서울오브치과병원
송파구치과 보철이 불가능한 위치에서 임플란트 재수술로 해결을!
송파구치과 보철이 불가능한 위치에서 임플란트 재수술로 해결을! 안녕하세요. 송파구치과 서울오브치과병원입니다 :) 임플란트는 자연치의 기능성과 심미성을 거의 유사하게 구현할 수 있어 치아 상실 시 대중적인 치료법으로 자리매김하고 있습니다. 하지만 최근 시술사례가 늘어나는 만큼 부작용이나 좋지 않은 예후로 인해 고...
송파구치과 보철이 불가능한 위치에서 임플란트 재수술로 해결을!

안녕하세요.
송파구치과 서울오브치과병원입니다 :)
임플란트는 자연치의 기능성과 심미성을
거의 유사하게 구현할 수 있어
치아 상실 시
대중적인 치료법으로 자리매김하고 있습니다.
하지만 최근 시술사례가 늘어나는 만큼
부작용이나 좋지 않은 예후로 인해
고생하시는 분들도 많으신데요.
그렇기에 풍부한 임상경험과 더불어
숙련된 노하우를 겸비하고 있는
의료진에게 치료 받으시는것을 권해드린답니다.
서울오브치과병원에서는
수많은 케이스를 접해보신
의료진께서 수술을 도와드리고 있기에
믿고 내원하실 수 있는데요.
오늘은 타치과에서 임플란트 수술을 받았지만
명확하지 않은 식립 위치 때문에
보철이 어려워졌던
환자분의 재수술 케이스를
소개해 드리겠습니다! 🦷
✅ 환자분의 첫 방문 사연


오늘 소개해드릴 분께서는
"타 병원에서 뼈이식을 2번하고
임플란트 수술까지 받았는데,
임플란트는 잘 붙었다고 하더라고요.
그런데 정작 보철이 불가능하대요.
앞으로 어떻게 해야 할지 정말 모르겠어요."
"그리고 앞쪽에 신경치료하던
치아도 계속 아파요.
계속 치료를 받았는데도 좋아지질 않네요."
라는 불편함으로 인하여
본원을 찾아주셨습니다.

구강 카메라도 촬영하여
구강 내 상황을 꼼꼼하게 체크하였고
환자분께도 보여드리며 설명드렸습니다.
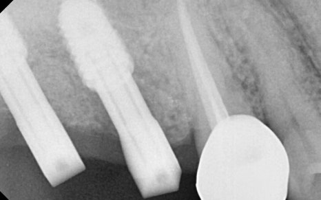
✅ 엑스레이로 본 문제점

그리고 엑스레이와 CT 사진을 촬영해
구강 내 상황을 정밀하게 체크해보았는데요.
엑스레이를 보시더니 환자분께서도
제가 봐도 너무 뒤쪽에 심긴 것 같다는
말씀을 해주셨답니다.
확인 결과, 상악동 거상술을
두 차례 시도했지만 실패했고,
결국 사랑니 위치처럼
뒤쪽에 임플란트가 식립된 상태였습니다.
임플란트 자체는 골유착이 잘 되어 있었지만,
명확한 위치가 아니어서
보철물 제작이 매우 불리한 상황이었답니다...!
게다가 앞쪽에 있는 신경치료 중인 치아는
예후가 불량해 발치가 필요한 상태였습니다.
치료 계획: 어렵지만 원칙대로!
환자분께 모든 상태를 설명드린 후,
-
임플란트 제거 및 불량한 치아 발치
-
상악동 거상술
-
임플란트 재식립이라는 계획으로
치료를 진행하기로 결정했습니다.
더불어 아래쪽 치아는
정출로 인한 교합을 맞추기 위해,
크라운 수복을 계획하였답니다.
환자분도 이해하시고,
믿고 맡겨주셨답니다!
✅ 성공적인 상악동 거상술 & 임플란트 식립

