🦷 If an implant is placed right after tooth extraction, does bone form better?
Same-day implant cases that succeeded even in patients with hypertension, diabetes, and smoking
Hello, this is Seoul Aub Dental Hospital 💚
Many people worry when they are faced with a tooth that needs to be extracted.
“When should I get an implant after a tooth is extracted?”
Surprisingly, the most ideal time is right after extraction.
Today, we’ll introduce a case of a patient who successfully received a same-day implant despite systemic diseases and various unfavorable conditions, along with the benefits of immediate implants and what makes Seoul Aub Dental Hospital different.
✅ 4 reasons why placing an implant right after extraction is beneficial
1️⃣ The golden time when the recovery response is most active
Right after extraction, the body focuses blood flow and growth factors to heal the wound,
and bone regeneration occurs most actively.
2️⃣ Prevents bone resorption and helps maintain space
Over time after a tooth is removed, the bone can shrink,
but placing an implant immediately helps preserve bone volume.
3️⃣ The implant surface encourages bone formation
Modern implants are designed so that osteoblasts can adhere well,
which helps bone formation after placement.
4️⃣ Fewer surgeries and a shorter overall treatment period
Because extraction and placement are done at the same time, both time and cost are reduced,
and the burden on the patient is significantly lowered.
👤 Actual patient case – successful same-day placement after extraction
🟡 Male patient in his 50s
The patient visited our clinic seeking implant treatment.
-
Systemic conditions: hypertension (not taking aspirin), diabetes, temporomandibular joint disorder (TMJ)
-
Other characteristics: he was a smoker and had difficulty keeping his mouth open for long periods.
🔍 Summary of the initial diagnosis
-
The last molar on the upper right side was missing from the beginning,
-
the large molar in front of it had severe inflammation at the root tip,
-
and the small molar in front of that was very loose.
▶ Among these three teeth, two were extracted and two implants were placed in those sites,
and the overall gum condition was also treated to help prevent inflammation and bone loss.


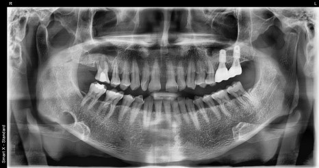
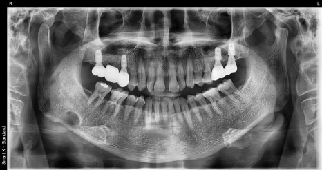
Left photo: panoramic X-ray taken at the patient’s first visit.
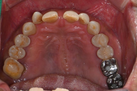
Right photo: initial intraoral photo showing the condition of the gums and teeth in the molar area.
The large molar at the very back had already been missing at the first visit, and the molar in front of it had severe periapical inflammation.
In addition, the small molar was severely mobile, so both teeth were extracted and replaced with implants, while overall gum treatment was also performed to establish the treatment plan.
🦷 Treatment schedule summary
- Early January: Immediate implant placement after extracting the tooth with severe inflammation on the right (#17 and #15, two implants placed / allograft bone graft) + overall gum treatment performed at the same time (for the prevention of gum inflammation and bone loss)

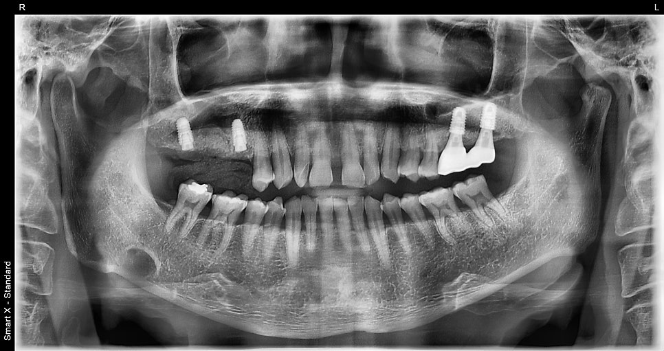
This panoramic X-ray shows the immediate implant placement after extraction of #16 (the first upper right molar) and #15 (the second upper right premolar).
Considering the patient’s smoking status, osseointegration may have progressed quickly, but taking into account gum condition and systemic diseases such as hypertension and diabetes, the surgery was safely divided into first and second stages.
※ If needed, a healing abutment can also be connected on the day of extraction to complete the crown faster.
-
Mid-January: Suture removal and follow-up checkup: no photo
-
Mid-March: Second surgery, healing abutment connected

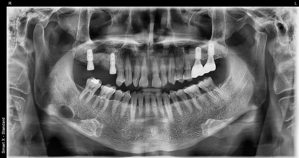
This panoramic X-ray shows the condition after the second surgery and completion of healing abutment connection.
The implant placement sites remained stable, and the progress after the first surgery was excellent, with no gum inflammation or complications.
- Early to mid-April: Impressions taken with an intraoral scanner → final prosthetic restoration completed


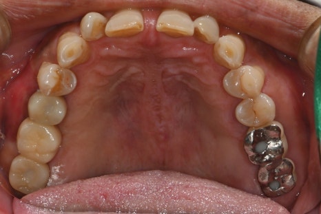
Left photo: panoramic X-ray taken after the final prosthetic restoration was placed.
Right photo: intraoral photo after treatment was completed.
The prosthesis was made with zirconia material, resulting in a strong yet aesthetically pleasing finish with excellent harmony with the natural teeth.
✔️ Although this was not an easy case due to hypertension, diabetes, smoking, TMJ disorder, and other factors,
through accurate diagnosis + use of quality materials + same-day extraction and placement + concurrent gum treatment,
a stable result could be achieved in a short period of time.
💡 Are you considering an implant at the same time as extraction?
Not every case is suitable for same-day implant placement,
but if proper diagnosis and preparation are carried out,
treatment can be timed for when bone can form most effectively.
In particular, Seoul Aub Dental Hospital uses
✔️ allograft bone, not the xenograft material commonly used at general clinics
✔️ high-quality implants with strong fixation and a high success rate, rather than low-cost implants
to achieve differentiated results in bone formation and treatment stability.
🏥 Seoul Aub Dental Hospital offers
📍 A five-doctor collaborative system with specialists in oral surgery, prosthodontics, restorative dentistry, and esthetic prosthodontics from Seoul National University
🦷 Dental hygienists with specialized training working throughout the hospital
✔️ Foreign patient care available
🧪 Equipped with an intraoral scanner & intraoral endoscope
🏗 In-house lab operation → in-house dental technicians for fast and precise prosthetic fabrication
🛡 University-hospital-level sterilization system & emergency surgery response system in cooperation with 119
📞 Consultation and reservations: 02-418-2275
📍 Address: 4th–5th floors, 196 Baekjegobun-ro, Songpa-gu, Seoul
🅿️ Parking available
💬 KakaoTalk, Naver TalkTalk: Seoul Aub Dental Hospital
📸 Instagram / blog / YouTube in operation
From now on, implants are not just about waiting—the key is timing and materials.
Experience high-quality treatment with accurate diagnosis and premium materials at Seoul Aub Dental Hospital 😊
Seoul Aub Dental Hospital
4th and 5th floors, 196 Baekjegobun-ro, Songpa-gu, Seoul