Why Is Front Tooth Resin Treatment Necessary?
Hello, this is Seoul Ob Dental Hospital 😊
Today, we’d like to talk about front tooth resin treatment, which many people are interested in.
The front teeth are, quite literally, the “center of the face” that show our smile first, so even a small cavity or chip can be quite concerning.
In particular, since this area is clearly visible when you smile or speak, treatment also needs to take fine color and shape harmony into account.
What Is Resin Treatment?
Resin treatment refers to filling a cavity or fractured area with an esthetic composite resin material.
It is commonly used for treating small cavities, repairing chipped front teeth, or closing gaps,
and it has the advantage of producing natural-looking results by using a material similar to the tooth color.
However, resin can discolor or break over time, so its long-term durability is generally lower than prosthetic treatment.
Therefore, the treatment method should be selected after considering the patient’s lifestyle, esthetic needs, budget, and other factors together.
Actual Treatment Case – Resin Treatment for a Front Tooth in a Woman in Her 30s
The patient introduced here is a woman in her 30s, and one of her front teeth, the upper right lateral incisor (#12), was congenitally small and undersized.
She had previously received treatment at another clinic to improve the shape with resin, but as time passed, the resin came off and she returned for treatment.
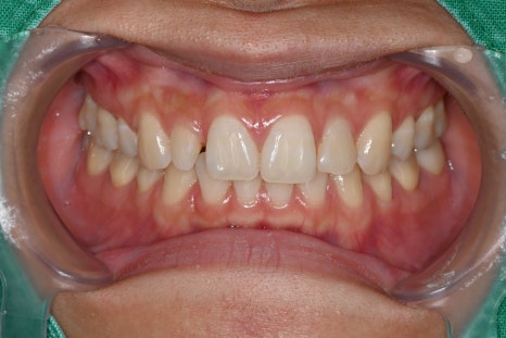
→ Before treatment photo


This is an intraoral frontal photo taken at the first visit.
The resin that had been treated long ago had fallen off, making the tooth look small again and not smooth.
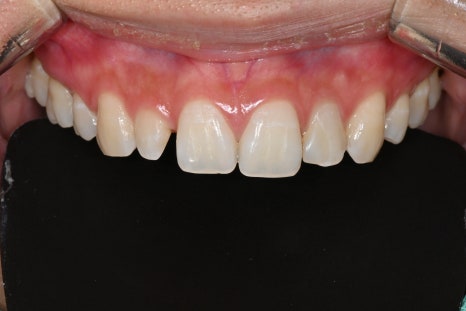
→ After treatment photo

This is an intraoral photo taken after treatment.
It has been restored with a color and shape that blend naturally with the surrounding teeth.
At Seoul Ob Dental Hospital, we used a high-quality resin with a color and translucency as close as possible to the existing tooth,
precisely corrected the asymmetrical tooth shape, and helped create a natural finish.
Although the treatment was completed in a short time, satisfaction was high, and the patient smiled, saying, “I think I can take photos again now.”
Precautions After Front Tooth Resin Treatment
-
You can eat food starting 1 hour after treatment
-
→ Avoid biting hard or hot foods, and eat starting 1 hour later.
-
Please avoid hard foods with your front teeth
-
→ Please be careful not to bite dried squid, dried duck, nuts, and similar foods with your front teeth.
-
Be careful with foods that stain easily!
-
→ After consuming coffee, wine, curry, etc., brush your teeth right away.
-
Alcohol-free mouthwash is recommended
-
→ Products with strong alcohol content may wear down the surface.
-
Be sure to use floss and interdental brushes
-
→ Food can easily get stuck around resin, so additional care is needed.
-
Regular checkups are essential! (Every 6 to 12 months)
-
→ Please regularly check for discoloration or wear.
A More Natural and Longer-Lasting Option Than Resin? – Obje:Ro Laminate Veneer
If the tooth shape itself is small or significantly asymmetrical, or if you are experiencing discomfort from frequent resin retreatments,
laminate veneer, a more stable and esthetic method, can also be a good option.
In particular, “Obje:Ro Laminate Veneer” performed at our hospital
is different from conventional laminate veneers in that it preserves the natural tooth as much as possible through minimal or no preparation,
making it a procedure that satisfies both cosmetics and function without having to grind down the teeth.
In addition, since the entire process from design to fabrication is carried out in our in-house dental lab,
customization is possible for color, translucency, and shape, making it especially recommended for those concerned about their front teeth.
In Closing
The front teeth are not just teeth; they are an important area that expresses confidence.
Seoul Ob Dental Hospital offers a variety of solutions tailored to the patient’s needs,
from minimally invasive resin treatment to precise laminate veneers.
If there is a cavity or fracture, it does not mean the tooth must be ground down right away.
We will consider the best option together and help you in the safest way possible.
About Seoul Ob Dental Hospital
🧑⚕️ Collaborative system with specialized medical staff and professionals
-
Head doctor from Seoul National University, a specialist in oral and maxillofacial surgery
-
Operates a collaborative system with five specialists by department, including conservative dentistry, prosthodontics, and esthetic prosthodontics
-
Dental hygienists who have received professional training work at the hospital
-
Operates its own in-house dental lab and employs dental technicians, enabling fast and precise prosthesis fabrication
-
Treatment available for foreign patients
🦷 Advanced equipment and facilities
📍 Location
4th–5th floors, 196 Baekjegobun-ro, Songpa-gu, Seoul (1 minute on foot from Exit 5 of Samjeon Station)
🚗 Parking
Parking available in the building
💬 Consultation and reservation
Naver TalkTalk, KakaoTalk Channel: @서울오브치과병원
Seoul Ob Dental Hospital
4th and 5th Floors, 196 Baekjegobun-ro, Songpa-gu, Seoul