서울오브치과병원
타치과 임플란트도 문제없어요! 나사홀 충전만 원할 때, 서울오브치과에서 해결하세요🛠️
타치과 임플란트도 문제없이 케어합니다 임플란트 홀 충전 치료, 서울오브치과병원에서 가능합니다 :) 안녕하세요. 서울오브치과병원입니다💚 임플란트를 받으신 후, 나사 구멍(홀)이 다시 드러나 불편하셨던 적 있으신가요? 최근 기존 병원이 없어졌거나 지방에 있어 방문이 어려운 분들께서 ✔ 나사홀이 뚫려 있음 ✔ 충전 레진이...
타치과 임플란트도 문제없이 케어합니다
임플란트 홀 충전 치료, 서울오브치과병원에서 가능합니다 :)
안녕하세요. 서울오브치과병원입니다💚
임플란트를 받으신 후, 나사 구멍(홀)이 다시 드러나 불편하셨던 적 있으신가요?
최근 기존 병원이 없어졌거나 지방에 있어 방문이 어려운 분들께서
✔ 나사홀이 뚫려 있음
✔ 충전 레진이 떨어졌음
✔ 간단한 수리만 받고 싶음
이런 이유로 내원하시는 경우가 늘고 있습니다.
서울오브치과병원에서는 타치과에서 시술한 임플란트라도, 나사홀 충전 치료가 가능합니다.
임플란트에 왜 ‘구멍’이 있을까요?
임플란트는 다음과 같은 구조로 이루어져 있습니다:
🦷 크라운 (보철물)
🦷 어버트먼트 (지대주)
🦷 스크류 (고정 나사)
🦷 픽스처 (턱뼈에 심는 인공치근)
보철물을 고정하려면 나사를 조여야 하므로 구멍이 꼭 필요합니다.
이 구멍은 치료 후 레진으로 메우는 마무리 과정을 거치는데,
강한 저작력이나 시간이 지나면서 레진이 빠지는 경우가 있습니다.

이 그림은 임플란트가 어떤 구조로 이루어져 있는지 보여주는 참고 이미지입니다.
크라운(Crown): 우리가 겉으로 보는 인공치아 부분입니다.
지대주(Abutment): 크라운과 인공뿌리를 연결해주는 부품입니다.
인공치근(Fixture): 잇몸 뼈 속에 심는 임플란트 고정체입니다.
👉 임플란트는 위 세 가지 구조 외에도 지대주를 고정하는 나사(Screw) 를 포함하며,
이 나사를 조이기 위해 구멍이 꼭 필요합니다.
치료 후에는 이 구멍을 전용 레진으로 막아 마무리하게 됩니다.
이 구멍이 뚫린 채로 오래 방치되면
❗ 음식물이 끼고
❗ 나사 부식 위험이 생기며
❗ 감염으로 이어질 수 있기 때문에
빠른 재충전 치료가 필요합니다.
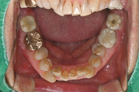
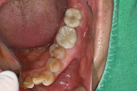
📸 환자 치료 전·후 사진


왼쪽 사진: 임플란트에 메웠던 레진이 떨어져 구멍이 그대로 드러난 모습입니다. 음식물 끼임의 위험이 있어 빠른 치료가 필요했습니다.
오른쪽 사진: 탈락된 부분에 레진을 다시 채워 깔끔하게 마무리한 모습입니다.
자연치아와 조화롭게 복구되었고, 통증이나 불편함 없이 사용 가능합니다.
작은 치료이지만 환자분들께 큰 불편을 줄 수 있습니다.
서울오브치과병원에서는 빠르고 정밀하게 복원해드립니다.
임플란트도 관리가 필요합니다
임플란트는 평생 사용할 수 있는 치료이지만, 정기적인 관리가 없다면 문제가 생길 수 있습니다.
🔎 정기검진을 통해
-
보철물의 풀림 여부
-
주변 잇몸, 뼈 상태
-
홀 충전 상태
-
스크류의 느슨함
-
등을 점검하는 것이 장기 수명 유지의 핵심입니다.
서울오브치과병원은 타원에서 시술하신 임플란트라도
✅ 레진홀 충전
✅ 나사 점검
✅ 보철물 상태 확인
✅ 전체 구강검진까지
한 번에 정밀하게 진료해드립니다.
마무리하며 😊
간단한 홀 충전 치료 때문에 멀리 가지 마세요!
서울오브치과병원에서는 타원에서 임플란트를 받으신 분들도
신속하고 정확하게 관리받을 수 있도록 준비되어 있습니다.
"간단한 수리만 필요한데 어디로 가야 할지 모르겠다" 하셨다면,
서울오브치과병원이 도와드릴게요🛠️🦷✨
서울오브치과병원 소개
서울오브치과병원은
✅ 서울대 출신 구강외과·보철과·보존과 전문의 5인 협진 시스템
✅ 전 직원 전문교육 받은 치과위생사 근무중
✅ 병원 내 기공실 운영, 치과기공사 근무중
✅ 구강스캐너, 구강내시경등 최신 장비 보유
✅ 대학병원급 완벽 멸균 시스템
✅ 365일 진료 및 야간 진료 운영
✅ 외국인 진료 가능
📍 서울시 송파구 백제고분로 196, 4층~5층, 주차 가능
🚗 주차 가능 – 티맵/네이버지도/카카오맵에 '서울오브치과' 검색 시 안내
💬 카카오톡 ID: @서울오브치과
💬 네이버 톡톡: 서울오브치과 검색
서울오브치과병원 서울특별시 송파구 백제고분로 196 4층, 5층
Explore More
Keep Browsing This Clinic's Korean Content Trail.
Return to the source archive for more posts, or move back to the clinic profile to compare the rest of the clinic's public channels.