서울오브치과병원
60대 노인 보험 임플란트 수술 및 주의사항
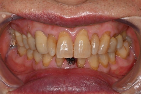
서울오브치과병원 서울특별시 송파구 백제고분로 196 4층, 5층 60대 남성 환자의 아래 앞니 임플란트 수술 사례 안녕하세요, 서울오브치과병원입니다. 60대 남성 환자분의 아래 앞니 임플란트 수술 사례를 소개합니다. 기능과 심미성을 동시에 회복하는 맞춤 치료가 필요했습니다. 초기 상태 및 진단 치료기간: 2025년...
서울오브치과병원 서울특별시 송파구 백제고분로 196 4층, 5층
60대 남성 환자의 아래 앞니 임플란트 수술 사례
안녕하세요, 서울오브치과병원입니다.
60대 남성 환자분의 아래 앞니 임플란트 수술 사례를 소개합니다.
기능과 심미성을 동시에 회복하는 맞춤 치료가 필요했습니다.
초기 상태 및 진단
치료기간: 2025년 1월 28일 -2025년 5월 5일

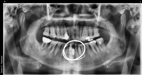
내원 당시 초진 엑스레이 사진
환자분은 아래 앞니가 심하게 흔들린다는 주호소로 내원하셨고,
파노라마 엑스레이 촬영 결과 자연치 보존이 불가능한 상태였습니다.
수술 계획 및 진행


수술 직 후 엑스레이 사진
흔들리는 해당 치아를 발치하고,
같은 날 임플란트 식립과 골이식을 동시에 진행했습니다.
잇몸 뼈가 부족한 부위에는 골이식을 통해 안정적인 식립을 유도하였고,
심미성 회복을 위해 임시치아 제작도 함께 진행했습니다.
수술 후 엑스레이임플란트가 안정적으로 자리 잡았고,
주변 뼈 상태도 양호하게 유지되고 있습니다.
환자분은 수술 직후 통증이 거의 없었으며,
치료 후에는 음식 섭취와 발음에 대한 불편함 없이
일상생활에 복귀하셨습니다.
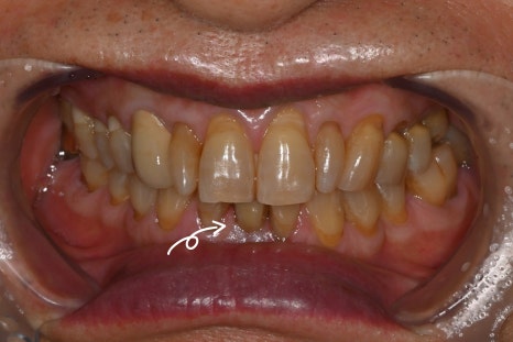
수술 후 결과 및 경과


수술 3개월 후 최종보철물까지 장착한 사진
수술 후 3개월 뒤 최종 보철물까지 장착하여
모든 진료가 마무리 되었습니다.
임플란트 수술 후 주의사항
서울오브치과병원에서는 모든 수술 환자분께 아래와 같은 주의사항을 안내드리고 있습니다.
- 수술 당일- 뜨겁거나 자극적인 음식은 피하고, 부드럽고 차가운 음식을 섭취합니다.
-
빨대 사용, 가글, 뱉기 등의 행동은 삼가야 합니다.
-
지혈용 거즈는 30분 이상 물고 계시고, 침은 삼키는 것이 좋습니다.
-
과도한 운동이나 사우나는 금지합니다.
- 약 복용 및 냉찜질- 항생제와 진통제는 식후에 정확히 복용합니다.
- 부기가 있을 수 있으므로, 수술 후 24시간 동안은 냉찜질을 10분 간격으로 반복합니다.
- 양치 및 위생관리- 수술 부위는 3일간 부드럽게 관리하며,
칫솔이 직접 닿지 않도록 주의합니다.
- 염증 예방을 위해 치간칫솔이나 가글은 의료진의 안내에 따라 사용합니다.
- 금연 및 금주- 최소 1주일 이상 금연·금주는 필수입니다.
혈류장애로 인해 이식된 부위의 회복을 방해할 수 있습니다.
- 정기 내원- 잇몸 뼈가 잘 아물고 있는지,
임플란트가 안정적으로 자리 잡고 있는지 확인을 위해
수술 후 1주, 2주, 1개월, 3개월 내원이 필요합니다.
서울오브치과병원의 임플란트 치료 특징

-
발치와 동시에 식립 가능한 시스템 구축
-
고령 환자 대상 전신건강 기반 수술 안전관리
-
구강스캐너 기반 정밀 진단 및 디자인- 자체 기공소 보유로 정밀한 보철물 제작
-
서울대 출신 의료진의 협진 체계
-
365일 진료 및 응급 수술 가능
본 글에 사용된 모든사진은
서울오브치과병원에서 치료한 증례 사진이며
환자분 동의하에 치과 의료에 대한
정보를 제공하기 위해 포스팅 하였습니다.
Explore More
Keep Browsing This Clinic's Korean Content Trail.
Return to the source archive for more posts, or move back to the clinic profile to compare the rest of the clinic's public channels.