Can implants be placed even if you take a lot of medication or have systemic diseases?
This is a treatment case of an elderly patient at Seoul Above Dental Hospital.
👋 Greeting
“Is implant treatment difficult because of advanced age?” This is a concern many older patients and their families have.
However, if your health condition is stable, implant treatment is fully possible even in your 90s.
Today, we are introducing a real case of a patient in their 90s with various systemic diseases who successfully completed implant treatment.
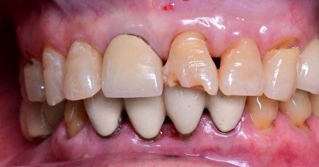
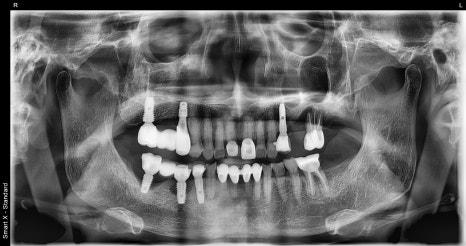
✅ Photos before treatment


Left photo: This panoramic X-ray was taken at the patient’s first visit.
Several molars around the existing implants showed inflammation and mobility, and overall there was reduced chewing function and aesthetic discomfort.
Right photo: An intraoral photo of the patient’s front teeth.
The front teeth were broken and there were also old prosthetics, so both esthetics and function needed to be restored.
The patient was a woman in her early 90s with chronic conditions such as high blood pressure, hyperlipidemia, and cerebrovascular disease, and she was taking more than six medications, including supplements related to dementia.
She came in with her daughter-in-law, saying, "Both molars are loose, so I’d like to treat the upper right side first."
✅ Treatment plan
Diagnosis and treatment direction
-
#15 upper right second premolar: immediate implant placement after extraction (including bone graft)
-
#16 upper right first molar: removal of the existing implant, then planned to be connected with #17
-
#17 upper right second molar: existing implant preserved, inner side of the crown repaired and used as a connected pontic
-
#21 upper left central incisor: crown treatment
-
The remaining teeth (#26 upper left second molar, etc.) were to be considered for future treatment while monitoring the patient’s condition
👉 Considering the systemic diseases and age, we planned only the minimum necessary treatment in the essential areas.
✅ Photos during treatment


These are the panoramic X-ray and surgical scene immediately after implant surgery.
For #15, where the bone had completely resorbed, an immediate implant was placed after extraction, and the existing #16 implant was removed.
A procedure that is usually performed in two stages (placement and healing abutment connection)
was completed in one visit to reduce the burden of multiple appointments for the patient.
At the first visit, because the patient was taking many medications and there was a risk of bleeding, we first performed scaling and front tooth crown treatment.
Two weeks later, after adjusting the medications and once the general condition was stable, the first surgery (placement) and the second surgery (healing cap connection) were performed together in one session.
The surgery was completed quickly, in about 15 minutes, and the patient recovered without pain or complications.
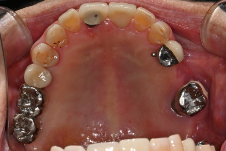
✅ Photos after treatment



First photo: Panoramic X-ray after treatment completion. The newly placed #15 implant was connected with the existing #17 implant to restore molar function.
Second photo: Intraoral view after treatment.
The front tooth crowns and molar implant prosthetics were completed, resulting in a proper bite and greatly reduced discomfort while eating.
Third photo: A digital prosthetic design image captured with an intraoral scanner. All prosthetics were precisely fabricated in the hospital’s in-house dental laboratory.
The implants integrated stably, and two months later the prosthetic work for the upper right premolar implant was also completed.
Chewing function was restored, discomfort while eating was greatly reduced, and the patient’s family expressed satisfaction, saying it was “easier and faster than expected.” 😊
✅ Precautions after implant surgery
-
Please rest sufficiently on the day of surgery
-
Gently clean the surgical area with mouthwash instead of a toothbrush
-
Avoid alcohol, smoking, and spicy foods for one week
-
Take your medication as prescribed, and contact the hospital if you feel discomfort
-
Regular checkups and scaling are essential
Seoul Above Dental Hospital also provides careful post-surgery care while considering the overall condition of elderly patients.
✅ Dentures vs. implants comparison
| Item | Dentures | Implants |
|---|
| Stability | Can be loose | Firmly fixed |
| Feeling during use | Often uncomfortable | Feels close to natural teeth |
| Chewing food | Difficult | Most foods can be eaten |
| Long-term stability | Dentures may change due to bone resorption | Bone-preserving effect, advantageous in the long term |
| Maintenance | Must be removed and cleaned often | Can be cared for like natural teeth |
✅ Why implants are recommended even for elderly patients
Dentures are easy to wear, but discomfort, food trapping, and gum pain often occur.
In contrast, implants provide excellent stability and are much more beneficial for improving quality of life in older age.
Seoul Above Dental Hospital carefully considers the patient’s overall health condition
and provides customized treatment in a safe way that reduces burden.
🦷 For those aged 65 and older, insurance-covered implants are available
If you are 65 or older, up to two implants can be covered by national health insurance benefits.
This helps reduce the financial burden while still allowing you to receive professional diagnosis and surgery.
💬 Closing remarks
“Because I’m older, maybe treatment is too difficult” — at Seoul Above Dental Hospital, that concern can change.
Thoroughly understanding the patient’s overall condition and precisely treating only the necessary areas is the safest approach for elderly patients.
The joy of being able to chew, the confidence to speak — Seoul Above Dental Hospital will help protect them for you. 💚
🏥 About Seoul Above Dental Hospital
Seoul Above Dental Hospital
✔ Five-specialist cooperative system including oral and maxillofacial surgery, prosthodontics, and conservative dentistry, all from Seoul National University
✔ Dental hygienists who have received specialized training, all staff members
✔ In-house dental lab operated by dental technicians
✔ University-hospital-level sterilization system
✔ Equipped with an intraoral scanner and intraoral endoscope
✔ Treatment available for foreign patients
✔ Open 365 days a year / night treatment / emergency dental care in cooperation with 119
✔ Inquiries available via Naver TalkTalk and KakaoTalk Seoul Above Dental Clinic
📍 4th–5th floors, 196 Baekjegobun-ro, Songpa-gu, Seoul
🅿️ Parking available. Search for 'Seoul Above Dental Clinic' on Tmap/KakaoMap/Naver Map for accurate directions.
Seoul Above Dental Hospital
4th and 5th Floors, 196 Baekjegobun-ro, Songpa-gu, Seoul, Republic of Korea