치과병원은
서울오브치과병원은 서울대 출신의 구강악안면외과, 보철과, 보존과등 5인의 전문의 협진 체계를 바탕으로
응급 외상, 수술, 보철, 심미 치료까지 원스톱으로 진료가 가능한 병원입니다.
✔️ 송파구 최대 규모의 치과병원
✔️ 보건복지부 지정 2차 의료기관
✔️ 365일 진료 / 야간진료 / 공휴일 진료
✔️ 병원 내 기공실 운영, 치과기공사 근무 / 전 직원 전문 치과위생사 근무
✔️ 대학병원 급 완벽 멸균 시스템
✔️ 외국인 진료 가능
특히 외상이나 찢어진 상처의 경우, 빠른 판단과 정확한 봉합이 흉터를 줄이는 핵심입니다.
응급한 상황일수록, 얼굴과 입을 전문으로 진료하는 치과의 도움이 필요할 수 있습니다.
📍 서울시 송파구 백제고분로 196, 4층~5층
📞 02-418-2275
서울오브치과병원 서울특별시 송파구 백제고분로 196 4층, 5층
Explore More
Keep Browsing This Clinic's Korean Content Trail.
Return to the source archive for more posts, or move back to the clinic profile to compare the rest of the clinic's public channels.