서울오브치과병원
90대도 가능한 임플란트, 서울오브치과 실사례 공개!
약 많고 전신질환 있어도 임플란트 가능할까요? 서울오브치과병원 고령 환자 치료 사례입니다 👋 인삿말 “연세가 많아서 임플란트는 어려울까요?” 많은 어르신과 보호자분들이 고민하시는 부분입니다. 하지만 건강 상태가 안정적이라면, 90대에도 임플란트 치료는 충분히 가능합니다. 오늘은 다양한 전신질환을 갖고 계셨던 90...
약 많고 전신질환 있어도 임플란트 가능할까요?
서울오브치과병원 고령 환자 치료 사례입니다
👋 인삿말
“연세가 많아서 임플란트는 어려울까요?” 많은 어르신과 보호자분들이 고민하시는 부분입니다.
하지만 건강 상태가 안정적이라면, 90대에도 임플란트 치료는 충분히 가능합니다.
오늘은 다양한 전신질환을 갖고 계셨던 90대 어르신이 성공적으로 임플란트 치료를 마친 실제 사례를 소개합니다.
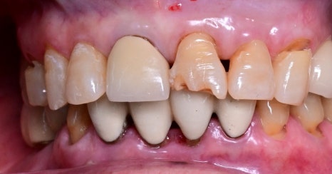
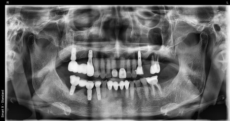
✅ 치료 전 사진


왼쪽 사진: 처음 내원하셨을 때 촬영한 파노라마 엑스레이입니다.
기존 임플란트 주변 어금니 여러 개에서 염증과 흔들림이 보였고, 전체적으로 저작 기능 저하와 심미적인 불편함이 있었습니다.
오른쪽 사진: 환자분의 앞니 구강 내 사진입니다.
앞니는 깨지고 오래된 보철물도 있어, 심미성과 기능 회복이 함께 필요한 상태였습니다.
환자분은 90대 초반의 여성 어르신으로 고혈압, 고지혈증, 뇌혈관질환 등 만성 질환이 있고 치매 관련 영양제를 포함해 복용 중인 약이 6가지 이상이었습니다.
"양쪽 어금니가 다 흔들리는데, 오른쪽 위부터 치료하고싶어요"라는 말씀으로 보화분과 함께 내원하셨습니다.
✅ 치료 계획
진단 결과 및 치료 방향
-
#15 오른쪽 위 두번째 작은 어금니: 발치 후 즉시 임플란트(뼈이식 포함)
-
#16 오른쪽 위 첫번째 큰 어금니: 기존 임플란트 제거 후, #17과 함께 연결할 예정
-
#17 오른쪽 위 두번째 큰 어금니: 기존 임플란트는 보존, 크라운 내면 수리 후 연결 pontic으로 사용
-
#21 왼쪽 위 첫번째 앞니: 크라운 치료 진행
-
나머지 치아(#26 왼쪽 위 두번째 큰 어금니 등)는 환자 컨디션을 보며 차후 치료 고려
👉 전신질환과 연세를 고려하여 꼭 필요한 부위만 최소한으로 치료 계획했습니다.
✅ 치료 중 사진


임플란트 수술 직후 파노라마 엑스레이이와 수술 장면입니다.
#15 는 뼈가 다 녹아 발치 후 즉시 임플란트를 식립하고, 기존 #16 임플란트는 제거 했습니니다.
보통 두 번에 나눠 진행하는 수술(식립과 힐링 단추 연결)을
환자분 내원 부담을 줄이기 위해 한 번에 진행했습니다.
처음 내원 시에는 복용약이 많아 출혈 위험이 있어 스케일링과 앞니 크라운 치료만 우선 진행했습니다.
2주 후, 약 복용을 조절하고 전신 컨디션이 안정된 상태에서 1차 수술(식립)과 2차 수술(치유캡 연결)을 한 번에 진행했습니다.
수술은 약 15분 내외로 빠르게 끝났고, 통증이나 부작용 없이 회복되었습니다.
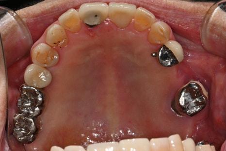
✅ 치료 후 사진



