서울오브치과병원
스케일링도 힘든 당신을 위한 수면진료, 서울오브치과병원
😴 치과가 무섭다면? 의식하 수면진료로 편안하게 치료받으세요 치과 치료가 두려워 병원을 미루고 계신가요? 서울오브치과병원에서는 덴탈포비아(치과공포증)가 있는 분들을 위해 **의식하 수면진료(의식하 진정요법)**을 안전하게 시행하고 있습니다. 💡 의식하 수면진료란? 마취과에서 사용하는 미다졸람, 케타민 등의...
😴 치과가 무섭다면?
의식하 수면진료로 편안하게 치료받으세요
치과 치료가 두려워 병원을 미루고 계신가요?
서울오브치과병원에서는 덴탈포비아(치과공포증)가 있는 분들을 위해
**의식하 수면진료(의식하 진정요법)**을 안전하게 시행하고 있습니다.
💡 의식하 수면진료란?
마취과에서 사용하는 미다졸람, 케타민 등의 안전한 약물을 정맥주사하여
환자가 편안하고 이완된 상태에서 치료를 받을 수 있게 도와주는 방법입니다.
완전히 잠든 것처럼 보이지만,
스스로 호흡이 가능한 안전한 수면 상태를 유지합니다.
✔️ 치료 중의 기억이 거의 없으며
✔️ 통증과 공포감이 줄어들고
✔️ 긴 치료도 순식간에 끝난 것처럼 느껴집니다.
📸 스케일링 전후 사진으로 보는 필요성
▼ 아래는 본원에서 치료한 실제 스케일링 전후 사진입니다.
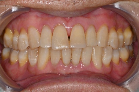
-치료 전


왼쪽 사진: 병원에 첫 내원하셨을때 촬영한 구강 정면사진입니다.
오른쪽 사진: 전체적으로 잇몸이 부어있습니다. 특히 아래 앞니쪽에 치석이 다량으로 쌓여있어 잇몸 염증을 유발하는 상태입니다.
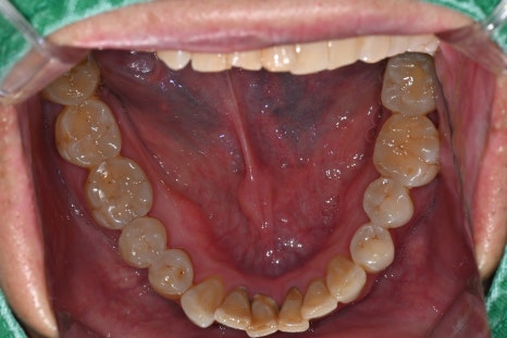
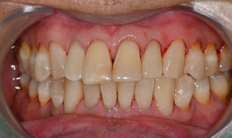
- 치료 후


왼쪽 사진: 치석 제거 후 잇몸선이 깔끔하게 정리되며 구강 위생 개선 되었습니다.
오른쪽 사진: 치석이 제일 많았던 아래 앞니 사진 입니다. 치석 제거후 깨끗해진 상태입니다.
🦷 스케일링은 왜 꼭 받아야 할까요?
스케일링은 단순히 치아 겉면을 깨끗이 하는 것이 아닙니다.
눈에 보이지 않는 잇몸 아래 치석과 세균 제거가 핵심입니다.
-
치석은 충치와 잇몸병의 원인
-
방치 시 **풍치(치주염)**로 발전해 치아를 잃을 수도
-
정기적인 스케일링은 전신 건강(당뇨, 심혈관질환 등)과도 연결
하지만 구역반사, 공포감 때문에 스케일링조차 받기 힘든 분들이 많습니다.
이럴 때, 수면진료를 활용하면 훨씬 더 편안하고 안전하게 치료할 수 있습니다.
🦷 어떤 치료에 수면진료가 가능할까요?
서울오브치과병원에서는 다음과 같은 모든 진료에
의식하 수면진료를 적용할 수 있습니다.
-
✅ 스케일링(치석제거)
-
✅ 충치치료 / 신경치료
-
✅ 크라운 / 브릿지 등 보철치료
-
✅ 사랑니 발치 / 일반 발치
-
✅ 임플란트 수술
-
✅ 고난이도 잇몸치료 / 외과적 수술
서울오브치과에서는 간단한 진료부터 수술까지 모든 과정이 수면진료로 가능합니다.
👨⚕️ 수면진료에 능숙한 ‘응급대응 가능’ 전문의
서울오브치과병원 대표원장은
서울대학교병원 구강악안면외과 수련을 마친 전문의로,
대학병원 마취과 근무 및 전신 마취 수술 경험이 풍부합니다.
실제로 마취 관련 교육과 CPR(심폐소생술)을 정기적으로 수행해왔으며,
수면진료 중 발생할 수 있는 모든 응급상황에 빠르게 대응할 수 있는 능력과 시스템을 갖추고 있습니다.
✅ 치과진료 중 실시간으로 산소포화도, 맥박, 혈압 등을 모니터링하며
✅ 안전하고 정확한 약물 용량으로 환자의 상태에 맞게 조절합니다.
🦷 수면진료, 이런 분들께 꼭 필요합니다
-
치과에 대한 두려움과 공포가 극심하신 분
-
구토반사(기구 넣으면 헛구역질)가 심하신 분
-
치료가 오래 걸리지만 편하게 받고 싶으신 분
-
임플란트 등 고난이도 수술을 무통으로 받고 싶은 분
-
소아·노약자 등 긴장 완화가 필요한 분
🏥 서울오브치과병원은 다릅니다
✅ 의료진 소개
-
서울대학교 출신의 구강악안면외과, 보철과, 보존과 전문의 협진 시스템
-
대표원장님은 대학병원 마취과 근무 경험 보유, 고난도 수술 및 응급치료 능숙
-
365일 진료, 야간·공휴일 진료 가능
-
보건복지부 지정 2차 의료기관 & 119 응급 협력기관
✅ 병원 시스템 & 장비
-
전 직원 전문 치과위생사 근무
-
병원 내 자체 기공소 운영 및 치과 기공사 근무, 빠르고 정밀한 보철 제작
-
구강스캐너, 구강내시경, 전신 모니터링 장비 등
-
대학병원급 장비와 시설
✅ 위치 & 접근성
서울시 송파구 백제고분로 196, 4~5층
잠실역과 삼전역 도보권 위치, 주차 가능, 지하철/버스 접근성 우수
💤 “수면진료로, 치과가 두렵지 않은 경험을”
이제 무섭다고 치료 미루지 마세요.
서울오브치과병원에서는
잠든 사이에, 안전하게, 정밀하게 치료를 완료해드립니다.
📞 02-418-2275
📍 송파구 서울오브치과병원
서울오브치과병원 서울특별시 송파구 백제고분로 196 4층, 5층
Explore More
Keep Browsing This Clinic's Korean Content Trail.
Return to the source archive for more posts, or move back to the clinic profile to compare the rest of the clinic's public channels.