서울오브치과병원
과거에 한 레진이 떨어졌다면? 재치료 전 꼭 읽어보세요!
앞니 레진 치료, 꼭 필요한 이유는? 안녕하세요, 서울오브치과병원입니다 😊 오늘은 많은 분들이 관심을 가지시는 앞니 레진 치료에 대해 이야기해보려고 합니다. 앞니는 말 그대로 우리의 미소를 가장 먼저 보여주는 ‘얼굴의 중심’이기 때문에, 작은 충치나 깨짐도 꽤나 신경 쓰이기 마련입니다. 특히, 웃을 때나 말할 때 잘...
앞니 레진 치료, 꼭 필요한 이유는?
안녕하세요, 서울오브치과병원입니다 😊
오늘은 많은 분들이 관심을 가지시는 앞니 레진 치료에 대해 이야기해보려고 합니다.
앞니는 말 그대로 우리의 미소를 가장 먼저 보여주는 ‘얼굴의 중심’이기 때문에, 작은 충치나 깨짐도 꽤나 신경 쓰이기 마련입니다.
특히, 웃을 때나 말할 때 잘 보이는 부위인 만큼, 치료 시에는 미세한 색상과 모양 조화까지 고려해야 하죠.
레진 치료란 무엇인가요?
레진이란 충치나 파절 부위를 심미적인 복합 수지 재료로 메워주는 치료를 말합니다.
보통 작은 충치 치료나, 앞니 깨짐, 틈새 메움 등에 사용되며,
치아 색상과 유사한 재료를 사용해 자연스러운 결과를 얻을 수 있는 장점이 있습니다.
다만, 레진은 시간이 지나면 변색이 되거나 깨질 수 있어 장기적인 내구성은 보철치료보다 낮은 편입니다.
따라서 환자의 생활습관, 심미 요구도, 예산 등을 종합적으로 고려해 치료법을 선택해야 합니다.
실제 치료 사례 – 30대 여성 환자분의 앞니 레진 치료
소개해드릴 환자분은 30대 여성으로, 앞니 중 하나인 **오른쪽 위 작은 앞니(#12)**이 선천적으로 작고 왜소한 형태였습니다.
과거 다른 병원에서 레진으로 형태를 보완하는 치료를 받으셨지만, 시간이 지나며 레진이 떨어져 다시 내원하신 케이스입니다.
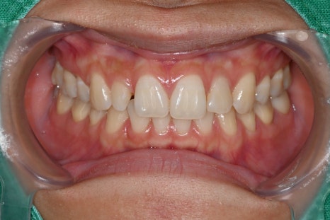
→ 치료 전 사진


초진 당시 촬영한 구강 내 정면 사진입니다.
오래전 치료한 레진이 떨어져 치아가 다시 작고 매끄럽지 않게 보이는 상태입니다.
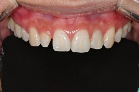
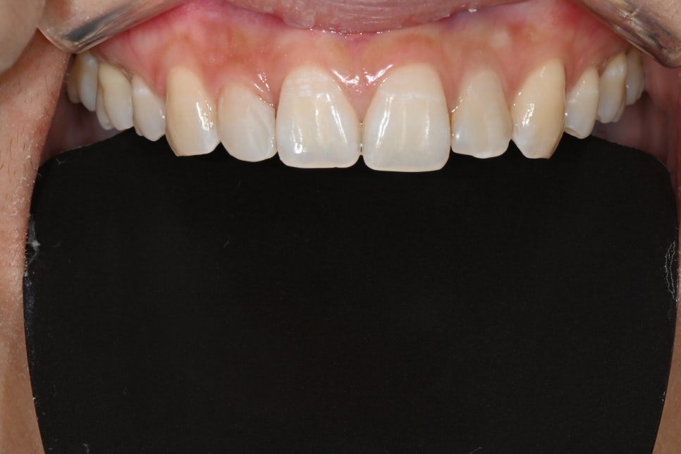
→ 치료 후 사진

치료 후 촬영한 구강내 사진입니다.