첫번째 사진: 치료 완료 후 파노라마 X-ray입니다. 새로 심은 #15 임플란트와 기존 #17 임플란트를 연결하여 어금니 기능을 회복했습니다.
두번째 사진: 치료 후 구강 내 모습입니다.
앞니 크라운과 어금니 임플란트 보철까지 완성된 상태로, 정확하게 맞물리며 식사 시 불편이 크게 줄어들었습니다.
세번째 사진: 구강스캐너로 촬영한 디지털 보철 디자인 이미지입니다. 모든 보철물은 병원 내 기공실에서 정밀하게 제작되었습니다.
임플란트는 안정적으로 유착되었고, 두 달 후 오른쪽 작은 어금니 임플란트 보철까지 마무리되었습니다.
씹는 기능이 회복되어 식사 시 불편함도 크게 줄었고, 보호자분께서도 “생각보다 수월하고 빨랐다”며 만족을 표하셨습니다 😊
✅ 임플란트 수술 후 주의사항
-
수술 당일은 충분한 휴식을 취해주세요
-
수술 부위는 칫솔 대신 가글로 부드럽게 관리해주세요
-
일주일간 금주·금연, 자극적인 음식은 피해주세요
-
약은 처방대로 복용하시고, 불편 시 병원에 문의해주세요
-
정기검진과 스케일링은 꼭 필요합니다
서울오브치과병원은 고령 환자분의 전신상태를 고려해 세심한 수술 후 관리까지 함께 제공합니다.
✅ 틀니 vs 임플란트 비교
| 항목 | 틀니 | 임플란트 |
|---|---|---|
| 고정력 | 헐거울 수 있음 | 단단하게 고정됨 |
| 사용감 | 불편감 많음 | 자연치에 가까운 사용감 |
| 음식 씹기 | 어려움 있음 | 대부분의 음식 섭취 가능 |
| 장기 안정성 | 뼈 흡수로 틀니 변화 가능성 있음 | 뼈 보존 효과 있어 장기적으로 유리 |
| 관리 | 자주 빼서 세척해야 함 | 일반 치아처럼 관리 가능 |
✅ 고령 환자에게도 임플란트를 추천하는 이유
틀니는 착용은 쉽지만 불편감, 음식물 낌, 잇몸 통증 등이 자주 발생합니다.
반면 임플란트는 고정력이 뛰어나고, 노년기의 삶의 질을 높이는 데 훨씬 유리합니다.
서울오브치과병원은 환자의 전신 건강 상태를 면밀히 고려해
안전하고 부담을 줄이는 방식으로 맞춤형 치료를 제공합니다.
🦷 만 65세 이상, 보험 적용 임플란트 가능
만 65세 이상이신 분들은 건강보험 혜택으로 임플란트 2개까지 보험 적용이 가능합니다.
경제적 부담을 줄이며, 전문적인 진단과 수술을 받을 수 있습니다.
💬 마무리하며
“나이가 많아서 치료는 어렵지 않을까”라는 걱정, 서울오브치과병원에서는 달라질 수 있습니다.
전신 상태를 철저히 파악하고, 꼭 필요한 부위만 정밀하게 치료하는 것이 고령 환자분에게 가장 안전한 접근입니다.
씹을 수 있다는 기쁨, 말할 수 있다는 자신감, 서울오브치과병원이 지켜드리겠습니다. 💚
🏥 서울오브치과병원 소개
서울오브치과병원은
✔ 서울대 출신 구강악안면외과, 보철과, 보존과 등 5인 전문의 협진 시스템
✔ 전 직원 전문교육 받은 치과위생사 근무중
✔ 병원 내 기공실 운영, 치과기공사 근무중
✔ 대학병원급 멸균 시스템
✔ 구강스캐너, 구강내시경 보유
✔ 외국인 진료 가능
✔ 365일 진료 / 야간진료 / 119 협력 응급치과
✔ 네이버 톡톡, 카카오톡 서울오브치과 로 문의가능
📍 서울시 송파구 백제고분로 196, 4층~5층
🅿️ 주차 가능, 티맵/카카오맵/네이버지도에서 '서울오브치과' 검색 시 정확히 안내됩니다.
서울오브치과병원 서울특별시 송파구 백제고분로 196 4층, 5층
Explore More
Keep Browsing This Clinic's Korean Content Trail.
Return to the source archive for more posts, or move back to the clinic profile to compare the rest of the clinic's public channels.