
Hello.
This is Seoul Of Dental Hospital, Songpa-gu Dental Clinic. :)
Implants can reproduce the function and aesthetics of natural teeth
to a nearly similar degree,
so when teeth are lost,
they have become a popular treatment method.
However, as the number of procedures has recently increased,
many people are also suffering from side effects or poor prognoses.
That is why we recommend receiving treatment from a medical team
with extensive clinical experience as well as
advanced know-how.
At Seoul Of Dental Hospital,
the surgery is performed by medical staff who have handled
numerous cases,
so you can visit us with confidence.
Today, we would like to introduce a reoperation case of a patient
who underwent implant surgery at another dental clinic,
but had difficulty proceeding with prosthetics
due to an unclear implant placement position! 🦷
✅ The patient’s first visit story


The patient we are introducing today said:
"I had bone grafting twice at another hospital
and even had implant surgery,
and they said the implant has integrated well.
But they say prosthetics are impossible.
I really don’t know what to do next."
"And the tooth in the front that was undergoing root canal treatment
keeps hurting.
It hasn’t gotten better even though I kept receiving treatment."
Because of these inconveniences,
they visited our clinic.

We also took an intraoral camera image
to carefully check the condition inside the mouth,
and explained it to the patient while showing it to them.
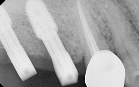
✅ Problems seen on X-ray

We then took X-ray and CT images
to precisely check the condition inside the mouth.
After looking at the X-ray, the patient also said,
"Even I can see it seems to be placed too far back."
After confirmation, maxillary sinus lift surgery
had been attempted twice but failed,
and in the end, the implant had been placed in a position
far back, similar to the location of a wisdom tooth.
Although the implant itself had successfully osseointegrated,
because the position was unclear,
it was a very unfavorable situation for fabricating the prosthetic restoration...!
In addition, the tooth in the front that was undergoing root canal treatment
had a poor prognosis and needed extraction.
Treatment plan: Difficult, but according to principle!
After explaining all the conditions to the patient,
we decided to proceed with treatment according to this plan:
- Implant removal and extraction of the problematic tooth
- Maxillary sinus lift
- Implant re-placement
In addition, for the lower teeth,
a crown restoration was planned
to correct the occlusion caused by supra-eruption.
The patient understood,
and trusted us with the treatment!
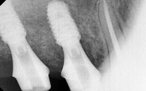
✅ Successful maxillary sinus lift & implant placement

During surgery, however, we discovered an unexpected artery...!
This appeared to be the reason why the previous hospital
had failed twice at maxillary sinus lift surgery.
An artery within the maxillary sinus membrane
greatly increases the difficulty of surgery,
and if surgery is performed while avoiding it,
either sufficient lifting may not be achieved or there is a risk of membrane perforation.
However, Songpa-gu Dental Clinic Seoul Of Dental Hospital is a specialized oral and maxillofacial surgery hospital,
and equipped with German-made electrosurgical equipment.
Based on extensive experience in vascular hemostatic surgery,
we ligated the artery and achieved perfect hemostasis with electricity,
and even used a hemostatic agent
to add a triple safety measure! 👍
We carefully dissected the difficultly adherent tissue one by one,
successfully lifted the maxillary sinus membrane without damaging it,
and at the same time placed the implant
in a clear, precise position.
Seoul Of Dental Hospital always follows the principle of placing implants
parallel to the opposing teeth
and in a position where they occlude properly.

At the one-month check after placement,
we confirmed that there were no particular issues,
and decided to wait while the implant integrated well with the jawbone.
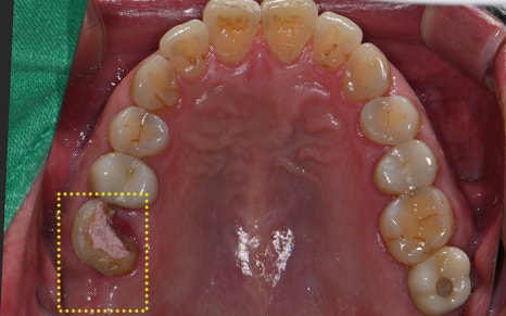
✅ Second surgery completed

After confirming that the implant had integrated well with the jawbone,
we proceeded with the second surgery,
and


After taking impressions, (left image)
we attached a custom abutment. (right image)
Now, once the prosthetic restoration is placed,
the treatment will be complete!
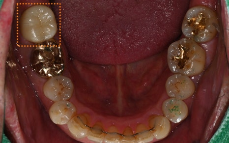
✅ Prosthetic restoration completed after treatment!



The prosthetic work has been completed precisely,
with careful consideration of the occlusion!
✅ Before > After



2024.11.22
▼ ▼ ▼



2025.04.15
We have introduced this successful implant treatment case!
The patient was also very satisfied with the results. :)
"Before, even when the implant had integrated,
I couldn’t do anything with it,
but here, the surgery was completed all at once,
and the prosthetic restoration fits so well and feels so comfortable
that my appetite has returned these days."
They were so happy that they even brought cake and coffee every time
as a token of thanks! 🎂☕️
Songpa-gu Dental Clinic Seoul Of Dental Hospital
🦷 Collaborative system of specialists in oral surgery, prosthodontics, and conservative dentistry
🦷 All staff are certified dental hygienists
🦷 On-site in-house dental lab
🦷 Advanced German-made equipment and emergency surgery system
Based on this system,
we also perform high-difficulty reoperations
safely and precisely,
so please visit us with confidence! 💕
📍 Seoul Of Dental Hospital
• Location: 4th–5th floors, 196 Baekjegobun-ro, Songpa-gu, Seoul
• Subway: Right in front of Samjeon Station Exit 3
• Phone: 02-418-2275
• KakaoTalk consultation ID: 서울오브치과병원
• Parking: Available within the hospital
- All case photos were posted with the consent of the individuals involved,
in accordance with Articles 23 and 56 of the Medical Service Act.
-
All treatment photos are of patients treated at our hospital.
-
All treatment photos are of the same individual,
and were taken under the same conditions.
- Depending on the individual, side effects may occur after procedures and surgeries,
so please receive sufficient consultation with the medical staff.
Seoul Of Dental Hospital
4th and 5th floors, 196 Baekjegobun-ro, Songpa-gu, Seoul