서울오브치과병원
발치 후 기다리지 말고 바로 심자! 뼈가 살아나는 골든타임
🦷 발치하자마자 임플란트를 심으면 뼈가 더 잘 생긴다고요? 고혈압·당뇨·흡연자도 성공한 당일 임플란트 사례 안녕하세요, 서울오브치과병원입니다 💚 치아를 빼야 할 상황에서 많은 분들이 고민하십니다. “치아를 빼고, 임플란트는 언제 심는 게 좋을까요?” 놀랍게도, 가장 이상적인 시기는 바로 발치 직후입니다. 오늘은 전...
🦷 발치하자마자 임플란트를 심으면 뼈가 더 잘 생긴다고요?
고혈압·당뇨·흡연자도 성공한 당일 임플란트 사례
안녕하세요, 서울오브치과병원입니다 💚
치아를 빼야 할 상황에서 많은 분들이 고민하십니다.
“치아를 빼고, 임플란트는 언제 심는 게 좋을까요?”
놀랍게도, 가장 이상적인 시기는 바로 발치 직후입니다.
오늘은 전신질환과 다양한 악조건이 있었음에도 발치 당일 임플란트를 성공적으로 마친 환자분의 사례와 함께
즉시 임플란트의 장점과 서울오브치과병원만의 차별점을 함께 소개해 드릴게요.
✅ 발치 후 바로 임플란트를 심으면 좋은 이유 4가지
1️⃣ 회복 반응이 가장 활발한 골든타임
발치 직후에는 우리 몸이 상처를 치유하기 위해
혈류와 성장인자가 집중되며 뼈 재생이 가장 활발하게 일어납니다.
2️⃣ 골흡수 방지와 공간 유지 효과
치아를 뺀 후 시간이 지나면 뼈가 줄어들 수 있지만,
임플란트를 즉시 심으면 뼈의 볼륨을 유지할 수 있습니다.
3️⃣ 임플란트 표면이 뼈 생성을 유도
요즘 임플란트는 조골세포가 잘 달라붙도록 설계되어 있어
식립 후 뼈 형성이 더 잘 일어납니다.
4️⃣ 수술 횟수 감소, 전체 치료 기간 단축
발치와 식립을 한 번에 하므로, 시간·비용 모두 절약되며
환자 부담도 훨씬 줄어듭니다.
👤 실제 환자 사례 – 발치 당일 식립 성공
🟡 50대 남성 환자분
환자분께서는 임플란트 치료를 원하셔서 본원에 내원하셨습니다.
-
전신질환: 고혈압(아스피린 미복용), 당뇨, 턱관절장애(TMJ)
-
기타 특징: 흡연 중이시며, 입을 오래 벌리는 것이 불편한 상태였습니다.
🔍 초진 진단 요약
-
오른쪽 위 어금니 중 맨 뒤 치아는 처음부터 없던 상태였고,
-
그 앞쪽 큰 어금니는 치아 뿌리 끝에 염증이 심한 상태였습니다.
-
또 그 앞의 작은 어금니는 많이 흔들리는 상태였습니다.
▶ 이 세 치아 중 두 개를 발치하고, 그 자리에 임플란트를 두 개 심었으며,
전체적으로 잇몸 상태도 함께 치료해 염증과 뼈 손실을 예방하였습니다.


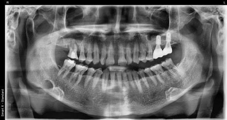
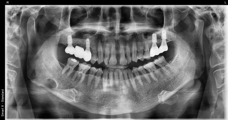
왼쪽 사진: 환자분 첫 내원 당시 파노라마 엑스레이 사진입니다.
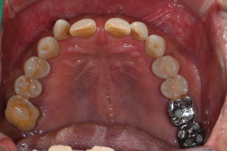
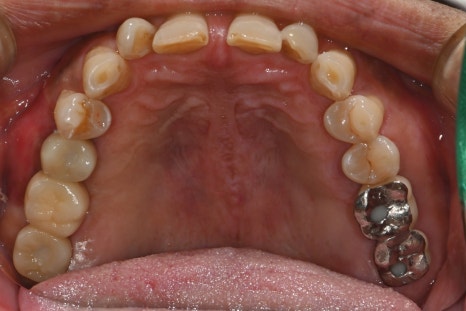
오른쪽 사: 초기 구강 내 사진으로, 어금니 쪽 잇몸과 치아 상태를 보여줍니다.
맨 뒤 큰 어금니는 처음 내원 시부터 결손된 상태였고, 그 앞 어금니는 치근단 염증이 심한 상태였습니다.
또한 작은 어금니는 흔들림이 심해, 두 치아 모두 발치 후 임플란트로 대체하였고, 전체 잇몸 치료도 함께 병행하여 치료 계획을 수립했습니다.
🦷 치료 일정 요약
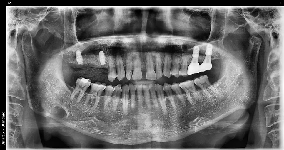
- 1월 초: 오른쪽 염증심한 치아 발치 후 즉시 임플란트 식립 (#17 #15 두개 식립 / 동종골 뼈이식)+ 전체 잇몸 치료 병행 (잇몸 염증 및 골소실 예방 목적)

