서울오브치과병원
타원에서 받은 라미네이트를 재시술할 수 있나요?
자연스러운 앞니, 한 개만 추가해도 이렇게 달라집니다! 다른 병원에서 라미네이트 후, 한 개만 추가로 진행한 케이스 안녕하세요. 서울오브치과병원입니다.💚 오늘은 이미 타 병원에서 라미네이트를 진행하셨던 30대 초반 여성 환자분이, 앞니 한 개만 추가로 보완하고자 내원하신 케이스를 소개드리려고 합니다. 💎 미세삭제,...
자연스러운 앞니, 한 개만 추가해도 이렇게 달라집니다!
다른 병원에서 라미네이트 후, 한 개만 추가로 진행한 케이스
안녕하세요. 서울오브치과병원입니다.💚
오늘은 이미 타 병원에서 라미네이트를 진행하셨던 30대 초반 여성 환자분이,
앞니 한 개만 추가로 보완하고자 내원하신 케이스를 소개드리려고 합니다.
💎 미세삭제, 고정밀 심미치료 ‘오브제:로’ 라미네이트
서울오브치과병원의 라미네이트는
치아 삭제를 최소화한 ‘미세삭제’ 원칙을 지키며,
자연치아 같은 투명도와 색감을 구현하는 심미치료 브랜드 ‘오브제:로’ 입니다.
삭제를 거의 하지 않아도 정밀하게 제작이 가능하며,
본연의 치아 구조를 최대한 보존하면서도 미소 라인을 아름답게 완성해드립니다.
👩⚕️ 심미보철 특화 진료, 김수완 원장님이 직접 진행합니다
해당 시술은 심미보철에 특화된 김수완 원장님이 직접 진단부터 디자인, 셋팅까지 정밀하게 진행했습니다.
김수완 원장님은 서울대학교 치의학과 졸업 및 대학원 석사과정 수료, 서울대치과병원 인턴 출신으로
심미치료에 높은 이해도와 디지털 장비 활용 역량을 갖춘 진료 철학자입니다.
과잉진료 없이 환자의 본래 아름다움을 살리는 것을 우선시하며,
심미성과 기능성, 환자의 편안함까지 모두 만족시키는 진료를 추구하고 있습니다.
🦷 이미 라미네이트 하셨는데, 왜 다시 내원하셨을까요?
환자분은 타 병원에서 일부 치아만 라미네이트 시술을 받으셨고,
비용 등의 이유로 전체 진행은 어려웠던 상황이었습니다.
하지만 웃을 때 색이 다른 치아 하나가 도드라져 보여
결국 자연스러운 조화를 위해 서울오브치과병원을 찾아주셨습니다.
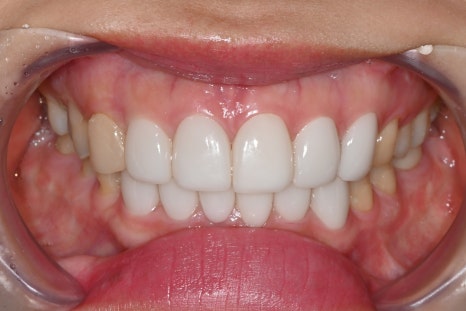
📸
[치료 전 사진]


기존 라미네이트를 하지 않은 치아 하나만 색이 달라, 전체 앞니 라인에서 눈에 띄는 비조화가 느껴지던 상태입니다.
웃을 때 시선이 그 치아에 머물러 자연스러운 인상이 흐트러졌습니다.
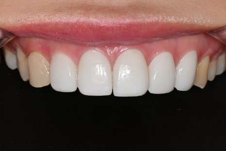
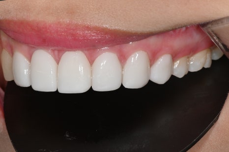
[치료 후 사진]


왼쪽 첫번째 작은 어금니 치아 한개만 추가로 시술했지만, 기존 라미네이트와 완벽하게 이어지는 색상과 투명도로 제작하여 앞니 전체가 자연스럽게 연결된 듯한 인상을 완성했습니다.
부자연스러움 없이, 훨씬 더 조화롭고 밝은 미소가 되었습니다.
😊 마무리하며
라미네이트는 단순히 치아 하나를 덮는 치료가 아닙니다.
빛 반사, 투명도, 색조까지 치아 하나하나가 서로 조화롭게 이어져야
자연스럽고 아름다운 미소가 완성됩니다.
이번처럼 기존 라미네이트와 새로 진행하는 치아의 연결이 필요한 경우,
색상 재현에 대한 고도의 기술력과 경험이 중요합니다.
서울오브치과병원은 자체 기공소와 정밀 장비를 갖추고 있어
이런 세밀한 맞춤 작업도 빠르고 정교하게 진행이 가능합니다.
🏥 서울오브치과병원은
✔️ 서울대 출신 의료진, 구강외과·보철·보존·심미보철등 전문의 5인 협진 시스템
✔️ 전 직원 전문교육받은 치과위생사 근무
✔️ 병원내 치과기공소 운영, 치과기공사 근무중
✔️ 최첨단 구강스캐너, 구강내시경 기계 보유중
✔️ 외국인 환자 진료 가능
✔️ 대학병원급 멸균 시스템
✔️ 365일 진료, 야간진료 및 119 협력 응급치료 시스템
✔️ 카카오톡, 네이버톡톡: 서울오브치과병원
📍 서울시 송파구 백제고분로 196, 4층~5층, 주차가능
🅿️ 주차는 건물 뒤편 핑크색 주차장 이용하시면 됩니다.
티맵/카카오맵/네이버지도에서 '서울오브치과' 검색 시 정확히 안내됩니다
서울오브치과병원 서울특별시 송파구 백제고분로 196 4층, 5층
Explore More
Keep Browsing This Clinic's Korean Content Trail.
Return to the source archive for more posts, or move back to the clinic profile to compare the rest of the clinic's public channels.