그런데 수술 중 예상치 못한 동맥 한 줄기를
발견했는데요...!
바로 이 부분이 이전 병원에서
상악동 거상술에 두 번이나
실패했던 원인으로 보였습니다.
상악동 점막 내의 동맥은
수술 난이도를 크게 높이며,
이를 피해서 수술하면 충분한 거상이 되지 않거나
점막이 천공될 위험이 있습니다.
하지만 송파구치과 서울오브치과병원은
구강악안면외과 전문병원으로,
독일제 전기수술장비를 갖추고 있으며
수많은 혈관지혈 수술 경험을 바탕으로
동맥을 묶고 전기로 완벽하게 지혈하였고,
지혈제까지 활용하여
3중 안.전장치를 더했습니다! 👍
까다로운 유착 조직을 하나하나 박리하고,
상악동 점막을
손상시키지 않은 채로 거상에 성공,
동시에 명확한 위치에
임플란트를 식립하였습니다.
서울오브치과병원은
늘 상대 치아와 평행하게,
잘 맞물리는 위치에
임플란트를 식립하는 원칙을 지키고 있습니다.

식립 후 한달체크때
별다른 이상이 없는것을 확인해주었고
임플란트가 잇몸뼈에 잘 유착될동안
기다려주기로 하였습니다.
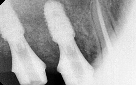
✅ 2차 수술 완료

임플란트가 잇몸뼈에 잘 유착된것을 확인하고
2차 수술을 진행해주었고,


본뜨기 작업을 시행 후, (왼쪽 사진)
맞춤형 지대주를
체결해주답니다. (오른쪽 사진)
이제 보철물만 올리면
치료는 마무리 됩니다!
✅ 치료 완료 후 보철물까지 완성!



교합을 섬세하게 고려하여
정밀하게 보철작업까지
완료된 모습입니다!
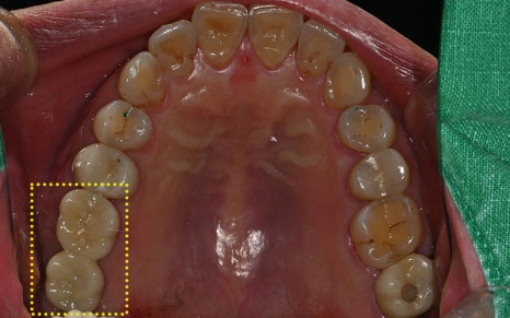
✅ 전 > 후



2024.11.22
▼ ▼ ▼



2025.04.15
이렇게 성공적인 임플란트 치료사례에 대해
소개해드렸는데요!
환자분께서도 결과에 매우 만족하셨답니다 :)
"예전엔 임플란트가 붙어도
아무 것도 할 수 없었는데,
여기는 수술도 한 번에 끝났고,
보철도 너무 잘 맞고 편해서
요즘 밥맛이 돌아왔어요."
라는 감사인사를 해주시며
매번 케이크와 커피를 챙겨오실 정도로
기뻐하셨답니다! 🎂☕️
송파구치과 서울오브치과병원은
🦷 구강외과, 보철과, 보존과 전문의 협진 시스템
🦷 전 직원 전문 치과위생사
🦷 원내 기공소 상주
🦷 독일제 고급 장비와 응급 수술 시스템
을 기반으로,
고난도 재수술도
안.전하고 정밀하게 시행하고 있으니
믿고 내원해주시기 바랍니다! 💕
📍 서울오브치과병원
• 위치: 서울시 송파구 백제고분로 196, 4~5층
• 지하철: 삼전역 3번 출구 바로 앞
• 전화번호: 02-418-2275
• 카카오톡 상담 ID: 서울오브치과병원
• 주차: 병원 내 주차 가능
- 모든 증례 사진은 의료법 제23조, 제 56조에 의거하여,
당사자의 동의하에 게시하였습니다.
-
치료 사진은 모두 본.원에서 치료한 환.자분의 사진입니다.
-
치료 사진은 모두 동일인의 사진이며,
동일조건에서 촬영하였습니다.
- 개인의 차이에 따라 시.술 및 수술 후 부작용이 발생할 수 있으며,
의료진과 충분한 상.담을 받으시기 바랍니다.
서울오브치과병원 서울특별시 송파구 백제고분로 196 4층, 5층
Explore More
Keep Browsing This Clinic's Korean Content Trail.
Return to the source archive for more posts, or move back to the clinic profile to compare the rest of the clinic's public channels.