❓When a child gets hurt, do you really have to go to a plastic surgery clinic?
For active children, small and large accidents can happen anytime, anywhere.
Today, we would like to introduce a treatment case of a girl who came in after slipping and falling while climbing onto a playground slide and cutting her chin.
🎠 How the accident happened
The child’s guardian came in looking flustered and said, "She slipped while climbing onto the slide, and when her chin hit the floor, it got cut."
Worried about whether they should go to the emergency room or a plastic surgery clinic because the wound was open and the bleeding would not stop, they visited Seoul Orb Dental Hospital.


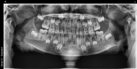
Left (panoramic X-ray): A panoramic X-ray taken at the first visit to check whether there was any damage to the teeth or jawbone due to the trauma. Fortunately, no abnormalities were found in the teeth or bones.
Right (photo of the torn chin area at the first visit): The chin area was torn at the time of the visit. The wound was open, so quick suturing was needed.
🩺 Trauma treatment is also possible at a dental clinic
Seoul Orb Dental Hospital has an oral and maxillofacial surgery specialist from Seoul National University Hospital on staff,
and can safely and quickly provide suturing treatment for injuries around the mouth.
Although the child was clearly startled by the wound, thanks to the guardian’s reassurance and the child’s cooperation, we were able to complete the suture treatment safely under local anesthesia.

This shows the trauma area being carefully sutured after local anesthesia at the dental clinic. Because the child cooperated well, the treatment could be completed safely.
💬 It is important for the child to cooperate well during treatment
Even if trauma treatment is possible at a dental clinic,
whether treatment can be carried out depends on the child’s level of cooperation.
If the child is afraid of the hospital itself or moves their body violently during treatment,
it can instead create greater risk, and treatment may become difficult.
That is why the parent’s role is especially important.
If you help explain things 충분히 between the medical staff and the child and serve as a bridge that helps calm the child’s feelings,
treatment can proceed much more safely and smoothly.
⏱ Two weeks later, fully recovered!
After that, the child visited every day for dressing and disinfection care,
and our medical team continued to monitor the wound carefully to ensure it healed without infection.
After two weeks, the wound area had recovered naturally and cleanly without scarring,
and the child finished treatment looking well adjusted and no longer afraid of the hospital 😊

This is after the sutures were removed. Bruising is a natural part of the recovery process, and the sutured area is healing neatly.
⛑ Don’t immediately think only of the emergency room or plastic surgery clinic
Trauma to the chin, lips, or inside the mouth
can be treated sufficiently at a dental clinic with an oral and maxillofacial surgery specialist.
Seoul Orb Dental Hospital
- is registered as a 119 cooperative emergency treatment institution
- is a secondary medical institution with university-hospital-level equipment and systems
- and, above all, does not have the long appointment delays of a university hospital, so you can receive care more quickly.
🏥 About Seoul Orb Dental Hospital
Based on a collaborative system of five specialists from Seoul National University in oral and maxillofacial surgery, prosthodontics, and conservative dentistry,
Seoul Orb Dental Hospital is a hospital that can provide one-stop care for emergency trauma, surgery, prosthetics, and aesthetic treatment.
✔️ The largest dental hospital in Songpa-gu
✔️ Secondary medical institution designated by the Ministry of Health and Welfare
✔️ Open 365 days / night care / holiday care
✔️ In-house dental lab, with dental technicians on staff / all staff are specialized dental hygienists
✔️ Perfect university-hospital-level sterilization system
✔️ Foreign patient care available
✔️ For trauma or torn wounds in particular, quick judgment and accurate suturing are key to reducing scarring.
In urgent situations, help from a dental clinic that specializes in the face and mouth may be needed.
📍 4th–5th floors, 196 Baekjegobun-ro, Songpa-gu, Seoul
📞 02-418-2275
Seoul Orb Dental Hospital
4th and 5th floors, 196 Baekjegobun-ro, Songpa-gu, Seoul