#16(오른쪽 위 첫번째 큰 어금니), #15(오른쪽 위 두번째 작은 어금니) 발치 후 즉시 임플란트를 식립한 파노라마 엑스레이입니다.
흡연자 특성을 고려해 골유착 속도가 빠를 수도 있지만, 잇몸 상태와 전신질환(고혈압, 당뇨 등)을 고려하여 안전하게 1차/2차로 수술을 나눠 진행했습니다.
※ 필요 시에는 발치 당일 힐링 어버트먼트를 함께 연결해 크라운을 더 빠르게 완성하는 것도 가능합니다.
- 1월 중순: 실밥 제거 및 경과 확인: 사진 없음
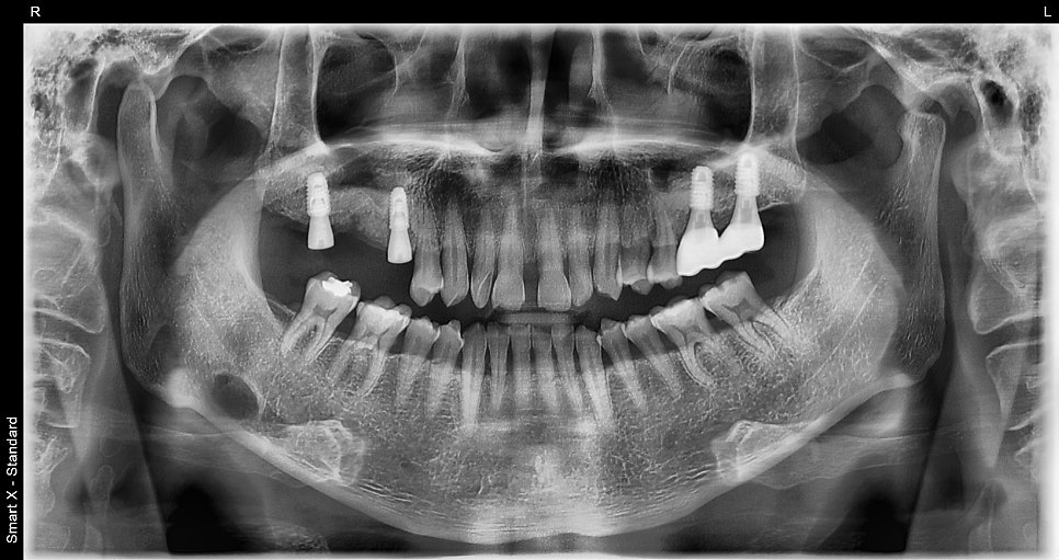
- 3월 중순: 2차 수술, 단추 (힐링어버트먼트) 연결

2차 수술 후 힐링어버트먼트 연결까지 완료된 상태의 파노라마 엑스레이입니다.
임플란트 식립 위치가 안정적으로 유지되고 있으며, 1차 수술 이후 잇몸 염증이나 부작용 없이 경과가 매우 우수했습니다.
- 4월 초~중순: 구강스캐너로 본 뜨기 → 최종 보철 장착 완료


왼쪽 사진: 최종 보철 장착 후 촬영한 파노라마 엑스레이입니다.
오른쪽 사진 : 치료가 마무리된 후의 구강 내 사진입니다.
보철물은 지르코니아 재료로 제작되어 단단하면서도 심미적이며, 자연치와의 조화가 뛰어나게 마무리되었습니다.
✔️ 고혈압, 당뇨, 흡연, 턱관절 장애 등 쉽지 않은 조건이었지만
정확한 진단 + 좋은 재료 사용 + 발치 당일 식립 + 잇몸치료 병행을 통해
단기간 내에 안정적인 결과를 얻을 수 있었습니다.
💡 발치와 동시에 임플란트를 고민 중이신가요?
모든 케이스가 당일 임플란트가 가능한 건 아니지만,
정확한 진단과 준비가 이루어진다면,
가장 뼈가 잘 만들어질 수 있는 시점에 맞춘 치료가 가능합니다.
특히 서울오브치과병원은
✔️ 일반 병원에서 흔히 사용하는 이종골이 아닌, 동종골
✔️ 저가 임플란트가 아닌, 고정력과 생착률이 높은 좋은 임플란트
를 사용하여 뼈 형성 및 치료 안정성에서 차별화된 결과를 만들어냅니다.
🏥 서울오브치과병원은
📍 서울대 출신 구강외과·보철·보존과·심미보철 전문의 5인 협진 시스템
🦷 전 직원 전문교육 받은 치과위생사 근무
✔️ 외국인 진료 가능
🧪구강스캐너 & 구강내시경 보유
🏗 병원 내 기공소 운영 → 원내 치과 기공사 근무, 빠르고 정밀한 보철 제작
🛡 대학병원급 멸균 시스템 & 119 협력 응급수술 체계
📞 상담 및 예약: 02-418-2275
📍 주소: 서울시 송파구 백제고분로 196, 4~5층
🅿️ 주차 가능
💬 카카오톡, 네이버 톡톡: 서울오브치과병원
📸 인스타그램 / 블로그 / 유튜브 운영 중
이제 임플란트는 기다리는 것이 아니라, 타이밍과 재료가 핵심입니다.
서울오브치과병원에서 정확한 진단과 최고급 재료로 완성도 높은 치료를 경험해보세요 😊
서울오브치과병원 서울특별시 송파구 백제고분로 196 4층, 5층
Explore More
Keep Browsing This Clinic's Korean Content Trail.
Return to the source archive for more posts, or move back to the clinic profile to compare the rest of the clinic's public channels.