A natural-looking front tooth can make this much of a difference, even with just one added!
A case of adding just one more veneer after treatment at another clinic
Hello, this is Seoul Oh Dental Hospital.💚
Today, we would like to introduce a case of a woman in her early 30s who had already received laminate veneers at another clinic,
and visited us to add and refine just one front tooth.
💎 Minimally invasive, high-precision esthetic treatment: 'Objero' laminate veneer
The laminate veneers at Seoul Oh Dental Hospital
follow the principle of 'minimal reduction' to minimize tooth preparation,
and are the esthetic treatment brand 'Objero,' which achieves translucency and color like natural teeth.
Even with almost no reduction,
precise fabrication is possible,
and we help complete a beautiful smile line while preserving as much of the original tooth structure as possible.
👩⚕️ Specialized esthetic prosthetics care, performed directly by Director Kim Su-wan
This procedure was carefully carried out from diagnosis to design and placement by Director Kim Su-wan, who specializes in esthetic prosthetics.
Director Kim Su-wan graduated from the School of Dentistry at Seoul National University and completed the master's course at the graduate school, and also trained as an intern at Seoul National University Dental Hospital.
She is a clinician with a strong understanding of esthetic treatment and the ability to use digital equipment effectively.
She prioritizes bringing out the patient's natural beauty without overtreatment,
and pursues care that satisfies both esthetics and function, as well as patient comfort.
🦷 You already had laminate veneers, so why did you visit again?
The patient had received laminate veneer treatment on only some teeth at another clinic,
and due to cost and other reasons, completing treatment for the entire front tooth area was difficult.
However, one tooth with a different color stood out when smiling,
so she ultimately visited Seoul Oh Dental Hospital for a more natural harmony.
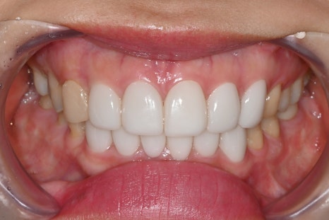
📸
[Before treatment photo]


Only one tooth that had not received the existing laminate veneer had a different color, creating a noticeable lack of harmony across the overall front tooth line.
When smiling, attention stayed on that tooth, disturbing the natural impression.
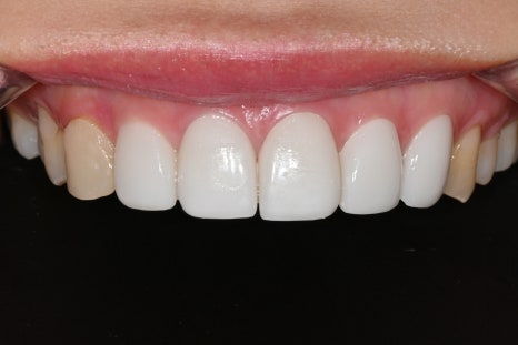
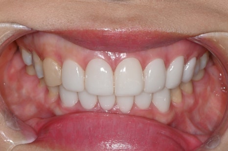
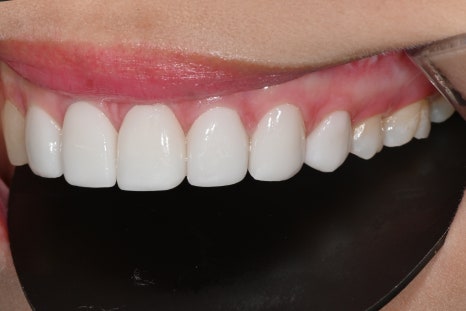
[After treatment photo]


Although only one additional tooth on the left first premolar was treated, it was made with a color and translucency that blend perfectly with the existing laminate veneers, completing the impression of the entire front tooth line connecting naturally.
Without any unnatural look, the smile became much more harmonious and brighter.
😊 In closing
Laminate veneer treatment is not simply a procedure that covers a single tooth.
For a natural and beautiful smile to be completed,
each tooth must connect harmoniously in terms of light reflection, translucency, and shade.
In cases like this, where existing veneers must be connected with newly treated teeth,
advanced skill and experience in color reproduction are important.
Seoul Oh Dental Hospital has an in-house dental laboratory and precision equipment,
so even this kind of detailed custom work can be carried out quickly and accurately.
🏥 Seoul Oh Dental Hospital offers:
✔️ Cooperative treatment system with 5 specialists from Seoul National University, including oral surgery, prosthodontics, restorative dentistry, and esthetic prosthodontics
✔️ Dental hygienists with specialized training working throughout the entire staff
✔️ In-house dental laboratory operated on site, with dental technicians working there
✔️ State-of-the-art oral scanners and intraoral endoscopy equipment
✔️ Treatment available for international patients
✔️ University hospital-level sterilization system
✔️ 365-day treatment, nighttime care, and emergency treatment system in cooperation with 119
✔️ KakaoTalk, Naver TalkTalk: Seoul Oh Dental Hospital
📍 4th to 5th floors, 196 Baekjegobun-ro, Songpa-gu, Seoul, parking available
🅿️ For parking, please use the pink parking lot at the back of the building.
If you search for 'Seoul Oh Dental' on T Map / KakaoMap / Naver Map, you will be guided accurately
Seoul Oh Dental Hospital
4th and 5th floors, 196 Baekjegobun-ro, Songpa-gu, Seoul