😴 If you’re afraid of the dentist?
Receive treatment comfortably with conscious sedation dentistry
Are you putting off a visit to the hospital because you’re afraid of dental treatment?
At Seoul Of Dental Hospital, for patients with dentophobia (dental phobia),
we safely provide conscious sedation dentistry (conscious sedation therapy).
💡 What is conscious sedation dentistry?
It is a method that helps patients receive treatment in a comfortable, relaxed state by intravenously administering safe medications such as midazolam and ketamine, which are used in anesthesia practice.
Although it may look like you are completely asleep,
you remain in a safe sedated state while still able to breathe on your own.
✔️ There is little to no memory of the treatment
✔️ Pain and fear are reduced
✔️ Even long treatments can feel as if they were over in an instant.
📸 The need shown through before-and-after scaling photos
▼ Below are actual before-and-after scaling photos treated at our clinic.


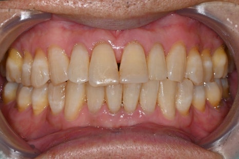
Left photo: An oral frontal view taken during the patient’s first visit to the hospital.
Right photo: The gums are swollen overall. In particular, a large amount of tartar has accumulated around the lower front teeth, causing gum inflammation.


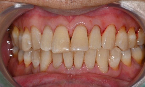
Left photo: After tartar removal, the gum line was neatly organized and oral hygiene improved.
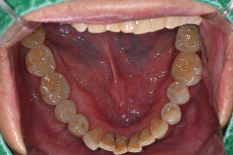
Right photo: This photo shows the lower front teeth area, where the most tartar had accumulated. It is clean after tartar removal.
🦷 Why is scaling necessary?
Scaling is not simply about cleaning the outside surface of the teeth.
The key is removing tartar and bacteria hidden below the gums.
-
Tartar causes cavities and gum disease
-
If left untreated, it can progress to periodontal disease and even lead to tooth loss
-
Regular scaling is also linked to overall health (such as diabetes and cardiovascular disease)
However, many people find even scaling difficult because of gag reflexes or fear.
In such cases, using sedation dentistry makes treatment much more comfortable and safe.
🦷 What treatments can be done with sedation dentistry?
At Seoul Of Dental Hospital, conscious sedation dentistry can be applied to all of the following treatments.
-
✅ Scaling (tartar removal)
-
✅ Cavity treatment / root canal treatment
-
✅ Prosthetic treatment such as crowns / bridges
-
✅ Wisdom tooth extraction / general extraction
-
✅ Implant surgery
-
✅ Advanced gum treatment / surgical procedures
At Seoul Of Dental, everything from simple treatment to surgery is possible under sedation dentistry.
👨⚕️ A specialist skilled in sedation dentistry and capable of emergency response
The chief director of Seoul Of Dental Hospital
is a specialist who completed training in oral and maxillofacial surgery at Seoul National University Hospital,
and has extensive experience working in a university hospital anesthesia department and performing general anesthesia surgeries.
In fact, he has regularly undergone anesthesia-related training and CPR (cardiopulmonary resuscitation),
and the hospital has the ability and systems to respond quickly to any emergency situation that may arise during sedation dentistry.
✅ During dental treatment, oxygen saturation, pulse, blood pressure, and more are monitored in real time,
✅ and the medication dosage is adjusted safely and precisely according to the patient’s condition.
🦷 Sedation dentistry is essential for these patients
-
Those with severe fear and phobia of the dentist
-
Those with a strong gag reflex (gagging when instruments are inserted)
-
Those whose treatment takes a long time but want to receive it comfortably
-
Those who want painless, high-difficulty surgery such as implants
-
Those such as children and the elderly who need relaxation
🏥 Seoul Of Dental Hospital is different
✅ Medical staff introduction
-
A collaborative system of specialists in oral and maxillofacial surgery, prosthodontics, and conservative dentistry from Seoul National University
-
The chief director has experience working in a university hospital anesthesia department and is skilled in advanced surgery and emergency treatment
-
Open 365 days a year, with night and holiday treatment available
-
A secondary medical institution designated by the Ministry of Health and Welfare & an emergency cooperative institution with 119
✅ Hospital system & equipment
-
Professional dental hygienists work throughout the entire staff
-
An in-house dental lab is operated, and dental technicians work on site for fast and precise prosthetic fabrication
-
Oral scanners, intraoral endoscopes, full-body monitoring equipment, and more
-
University hospital-level equipment and facilities
✅ Location & accessibility
4th and 5th floors, 196 Baekjegobun-ro, Songpa-gu, Seoul
Located within walking distance of Jamsil Station and Samjeon Station, parking available, and excellent access by subway/bus
💤 “An experience where the dentist is no longer scary, with sedation dentistry”
From now on, don’t postpone treatment because you’re scared.
At Seoul Of Dental Hospital,
your treatment is completed safely and precisely while you sleep.
📞 02-418-2275
📍 Seoul Of Dental Hospital, Songpa-gu
Seoul Of Dental Hospital
4th and 5th floors, 196 Baekjegobun-ro, Songpa-gu, Seoul