We also care for implants from other clinics without any problem
Implant hole filling treatment is available at Seoul Of Dental Hospital :)
Hello, this is Seoul Of Dental Hospital💚
After getting an implant, have you ever felt uncomfortable because the screw hole (hole) became visible again?
Recently, more and more patients have been visiting us for reasons such as:
✔ The screw hole is open
✔ The filling resin has come off
✔ They only want a simple repair
especially when their previous clinic has closed or is far away and difficult to visit.
At Seoul Of Dental Hospital, even implants placed at another dental clinic can receive screw hole filling treatment.
Why does an implant have a “hole”?
An implant is made up of the following structure:
🦷 Crown (prosthetic tooth)
🦷 Abutment
🦷 Screw
🦷 Fixture (artificial root placed in the jawbone)
To fix the prosthesis in place, the screw must be tightened, so a hole is necessary.
After treatment, this hole is finished by filling it with resin,
but strong chewing force or the passage of time can cause the resin to come out.

This illustration is a reference image showing how an implant is structured.
Crown: The artificial tooth part that we see on the outside.
Abutment: The component that connects the crown and the artificial root.
Fixture: The implant fixture placed inside the gum bone.
👉 In addition to the three structures above, an implant also includes a screw that secures the abutment,
and a hole is necessary to tighten that screw.
After treatment, this hole is sealed with a special resin to finish the procedure.
If this hole is left open for a long time,
❗ Food can get stuck
❗ There is a risk of screw corrosion
❗ It may lead to infection
so prompt refilling treatment is needed.
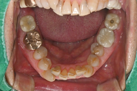
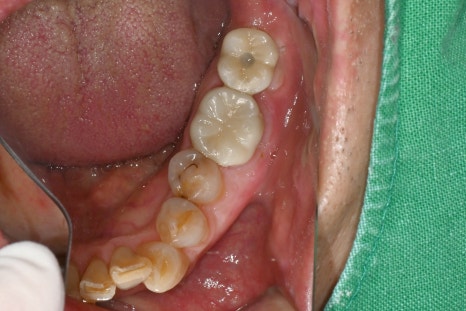
📸 Before-and-after patient treatment photos


Left photo: The resin that had filled the implant has come off, leaving the hole exposed. Because there was a risk of food getting trapped, prompt treatment was needed.
Right photo: The missing area has been refilled with resin for a clean finish.
It has been restored to blend naturally with the surrounding teeth and can be used without pain or discomfort.
Although it is a small treatment, it can cause significant inconvenience for patients.
At Seoul Of Dental Hospital, we restore it quickly and precisely.
Implants also need care
Implants are a treatment that can be used for a lifetime, but problems can arise without regular maintenance.
🔎 Through regular checkups,
-
whether the prosthesis is loose
-
the condition of the surrounding gums and bone
-
the status of the hole filling
-
whether the screw is loose
-
and more
checking these points is key to maintaining long-term durability.
Even if your implant was placed at another clinic,
Seoul Of Dental Hospital provides precise care all at once, including
✅ Resin hole filling
✅ Screw check
✅ Prosthesis condition check
✅ Full oral examination
Wrapping up 😊
Don’t travel far just for a simple hole-filling treatment!
At Seoul Of Dental Hospital, even patients who received implants at another clinic
are prepared to receive fast and accurate care.
If you’ve been thinking, “I only need a simple repair, but I don’t know where to go,”
Seoul Of Dental Hospital is here to help🛠️🦷✨
About Seoul Of Dental Hospital
Seoul Of Dental Hospital offers
✅ A collaborative system of 5 specialists in oral surgery, prosthodontics, and conservative dentistry from Seoul National University
✅ Dental hygienists with specialized training working throughout the staff
✅ An in-house lab operated by dental technicians
✅ The latest equipment, including an oral scanner and intraoral endoscope
✅ A perfect sterilization system at the level of a university hospital
✅ 365-day care and evening clinics
✅ Care available for foreign patients
📍 196 Baekjegobun-ro, Songpa-gu, Seoul, Floors 4–5, parking available
🚗 Parking available – search for 'Seoul Of Dental' on Tmap / Naver Map / KakaoMap for directions
💬 KakaoTalk ID: @서울오브치과
💬 Naver TalkTalk: Search for Seoul Of Dental
Seoul Of Dental Hospital
4th and 5th Floors, 196 Baekjegobun-ro, Songpa-gu, Seoul