주변 치아와 자연스럽게 어우러지는 색상과 형태로 복원된 모습입니다.
서울오브치과병원에서는 기존 치아와 최대한 유사한 색상과 투명도를 가진 고급 레진을 사용하여,
비대칭인 치아 형태를 정밀하게 보완하고 자연스러운 마무리를 도와드렸습니다.
짧은 시간 내 진행된 치료였지만, 만족도는 높았고 환자분께서도 “이제 다시 사진 찍을 수 있을 것 같다”며 웃음을 보이셨습니다.
앞니 레진 치료 후 주의사항
-
치료 직후 음식 섭취는 1시간 뒤부터
-
→ 강하게 물거나 뜨거운 음식은 피하고, 1시간 후부터 식사하세요.
-
앞니로 단단한 음식은 피해주세요
-
→ 오징어, 마른오리, 견과류 등을 앞니로 깨물지 않도록 주의해주세요.
-
색이 잘 드는 음식은 주의!
-
→ 커피, 와인, 카레 등은 섭취 후 바로 양치해 주세요.
-
가글은 무알코올 제품 추천
-
→ 알코올 성분이 강한 제품은 표면을 마모시킬 수 있습니다.
-
치실과 치간칫솔 꼭 사용하기
-
→ 레진 주변은 음식물이 끼기 쉬워 추가 관리가 필요합니다.
-
정기검진 필수! (6~12개월 간격)
-
→ 변색이나 마모 여부를 정기적으로 체크해주세요.
레진보다 더 자연스럽고 오래가는 치료? – 오브제:로 라미네이트
만약 치아 모양 자체가 작거나 비대칭이 심한 경우, 혹은 잦은 레진 재치료로 불편을 겪고 계신다면
보다 안정적이고 심미적인 방법인 라미네이트도 좋은 선택이 될 수 있습니다.
특히 저희 병원에서 시행하는 **‘오브제:로 라미네이트’**는
일반 라미네이트와 달리 미세삭제 또는 무삭제로 자연치아를 최대한 보존하는 방식으로,
치아를 갈지 않아도 되는 미용+기능을 동시에 만족시키는 시술입니다.
또한, 원내 기공소에서 디자인과 제작까지 전 과정을 진행하여
색상·투명도·형태까지 맞춤형 제작이 가능해 앞니 고민이 있으신 분들께 특히 추천드립니다.
마무리하며
앞니는 단순한 치아가 아니라, 자신감을 표현하는 중요한 부위입니다.
서울오브치과병원은 환자분의 요구에 맞춰
최소침습 레진 치료부터 정밀한 라미네이트까지 다양한 해결책을 안내해드리고 있습니다.
충치나 파절이 있다고 바로 갈아야 하는 건 아닙니다.
가장 나은 선택을 함께 고민하고, 가장 안전한 방법으로 도와드릴게요.
서울오브치과병원 소개
🧑⚕️ 전문 의료진 및 전문 인력 협진 시스템
-
서울대 출신 구강악안면외과 전문의 대표원장
-
보존과, 보철과, 심미보철 등 진료과별 전문의 5인 협진 시스템 운영
-
전 직원 전문 교육을 받은 치과위생사 근무
-
병원 내 자체 기공소 운영 및 치과기공사 근무, 빠르고 정밀한 보철물 제작 가능
-
외국인 진료 가능
🦷 첨단 장비 및 시설
-
대학병원급 멸균 시스템 및 1인 1기구 원칙
-
구강스캐너 및 구강내시경 보유
📍 위치
서울시 송파구 백제고분로 196, 4층~5층 (삼전역 5번 출구 도보 1분)
🚗 주차
건물 내 주차 가능
💬 상담 및 예약
네이버 톡톡, 카카오톡 채널: @서울오브치과병원
서울오브치과병원 서울특별시 송파구 백제고분로 196 4층, 5층
Explore More
Keep Browsing This Clinic's Korean Content Trail.
Return to the source archive for more posts, or move back to the clinic profile to compare the rest of the clinic's public channels.